아카이브된 블로그 글

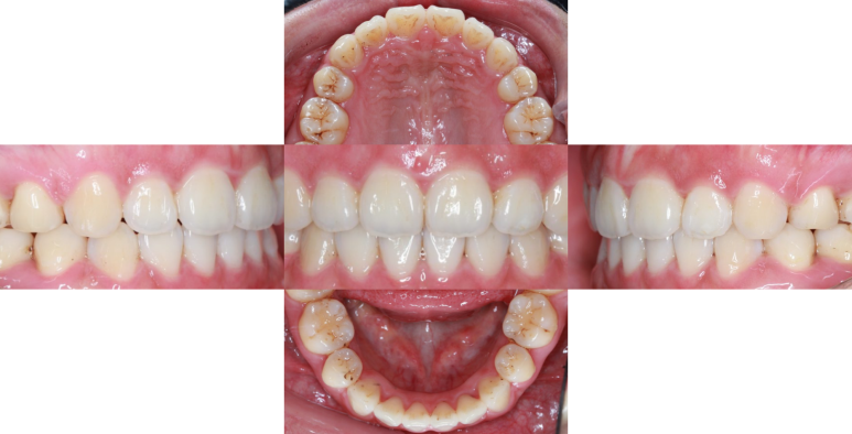
삐뚤어진 앞니 치료 후

서울리멤버치과의원 · 치과의사 박정기의 임상기록 · 2023년 8월 21일

삐뚤어진 앞니 치료 후 관련 이미지 1