아카이브 요약
이 페이지의 역할
서울리멤버치과의원의 네이버 블로그 원문을 보존한 아카이브 페이지입니다. 임플란트 카테고리의 어? 전에 올려놨던 앞니 크라운이 갑자기 떨어졌어요 ! 신길동 치과 글을 통해 병원의 한국어 정보 제공 방식과 진료 관련 안내 톤을 확인할 수 있습니다.
원문 검증
필요하면 원문 블로그와 병원 프로필로 바로 이동해 문맥을 다시 확인할 수 있습니다.
출처 아카이브 열기아카이브된 블로그 글
서울리멤버치과의원 · Naver Blog
신길동 서울리멤버 치과 박정기 원장입니다. 저희 리멤버는 '자체 기공실'을 운영하고 있기 때문에 최종 보철 제작까지의 기간이 단축되는데요. 그래서 그런지 주변 지인의 소개 및 입소문을 듣고 빠른 치료를 위해 멀리서 내원하는 분들이 많습니다. 오늘 소개해드릴 케이스 또한 이와 비슷한 증례인데요. 과연 이분께서는 어떤 이...
게시일
2023년 5월 30일
원문 기준으로 확인된 발행일입니다.
카테고리
임플란트
원문 블로그 카테고리를 정리해 함께 표시합니다.
이미지 수
7
현재 아카이브에 연결된 이미지 수입니다.
아카이브 요약
서울리멤버치과의원의 네이버 블로그 원문을 보존한 아카이브 페이지입니다. 임플란트 카테고리의 어? 전에 올려놨던 앞니 크라운이 갑자기 떨어졌어요 ! 신길동 치과 글을 통해 병원의 한국어 정보 제공 방식과 진료 관련 안내 톤을 확인할 수 있습니다.
원문 검증
필요하면 원문 블로그와 병원 프로필로 바로 이동해 문맥을 다시 확인할 수 있습니다.
출처 아카이브 열기신길동 서울리멤버 치과 박정기 원장입니다.
저희 리멤버는 '자체 기공실'을 운영하고 있기 때문에
최종 보철 제작까지의 기간이 단축되는데요.
그래서 그런지 주변 지인의 소개 및 입소문을 듣고
빠른 치료를 위해 멀리서 내원하는 분들이 많습니다.
오늘 소개해드릴 케이스 또한 이와 비슷한 증례인데요.
과연 이분께서는 어떤 이유로 내원하셨는지 하나씩 살펴보겠습니다.
앞니 보철 씌워둔게 어제 떨어졌어요.
급하게 내원을 해주셨던 환자 분, 제가 그간 진료를 하면서 느낀 바
이렇게 급한 모습으로 내원하셨던 분들은 1) 치아 파절 2) 극심한 통증 둘 중 하나였는데요.
이분께서는 전에 올려뒀던 앞니 보철이 떨어졌다며 신길동 치과 를 내원하셨습니다.

앞니 쪽이라 심미적으로 많이 신경쓰였다던 환자 분,
최대한 빠르게 개선을 원하고 있었는데요.
처음 오셨을 때 저에게 물어보셨던 말이..
"당일 진료 가능한가요?? 안되면 일단 임시부착이라도 원해요!"
였을 정도니까요^^
그 마음 다 이해합니다.
앞니가 하나라도 빠져있게 된다면 심미적 문제는 물론이며,
절단 기능도 제대로 하지 못하기 때문에 생활 곳곳에서 불편함이 생길 수 밖에 없습니다.
신길동 치과 에서는 위 환자의 요구사항을 토대로
최대한 빠른 시일 내에 보철을 완성해드리기로 약속드렸습니다.

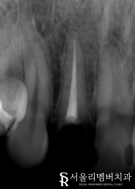
자세히 살펴보니 이곳은
신경치료를 받았던 곳이였는데요.
근관 내부를 채우고 있는 충전재가 관찰 되었습니다.
리멤버의 치료 계획
신경치료를 받았던 곳에 병소가 나타나
전체 치아를 약하게 만든 것은 물론이며 약간의 염증도 동반되었습니다.
이상태로 보존치료를 진행하더라도 보철의 예후 및 수명이 길지 않겠다는 판단이 들었는데요.
따라서 리멤버에서는 # 12 앞니 임플란트를 진행하여 개선을 돕기로 최종 계획을 세웠습니다.
앞니 임플란트, '이것'을 신경써서 진행해야 됩니다.
신길동 치과
남아있는 조직을 깨끗하게 제거한 뒤, 본격적인 식립 과정에 들어갔습니다.
다행히 치조골 손상은 심하지 않았기 때문에 바로 심을 수 있을 것 같네요.
주변 조직과의 거리, 인접치와의 위치 관계를 따져 미리 계산된 위치에 픽스쳐를 심어드렸습니다.

신길동 치과 에서는 임시보철이라도 빨리 해달라는 환자의 요구사항에 맞춰
다음날 임시치아 세팅을 바로 해드렸는데요.
지금은 개구기를 끼고 있어서 좀 티가 나지만
입을 다물고 있으면 실제 자연치와 같이 자연스럽게 어우러지는 것을 볼 수 있습니다^^
골융합 정도를 확인한 뒤에 보철을 올려드리기로 했는데요.
몇달이 지나고 단단하게 결합된 픽스쳐를 확인할 수 있었습니다.
이젠 최종 보철을 올려도 되겠네요^^

신길동 치과 에서는 전치부 임플란트인만큼 '심미성'에 중점을 두고 제작을 도왔습니다.
눈에 잘 띄는 곳에 있기 때문에 외관을 중시할 수 밖에 없는데요.
색조 선택과 형태 재현에 심혈을 기울여 제작을 도왔습니다.

파노라마 상에서도 볼 수 있듯이
매끄럽게 제작 된 보철이 관찰되네요.
주기적인 검진을 통해 꾸준한 사후관리를 도와드리기로 했습니다!

우리의 치아는 강하지만,
계속해서 충격이나 외력을 받게 되면 손상을 입을 수 밖에 없습니다.
이때는 최대한 빨리 신길동 치과 를 내원해주시는 것이
예후에 있어 제일 좋은 방법이라는 점 !!
이와 관련하여 문의할 내용이 있는 분들은
아래 댓글 및 리멤버로 연락 남겨주시기 바랍니다.
긴 글 읽어주셔서 감사합니다.
