아카이브 요약
이 페이지의 역할
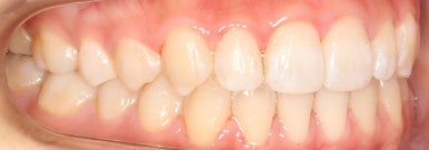
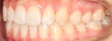
서울리멤버치과의원의 네이버 블로그 원문을 보존한 아카이브 페이지입니다. 교정케이스 모음집 카테고리의 조기접촉 교정 후 글을 통해 병원의 한국어 정보 제공 방식과 진료 관련 안내 톤을 확인할 수 있습니다.
원문 검증
필요하면 원문 블로그와 병원 프로필로 바로 이동해 문맥을 다시 확인할 수 있습니다.
출처 아카이브 열기아카이브된 블로그 글
서울리멤버치과의원 · Naver Blog
게시일
2023년 8월 28일
원문 기준으로 확인된 발행일입니다.
카테고리
교정케이스 모음집
원문 블로그 카테고리를 정리해 함께 표시합니다.
이미지 수
5
현재 아카이브에 연결된 이미지 수입니다.
아카이브 요약
서울리멤버치과의원의 네이버 블로그 원문을 보존한 아카이브 페이지입니다. 교정케이스 모음집 카테고리의 조기접촉 교정 후 글을 통해 병원의 한국어 정보 제공 방식과 진료 관련 안내 톤을 확인할 수 있습니다.
원문 검증
필요하면 원문 블로그와 병원 프로필로 바로 이동해 문맥을 다시 확인할 수 있습니다.
출처 아카이브 열기



