반갑습니다.
사당동 리멤버 치과 박정기 원장입니다.
웃거나 말할 때 제일 먼저 보이는 앞니는
전체치아 중에서 가장 심미적인 면을 고려하여
방향을 잡아야 하는 곳입니다.
외관에 문제가 생긴다면
사람을 만나거나 말할 때
손을 올리고 말하게 되는 등
소극적인 태도로 사람을 대하게 될 수도 있습니다.
앞니는 음식을 끊어 먹을 수 있는
'절단' 기능도 있지만
심미적인 요소가 많은 곳이기도 합니다.
충치가 생겨서 치료하는 경우도 많지만
또 다른 이유로 많이들 내원을 하고 있는데요.
과연 무엇 일까요?
바로 '파절'을 이유로
저희 사당동 치과 에 내원하는 분들이 많습니다.
그렇다면 어떤 방법으로
문제를 개선할 수 있을까요?
레진, 라미네이트, 크라운
위 3가지가 대표적입니다.
레진은 당일 수복이 가능한데요.
자연치와 유사한 색조를 갖고 있으며
비교적 간단하게 개선을 할 수 있기 때문에
많은 분들이 선호하고 있는 재료 중 하나입니다.
라미네이트는 치아 바깥 면을 미세하게 깎아내고
깎아낸 부분에 맞는 도자기 판을 씌워주는 것으로
대표적인 심미치료라고 할 수 있는데요.
형태적인 개선까지 함께 원하실 경우,
라미네이트를 권해드리고 있습니다^^
그러나 충치 부위나 파절 부위가 크다면
라미네이트로 치료할 수 없고 크라운이 필요합니다.
앞니 크라운은 모양을 다듬고 본을 떠서
다듬어놓은 곳에 씌워주는 보철을 말하는데요.
남아있는 치질이 충분하지 않은 경우나
신경치료를 해야 되는 경우에 주로 사용합니다.
자, 서론이 너무 길었네요ㅎㅎ
사당동 치과 에서 이가 깨졌다며 내원을 하셨던
환자의 진료 과정을 살펴보며
좀 더 자세한 내용을 설명드리겠습니다.
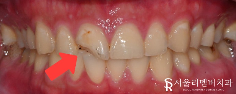
부러진 앞니,
어떻게 개선을 해야 될까?
넘어지는 동시에 앞니에 충격이 가해져
이가 부러졌다며 내원하셨습니다.

사당동 치과 에서 살펴본 결과,
파절 부위가 적지 않았으며
라미네이트는 적합하지 않다는 판단이 들었는데요.
전체를 씌우는 크라운이 필요해 보입니다.
넘어지셔서 내원하셨을 때는
시리거나 불편한 증상이 있는지 확인이 필요합니다.
넘어짐으로 인한 충격이 있을 때
내부에 있는 신경이 죽는 경우도 있으니
▶ 증상이 있는지
▶ 언제 넘어지셨는지
▶ 감각은 있는지
여러 가지를 비교해 보고
방향을 잡아야 합니다.
환자분은 파절 부위가 크지만
신경이 드러나 있지 않았고 감각도 있었는데요.
사당동 치과 에서 엑스레이를 찍어서 확인한 결과
뿌리에도 금이 발견되지 않아
바로 크라운을 진행해도 되겠다는 판단이 들어
환자분 동의하에 진행하게 되었습니다^^
진료 과정
치아에 크라운을 씌울 수 있게
모양을 잡아줘야 합니다.

파절된 부분을 제거하고
매끈하게 다듬는 과정을 거쳤습니다. (prep)
보철이 제작되기 전까지는
치아를 보호하기 위해 또는 심미적인 이유로
임시치아를 제작해 드립니다.
약 일주일 후 보철물이 완성되었는데요.
사당동 치과 에서는
주변 인접치와의 형태나 모양이 조화로운지
각도나 색상은 잘 맞는지를 확인하여
크라운을 부착해 드리고
모든 과정을 마무리했습니다^^

환자께서도 마음에 쏙 들어 하셨던 모습이
글을 적고 있는 지금도 생각이 나네요ㅎㅎ
외상으로 인한 치료는 경과를 지켜보면서
안전하게 마무리 짓는 게 중요합니다.
이후 주기적인 검진을 통해
사후관리를 도와드리기로 약속드렸습니다.
글을 마치며

앞니는 무엇보다
심미적인 부분이 중요한 곳입니다.
따라서 저희 사당동 치과 에서는
치아 색상이나 모양이 맘에 들지 않는 경우에는
재제작을 하기도 하고
환자분의 만족을 최우선에 두고 진료를 하고 있죠^^
이와 관련하여 문의할 내용은 아래 댓글이나
리멤버로 연락 남겨주시면
자세한 설명 도와드리도록 하겠습니다.
감사합니다.
