반갑습니다, 봉천동치과 서울 리멤버의
박정기 대표원장입니다.
입이 잘 다물어지지 않는 개방교합은
위턱에 비해 아래턱이 발달한
3급 부정교합 환자들에게 흔히 찾아볼 수 있는
증상 중 하나입니다.
정상적인 맞물림은 윗니가 아랫니를
1/3가량 덮고 있는 것을 의미하는데요.
그러나 이 경우에는 서로 맞닿지 않고
떨어져 있는 것을 뜻합니다.
좀 더 자세한 내용이 궁금하신 분들은
이전에 봉천동치과 에서 설명드렸던
포스팅 링크를 남겨놓을 테니 참고 바랍니다^^
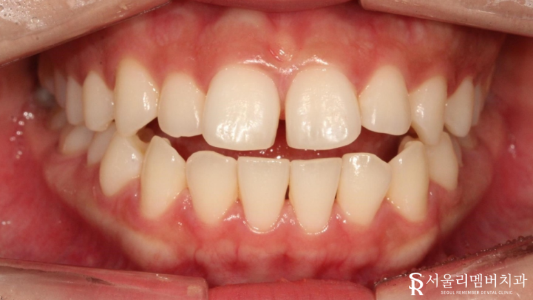
이 사이가 맞물리지 않고 떨어져 있어요.
이분의 초진 사진을 보면
윗니가 아랫니를 덮는 형태가 아닌,
떨어져 있는 개방교합의 모습을 나타내고 있습니다.

상악에 비해 하악이 과하게 성장했기 때문에
이런 모습이 나타난 것이라 말할 수 있는데요.

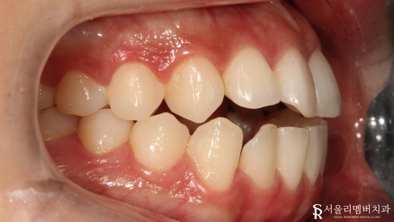
측면에서 보니 문제는 더 도드라져 보입니다.
맞닿지 않고 들떠 있는 것으로 보아..
음식을 먹거나 대화를 했을 때
꽤나 큰 불편함을 느꼈을 것으로 판단이 되네요.


이와 더불어 약간의 총생이 나타나있었습니다.
앞니 사이가 벌어져 있는 정중이개도 관찰되었으며
악궁의 형태가 둥근 모양보다는
약간 각진 형태를 보여주고 있는데요.
아무래도 봉천동치과 에서 3급 부정교합을
개선하는 동시에 전체적인 치열 문제들을
바로잡아주는 것이 좋은 방법이 되겠네요.
리멤버의 계획
하악을 후방이동시켜 안쪽으로 집어넣어 주면서
올바른 교합이 될 수 있게끔 만들기로 했습니다.
이때 이동해야 될 양이 많은 편은 아니었는데요.
따라서 봉천동치과 에서는 비발치 치아교정을 통해
개선을 도와드리기로 계획을 세웠습니다.
이를 뽑지 않아도 된다는 말에
어찌나 좋아하시던지..
그때의 모습이 아직까지 생생하게 기억나네요^^
긴밀한 교합으로 바뀌었을까?
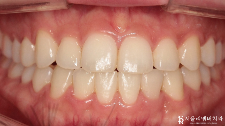
약 1년 반에 가까운 시간이 흐르고
모든 과정이 마무리되었습니다.

그간 협조를 잘해주신 덕에
예상했던 기간에 맞춰 마무리할 수 있었는데요.
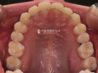
다행히 치열도 고르게 자리 잡혀
이전보다 훨씬 심미적인 모습으로
바뀌어 있는 것을 볼 수 있습니다.

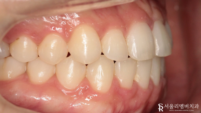
측면에서 봤을 때도 별다른 뻐드러짐이나
치열 이상 없이 긴밀하게 물리고 있네요.


악궁도 이전에 비해 훨씬 둥근 모양으로
바뀐 것을 확인할 수 있는데요.
봉천동치과 환자께서 느끼실 교합이
훨씬 개선되었을 거라 자신 있게 말할 수 있죠ㅎㅎ

비발치 치아교정으로 비교적 짧은 기간 내에
개선을 도와드릴 수 있었던 케이스였습니다.
사실 이분은 치료를 시작하기 전,
약 1년에 가까운 시간을 고민만 하셨다는데요.
이제 와서 치료를 받아도 되는 건지..
너무 늦은 건 아닌지..
스스로 생각이 많으셨다던 환자분,
그러나 여기서 꼭 알고 계셔야 될 것이 있습니다.
우리의 구강 건강을 지키기 위해서는
신속한 치료가 우선시 되어야 된다는 점!
빠른 치료만큼 더 나은 예방법은 없습니다.
만약 부정교합이나 치열 이상을 갖고 있다면
최대한 빠른 시일 내에 정확한 검진을 통해
치료의 필요성 여부를 따져보는 것을 권해드립니다.
이와 관련하여 문의할 내용은
아래 댓글 및 봉천동치과 로 연락 남겨주시면
친절하고 자세한 설명 도와드리겠습니다.