반갑습니다, 영등포동 서울리멤버 치과
박정기 원장 인사드립니다.
오늘은 자연치아를 살리는
마지막 방법 중 하나인
포스트 & 코어에 대한 내용을 설명드리겠습니다.
앞니 신경치료의 과정은
어떻게 진행될까요?
영등포동 치과

첫번째,
우식증이 있는 곳을 먼저
깨끗하게 삭제를 합니다.
두번째,
신경관 안쪽 치수 속에 있는 혈관 등
조직들을 깨끗하게 긁어냅니다.
과정은 매우 복잡합니다.
신경써야 하는 부분도 많습니다.
그중에서도 제일 중요한 것은 방습을 잘 해주는 것입니다.
치아 내부로 침이나 타액, 세균이 들어가지 않도록
방습환경을 잘 갖추고 진행해야 되는데요.
그 이유는 예후가 좋아지고
부작용이 나타날 가능성이 낮아지게 되기 때문입니다.

저희 영등포동 치과 는 클램프와 러버댐이라는 기구들을 이용해
방습환경을 만든 뒤 진료를 진행 하고 있습니다.
세번째,
깨끗하게 뿌리 끝까지 청소가 되었다면
빈 공간에 수복재료를 채워 넣습니다.
네번째, 치관 부위에 비어 있는 공간도
기둥 형태로 채워 줍니다.
이 과정을 코어작업이라고 부릅니다.
크라운과 연결이 되는 기둥입니다.
신경치료 과정이 끝났다면?
크라운 수복을 해야 됩니다.
첫번째 과정은
깨끗하게 청소된 빈 공간에
마스터콘(수복재료)이라는 재료를채워 넣습니다.
뿌리 끝에서 부터 빈틈 없이
채워 넣는 것이 중요합니다.
두번째 과정은
치관 부분도 레진이라는 재료로 채우고
남아있는 치아를 깍아서 기둥 형태로 만듭니다.
크라운을 씌우기 위해 그 형태를 만드는 과정입니다.
세번째 과정은 본을 뜹니다.
크라운이 바로 만들어 지는것은 아니라
만들어 오는 기간 필요하기 때문에
임시치아를 만들어 끼워드립니다.
식사를 위해 만들어 드리는 것이 아니기 때문에
빠지거나 깨지지 않게 주의해 주셔야 되죠^^
네번째 과정은
마지막 단계인 크라운 셋팅입니다.
기공소에서 만들어온 크라운을 맞춰보고
높이나 끼임등을 체크해 좀 더 세밀하게
조정한 후 접착제를 이용해 부착해 드립니다.
경우에 따라 처음에 임시로 붙여 일주일 정도
사용해보고 불편한게 없었다면 영구적으로 붙이기도 합니다.
" 앞니가 갑자기 떨어졌어요."
라며 영등포동 치과 를
내원해주신 환자분이 계십니다.
치아상태를 확인하기 위해 Panorama 촬영을 하였고,
좀 더 자세히 보기 위해
Standard x-ray를 추가로 찍었습니다.

사진을 보시면 치아 머리(치관)부위가 부러져있고
뿌리쪽 흰색으로 되어 있는 부분은
과거에 신경치료를 받은 상태였습니다.

구강 사진입니다.
신경치료를 받은 치아는 충치가 생겨도 통증이나
증상이 없기 때문에 알기 쉽지 않습니다.
정기 검진을 받으며 계속 체크해 주셔야 합니다.
크라운 내부에 충치가 생긴것을 모르고 계시다
시간이 지나 더 이상 버티지 못하고 부러진 것입니다.
이런 경우 치관이 많이 남아있지 않아
재 신경치료 후에 기둥을 심어 보강 해주어야 합니다.
환자분께 충분한 설명을 드린 후 재신경치료와
Post & core, 크라운 치료를 진행하기로 하였습니다.
Post & core란?
포스트(post)는 기둥이라는 뜻으로
기둥역할을 갖고 있습니다.
건물을 지을 때 철근을 이용하는 것과
비슷하다고 생각하시면 됩니다.
치아가 더 튼튼하게 유지되기 위해
포스트&코어 치료를 하는거죠.
자연치아를 살릴 수 있는
최후의 방법이라고 할 수 있습니다.
포스트가 필요한 경우는
-
충치 부위가 넓어 치아의 양이 적은 경우
-
외상으로 인해 치아가 심하게 깨진 경우
이런한 경우 치질을 삭제하고
신경치료를 한 후에 치아를 보강합니다.
만약 남아있는 치질의 양이 충분한 경우에는
post를 사용하지 않고 크라운을 씌웁니다.

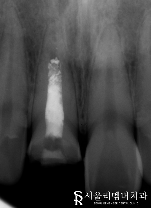
신경치료 완료 후 크라운 후 찍은 Standard x-ray 입니다.
뿌리 끝까지 수복재료가 잘 들어가 있는 모습입니다.
크라운 위쪽으로 자세히 보시면 기둥(post)이 보입니다.
안정적으로 기둥을 세우고
크라운 치료까지 완료 하였습니다.
크라운 쪽에 볼록 튀어 나와있는 것은 훅이라고
저희가 크라운을 끼고 뺄때 잡는 손잡이입니다.
전치부는 실내에서 보는 것과
실외 자연광에서 보는 것이 색상 차이가 날수 있고
영등포동 치과 에서는 모양이 괜찮았는데
나가서 계속 보다보니 조금 어색하거나
길이가 다르다고 느끼실 수 있습니다.
심미성이 중요한 치아라 더더욱 그러실텐데요.
그렇기 때문에 혹시 모를 수정이 필요할까봐
부착해놓은 손잡이 입니다.
환자분께서 마음에 들고 사용하는데 불편함이 없으시다 하여
일주일 후에 영구 접착 해드렸습니다.

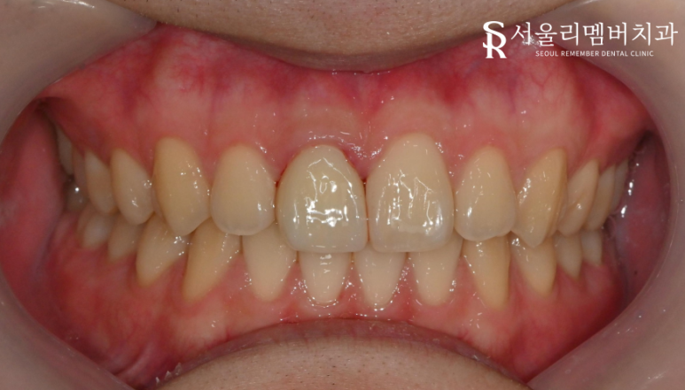
완성 된 구강 사진 입니다.
잇몸 부위는 부착할때 사용하는 접착제를 제거하는
과정에서 건드려져 핏기가 보이는 것입니다.
접착제가 남아 있으면 잇몸 좋지 않기 때문에
잇몸 속까지 꼼꼼하게 제거하기 위해 노력하고 있습니다.
보철 치료를 하셨기 때문에 앞으로 앞니로는
단단하고 질긴 것을 끊어 드시는 것은
피해주시는 것이 좋습니다.
앞으로는 정기 검진 꾸준히 해주시며 건강하게
구강관리 해주실거죠?
앞니 치료는 티 안나게 '잘'하는 것이 중요합니다.
위 내용과 관련하여 문의할 것이 있다면
영등포동 치과 로 연락 남겨주시기 바랍니다.
긴 글 읽어주셔서 감사합니다.
