"요즘 들어 앞니가 너무 시려요.
차고 뜨거운 음식뿐만 아니라,
이젠 가만히 있어도 불편하네요.
검진 좀 받고 싶어서 왔습니다."
서울대입구역 치과
서울대입구역 치과 를 내원하셨던 환자께서는
지속되는 이 시림으로 불편함을 느끼고 계셨다 합니다.
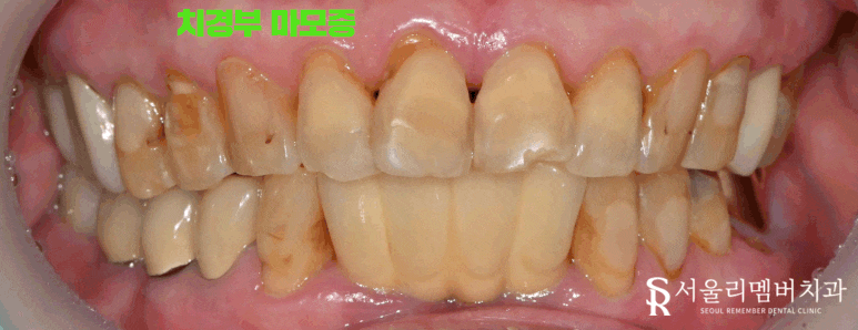
어떤 곳에 문제가 있는 건지 구강 내를 살펴보았습니다.
일단 여러 곳에 보철이 올려져 있었으며
군데군데 쌓여 있는 치석과, 부식된 치아들이 눈에 띄었습니다.

특히 앞니 절단 부분은 파절이 일어나 있었으며
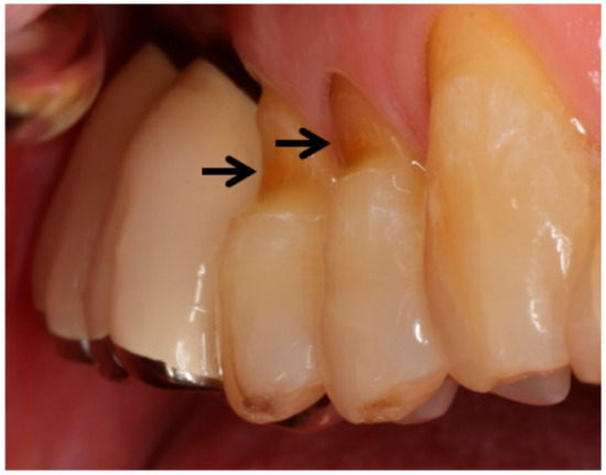
이와 더불어 '치경부 마모증'도 관찰되고 있네요.
이 중에서 이시림의 원인으로 유력한 것은 어떤 것일까요?
-
치석으로 생긴 염증
-
부식되어 깨진 치아
-
부러져 버린 절단면
-
치경부 마모증
4가지 모두 해당되는 이야기이지만,
환자께서는 잇몸 쪽에 국한된
이 시림을 느끼고 있었기에
범인은 '치경부 마모증'으로 특정되었습니다.
자, 개선 과정에 들어가기에 앞서
해당 질환에 대해 간단히 설명드리겠습니다.
치경부마모증
서울대입구역 치과
잇몸 경계 부위에 있는 치아 표면이 닳는 증상입니다.

강하고 거친 칫솔질이나 이를 악무는 습관,
잘 때 이갈이를 하는 분,
질기거나 딱딱한 음식을 자주 섭취하는 분들에게
흔히 찾아볼 수 있는 질환입니다.
특히 40대 이후 치아의 노화가 이뤄지면서
많이 관찰되는 질환 중 하나이죠.
찬물이나 찬바람 등
낮은 온도에서 극심한 통증이나
이 시림을 호소하게 됩니다.
이때 개선할 수 있는 방법에는
레진과 G.I가 있는데요.
좀 더 자세히 알아보겠습니다.
| | 레진 (resin) | G.I (글래스아이오노머) |
|---|---|---|
| 보험 | X | ㅇ |
| 비용 | ↑ | ↓ |
| 접착력 | ↑ | ↓ |
| 심미성 | ↑ | ↓ |
| 색 | 치아 색과 유사 | 하얀 우윳빛 |
| 치료 기간 | 당일 | 당일 |
| 효과 | - | 2차 충치 예방 |
서울대입구역 치과 에서는
환자의 의견에 맞춰 '레진'을 사용하는 것으로
방향을 잡았습니다.
치경부마모증 resin filling
서울대입구역 치과
겉으로 드러나 있던 내부 조직을
레진을 이용하여 덮어주는 겁니다.
빈 공간이 그대로 남아있는 상태에서
그냥 사용을 하게 되면
치아가 휘거나 점점 심해질 수 있는데요.
이러다가 결국 '발치'로 이어질 수 있다는 사실.
늦지 않게 적절한 조치를 취하는 것이
구강 건강에 있어 더 좋은 방법이 되겠죠?
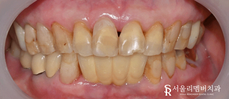
자, 텅 비어져 있던 곳을 레진을 사용하여 올려드렸습니다.
치경부는 굴곡이 있기 때문에
다른 곳들에 비해 접착력이 약할 수 있습니다.

혹시 모를 탈락 확률을 줄여드리기 위해
과잉되지도, 모자라지도 않은 양을
정해진 곳에 꼼꼼히 올려드렸습니다.
제가 직접 손으로 올리는 작업이기에
매번 긴장되는 건 어쩔 수 없나 봅니다ㅎㅎ
이 글을 적고 있는 지금도
손이 벌벌 떨리는 것 같네요^^
이후 느껴지던 통증이 사라졌는지 확인을 하기 위해
몇 주 뒤, 서울대입구역 치과 를 다시 내원하셨는데요.
계속해서 괴롭히던 통증과 이 시림이
하나도 느껴지지 않는다면서
요즘 들어 식사도 잘하고 잠도 잘 주무신다 합니다.
좋은 결과를 안겨드릴 수 있어서 다행이네요.
청결한 관리와 주기적인 검진으로
구강 관리 꼼꼼히 하실 거죠~?
오늘 서울대입구역 치과 에서는
이시림의 원인을 파악하고 그에 맞는 진료를 통해
문제들을 개선해 드렸는데요.
이 글을 읽는 여러분들께서
얻어 가셨으면 좋겠는 한 가지가 있습니다.
바로 '구강 건강은 나를 기다려 주지 않는다는 것'
익숙함에 속아 소중함을 잃지 말자는 말이 있듯이
우리도 항상 사용하고 있는
치아의 소중함을 대부분 깨닫지 못하고 있습니다.
그러다 발치를 하고 상황이 안 좋아지면
땅을 치고 후회를 하게 되는 것이죠.
자, 여러분들께서는 이런 상황이 일어나지 않도록
미리미리 관리하시기 바랍니다.
이와 관련하여 문의할 내용은
아래 댓글 및 리멤버로 연락 남겨주시면
자세한 설명 도와드리겠습니다.
서울대입구역 리멤버 치과 였습니다.
감사합니다.
