반갑습니다.
서울대입구역 리멤버 치과
박정기 대표원장입니다.
남녀노소 가리지 않고 찾아오는 충치,
초기에는 별다른 증상이 나타나지 않기 때문에
미리 예방을 하거나 조기 발견을 하는 것이 쉽지 않습니다.
통증이나 이 시림 등이 관찰된 이후에나
진료를 받아야겠다! 생각을 하게 되죠.
오늘 서울대입구역 치과 에서 설명드릴 내용은
충치 검진 및 진료를 위해 내원하셨던 분의 개선 과정입니다.
심하게 썩은 치아는 어떤 방법으로
개선을 도와야 될까요?
서울대입구역 치과
얼마나 병소가 퍼졌는지에 따라 달라지게 됩니다.
여러분들의 이해를 돕기 위해 간단한 표로 설명드리겠습니다.
| | 레진 (resin) | 인레이 & 온레이 (inlay, onlay) | 크라운 (crown) |
|---|---|---|---|
| 감염 범위 | 적음 | 보통 | 큼 |
| 비용 | 저렴 | 중간 | 비쌈 |
| 소요 기간 | 당일 | 일주일 내외 | 몇 주 ~ 몇 달 |
| 형태 | 감염 부위 삭제 후,해당 부분에만 채워 넣음 | 감염 부위 삭제 후,표면에 부착하는 방식 | 치관을씌우는 형태 |
어금니 통증이 너무 심하네요..
제가 봤을 땐 충치 때문인 거 같은데
검진이랑 치료 좀 받으려고 왔어요.
과연 오늘 소개해 드릴 환자의 구강은 어떨지,
서울대입구역 치과 에서 육안으로 확인해 봤습니다.
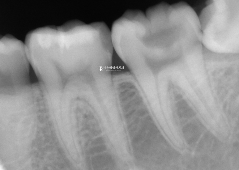
상악은 양호한 편이였는데요.
그러나 하악은 그렇지 않았습니다.
표면이 깨져 있는 파절과
심한 충치들이 곳곳에 생겨 있었죠.
치아 주름인 groove(구)를 따라
검게 물들어 있는 우식이 관찰되었는데요.

특히 왼쪽 오른쪽 두 번째 큰 어금니
37번이 심각했습니다.
꽤 크게 파절이 나타나
표면이 탈락되어 있었으며
그 주변으로 충치들이 생겨 있는 모습이네요.
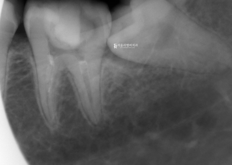
이렇게 파절이 관찰되는 곳은
깨진 틈 사이로 세균이 침투하여
내부 조직이 감염되었을 확률이 높습니다.
역시나 예상이 틀리지 않았네요.
치수 부근에도 병소가 퍼져 있었습니다.
치수는 혈관 및 신경이 분포해 있는 곳인데요.
그래서 이곳이 감염되면
찌릿하고 욱신거리는 느낌과
물을 먹을 때마다 이 시림이 나타나게 되는 겁니다.
꽤 심하게 썩어 있었기에
생활 곳곳에서 불편함을 느끼셨을 텐데요.
어금니는 저작이라는 중요한 역할을 갖고 있기 때문에
제역할을 할 수 있도록 빠른 시일 내에
개선을 도와드려야겠습니다.
< 서울대입구역 치과 의 계획>
- 근관치료(엔도) 후, 크라운
서울대입구역 치과 의 계획에 맞춰
근관치료를 진행했습니다.
어금니는 앞니에 비해 뿌리의 개수가 많고
복잡한 형태를 갖고 있기 때문에
더 주의 깊고 꼼꼼한 시술을 필요로 합니다.

치수에 도달하는 통로를 확보하기 위해
상아질과 법랑질에 퍼져있는 충치를 제거했습니다.
내부에 있는 치수, 근관에 쉽게 접근할 수 있도록
원형의 통로를 뚫어드렸죠.
이후 감염된 곳을 제거한 뒤에
소독제가 곳곳에 퍼질 수 있도록 근관을 확장시킵니다.
염증이 심했기에 좀 더 오래 걸렸네요.
남아있는 병소는 없는지,
감염된 곳은 깨끗하게 제거되었는지
확인 과정을 거친 뒤에
충전재를 사용하여 밀폐를 해주었습니다.

아까 뻥 뚫려 있던 통로는
좀 더 단단한 재료를 사용하여
외부 이물질이나 세균들이 들어가지 않도록 메꿔드렸네요.

자, 이제 최종 보철만 올려드리면 끝이 나는데요.
보철 제작까지 일주일 정도 걸린다고 알고 계시겠지만
서울대입구역 치과 에는 자체 기공실이 있기 때문에
지체되지 않는다면 일주일까지 걸리진 않습니다^^
서울대입구역 치과 에서
설명드린 내용이 도움이 되셨을까요?
근관치료는 자연치를 살릴 수 있는 마지막 방법이지만
재발, 수술 실패의 확률이 높습니다.
따라서 올바른 과정으로 진행되는지,
의료진에 경력과 노하우는 풍부한지,
안심하고 내 치아를 맡겨도 되는 곳인지
꼼꼼하게 확인하는 것이 중요하죠.
바쁘다, 무섭다는 이유로
내원을 미루는 일은 절대 있어선 안됩니다.
간단히 해결될 수 있는 문제도
때를 놓치게 되면 걷잡을 수 없게 된다는 점!
리멤버에서는 야간진료 및 수면치료 등
여러분들의 불편함을 없애드리기 위해
다방면으로 노력 중에 있습니다.
이와 관련하여 문의할 내용은
아래 댓글 및 연락 남겨주기 바랍니다.
감사합니다.
