앞니는 사람의 인상을 결정짓는 중요한 곳입니다.
음식을 끊어 먹을 수 있는 기능적인 면도 있지만
형태나 색깔에 따라
사람의 인상이 달라질 수 있는 곳이라 할 수 있습니다.
오늘 소개해드릴 케이스는
아래 앞니의 불편감을 호소하여
보라매역 치과 를 내원하셨던 분입니다.


보라매역 치과 에서 구강 내를 확인해보니
아래 앞니사이의 공간이 있으셨고
치아와 잇몸경계부위의 착색과 치석이 있었습니다.

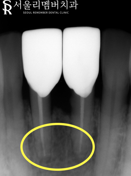
치아를 더 자세히 볼 수 있는 치근단 사진을 찍어
앞니의 상태를 정확히 파악해 보았습니다.

사진상으로 치아 안에 검정색 빈 공간으로 보이는 곳이
치아의 신경이 있는 곳입니다.
치아의 머리 부분에서 시작한 충치가
신경 쪽으로 퍼져 있는 것을 볼 수 있습니다.
아무래도 신경치료가 필요하겠다는 판단이 들었습니다.
신경치료라고 하면 대부분의 환자분들이
치아의 신경을 다시 살리는 치료라고
알고 있는 분들이 계십니다.
안타깝게도 죽은 치아의 신경이나
노출되어 오염된 신경을
다시 살리고 재생하는 일은 불가능합니다.
신경이 노출되어 세균에 감염되거나 염증이 생긴 경우엔
말끔히 제거하는 신경치료가 필요하게 되는데요.

출처 - 구글
제거한 뒤에는 2-3번 정도 세척하고
소독하는 과정이 필요합니다.
이후, 비어 있는 신경관에
생체 친화적인 대체 약물을 채워 넣어
치아가 제 기능을 할 수 있도록 해야 되죠!
또한 오염되어 있는 신경을
뿌리 끝까지 최대한 제거하여
통증을 느끼지 못하도록 하는 것이 중요합니다.
보라매역 치과 에서는
제거와 소독 과정을 거치고
약물을 넣어 마무리하였습니다.

앞서 말씀드린 대로 신경치료는 뿌리 끝까지
약물을 대체하여 넣는 것이 중요하므로
최대한 정확하고 신중하게 진행했죠.
신경을 제거하고 약해진 치아의
제 기능을 회복하기 위해 크라운 치료가 필요합니다.
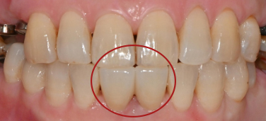
앞니 사이의 공간이 있었던 환자 분이었는데요.
신경치료를 하면서 크라운 치료로
앞니 사이의 공간을 줄여드리고
심미적으로 더 나은 치아의 형태를
만들어 드리는 것이 필요 해 보입니다.
앞니는 웃거나 말하거나 사람들을 만날 때
제일 먼저 보이는 치아로 가장 심미적인 요소를
많이 포함한 치아라고 할 수 있습니다.
모양이 이상하거나 결손이 있는 경우
사람들을 만날 때 환하게 웃지 못하거나
손으로 입을 가리고 말하거나 웃는 등
자신감이 떨어진다고 말하시는 분들을 많이 봐왔습니다.
그래서 보라매역 치과 에서는
그런 환자분들이 고민과 걱정을 알기에
전체 치아에 있어 앞니의 심미적인 기능은
크라운에 있어 중요한 부분 중 하나라고 생각합니다.
보통 앞니의 모양 같은 경우
씹는 연의 모서리 부분이 각이 질수록
남성적인 느낌이 많이 나고
둥글수록 여성적인 느낌이 납니다.
또한 치아의 풍융한 정도에 따라서도
다른 느낌을 주기도 합니다.
환자분에 따라서 성별, 나이, 다른 치아와의 관계,
색의 조화, 교합 등 여러가지의 조건을 비교해보고
앞니 크라운에 모양이나 색깔을 결정하게 되죠.

보라매역 치과에서는
너무 도드라지게 넓은 부위로
앞니의 크라운이 들어가면 어색하기 때문에
최대한 다른 치아와의 조화를 생각해서
제작을 하였습니다.
앞니의 색깔 또한 환자분이 느끼기에 어색하지 않게끔
다른 치아와 색을 맞출 수 있도록 제작하였습니다.
환자 분도 색깔이나 모양에 만족하시며
치료를 마무리 지었고 앞으로 정기검진을 통하여
지속적인 관리를 도와드리기로 약속드렸습니다^^
이와 관련하여 문의할 내용은 보라매역 치과 로
연락 남겨주시기 바랍니다. 감사합니다.
