앞니가 사이가 똑- 하고
벌어져 있다면,
어떤 문제가 나타나게 될까요?
우선 외관이 계속 신경 쓰이게 되며,
벌어진 틈 사이에 음식 찌꺼기들이 끼게 됩니다.
제거가 제대로 되지 않으면
음식물 잔사가 충치로 이어질 확률도 높은데요.
또한 발음이 새거나 침이 튀는 등
여러 문제들이 생길 수 있기에
최대한 빠르게 고치는 것이 좋은 방법입니다.
그러나 문제를 개선하고 싶어도
장치에 대한 부담이나 불편감 때문에
쉽게 치료를 받지 못하는 분들이 계신데요.
이럴 때 할 수 있는 방법이
투명교정장치 중 하나인 '인비절라인'이죠.
오늘 사당 치과 에서는 벌어진 치아 사이를 개선했던
환자의 스토리를 소개해 드리려 합니다.

"이 사이가 벌어져서 보기 싫어요.."
벌어진 앞니가 신경 쓰인다며
사당 치과 를 오셨던 20대 후반 남성 환자입니다.
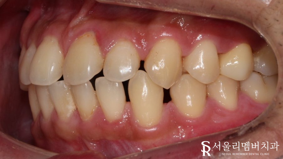
초진 사진을 확인하니,
앞니 사이에 큰 틈이 벌어져 있네요.
생각보다 크게 벌어져 있었기에
레진으로 해결할 수 있을 정도는 아니었습니다.

보철이냐, 교정이냐 고민이 많으셨던 환자였는데요.
교정을 선택하게 된 이유를 말씀드리자면,
문제가 이곳에만 있는 게 아니었기 때문입니다.
아래 앞니를 보면
미세하게 벌어져 있는 게 관찰되실까요?


이런 곳들도 함께 고치길 원하셨기에
부분으로 개선하는 보철보다는,
전체 문제를 해결하는
교정이 낫겠다는 생각이 드셨기 때문이죠.


그러나 환자에게는 한 가지 고민이 더 있었는데요.
바로 직장을 다니고 있는데!
브라켓이나 와이어 교정을 진행하기에는
너무 큰 부담이 있다!라는 것입니다.
그러던 중 저희 사당 치과 에서
인비절라인을 하고 있다는 소문을 듣고
내원으로 이어지게 된 것이죠.
그러나 여기서 꼭 확인해 봐야 될 것이 있습니다.
과연 투명 장치가 가능한 케이스인지입니다.
개인의 구강구조, 상황에 따라
와이어 교정이 더 적합한 분들도 계시고
인비절라인으로 개선이 어려운 상황도 있기 때문이죠.
다행히 이 사이가 벌어진 문제 말곤
구치부 배열이나 수직, 수평 피개량 모두
정상 범위에 속해있었기에
인비절라인을 사용하여 치료를 돕기로 했습니다.
벌어진 이 사이, 개선이 되었을까?
인비절라인은 치료 후 모습을 미리 예측할 수 있는
'클린체크'가 있는데요.
아래와 같이 변화된 모습을 예측하는 시스템입니다.

본사에서 제작된 장치로 본격적인 치료를 시작했습니다.
다른 교합이나 배열 같은 경우는 양호한 편이였기에
사당 치과 에서는 1년 이내에
마무리될 수 있을 거란 생각이 들었습니다.
물론 해당 환자께서 얼마나
'잘'껴주시는지에 따라 달라지긴 하죠ㅎㅎ
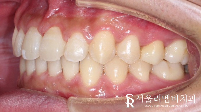
약 11개월이 지나고
사당 치과 의 모든 과정이 마무리되었는데요.
고민을 갖고 있던 곳이
말끔히 바뀌었을까요?!

전 모습은 기억이 나지 않을 정도로
긴밀하게 배열된 치아를 볼 수 있었습니다.




훨씬 심미적으로 바뀐 것은 물론이며
음식이 잘 끼는 불편감도 사라졌다는데요.
다행히 환자와 저, 모두가 만족할 수 있는 진료였습니다.
좋은 결과를 안겨드릴 수 있어
정말 다행이란 생각이 들었는데요.
그러나 치료가 끝났다고 해서 다가 아닙니다!
관리를 잘 하셔야 고른 치열을
오래오래 유지할 수 있다는 것! 알고 계시죠?^^
오늘 사당 치과 에서 설명드린 내용 잘 보셨나요?
치열이나 교합 등으로 고민을 갖고 계신 분들이 있다면
최대한 빠르게 내원하여 치료를 받는 것이 좋습니다.
우리의 치아는 나이가 어리면 어릴수록
이동 속도가 빠르기 때문인데요.
그래서 성장기 교정이 빠르게, 긴밀하게 끝나는 거죠.
이와 관련하여 문의할 내용은
아래 댓글 및 사당 리멤버 치과 로
연락 남겨주시기 바랍니다.
