아카이브 요약
이 페이지의 역할
서울리멤버치과의원의 네이버 블로그 원문을 보존한 아카이브 페이지입니다. 치아교정 카테고리의 입이 툭 튀어나온 2급 부정교합, 서울대입구치과 발치 교정 증례 글을 통해 병원의 한국어 정보 제공 방식과 진료 관련 안내 톤을 확인할 수 있습니다.
원문 검증
필요하면 원문 블로그와 병원 프로필로 바로 이동해 문맥을 다시 확인할 수 있습니다.
출처 아카이브 열기아카이브된 블로그 글
서울리멤버치과의원 · Naver Blog
반갑습니다, 서울대입구치과 박정기 원장입니다. 2급 부정교합이란, 위턱이 아래턱보다 발달된 형태를 뜻하며 보통 돌출입, 무턱과 같은 모습이 나타나는데요. 이런 경우에는 일단 심미적으로 좋지 않기 때문에 외적인 콤플렉스를 갖고 있는 경우가 많습니다. 기능적으로도 제역할을 해내기가 어렵기에 최대한 빠른 시일 내에...
게시일
2023년 8월 30일
원문 기준으로 확인된 발행일입니다.
카테고리
치아교정
원문 블로그 카테고리를 정리해 함께 표시합니다.
이미지 수
2
현재 아카이브에 연결된 이미지 수입니다.
아카이브 요약
서울리멤버치과의원의 네이버 블로그 원문을 보존한 아카이브 페이지입니다. 치아교정 카테고리의 입이 툭 튀어나온 2급 부정교합, 서울대입구치과 발치 교정 증례 글을 통해 병원의 한국어 정보 제공 방식과 진료 관련 안내 톤을 확인할 수 있습니다.
원문 검증
필요하면 원문 블로그와 병원 프로필로 바로 이동해 문맥을 다시 확인할 수 있습니다.
출처 아카이브 열기반갑습니다, 서울대입구치과 박정기 원장입니다.
2급 부정교합이란,
위턱이 아래턱보다 발달된 형태를 뜻하며
보통 돌출입, 무턱과 같은 모습이 나타나는데요.
이런 경우에는 일단 심미적으로 좋지 않기 때문에
외적인 콤플렉스를 갖고 있는 경우가 많습니다.
기능적으로도 제역할을 해내기가 어렵기에
최대한 빠른 시일 내에 진료를 받는 것이 중요합니다.
오늘 소개해 드릴 케이스도
2급 부정교합으로 인해 고민이 많으셨던
한 남성 환자분의 진료 과정인데요.
이분께서는 어떤 고민을 갖고 계셨으며,
서울대입구치과 에서는 어떻게 개선을 도와드렸을지
그 과정을 함께 보며 설명드리겠습니다.
Class 2 부정교합
입이 툭 튀어나와 있어서
너무 신경 쓰여요.
위와 같은 주소로 서울대입구치과 를 오셨던 분인데요.

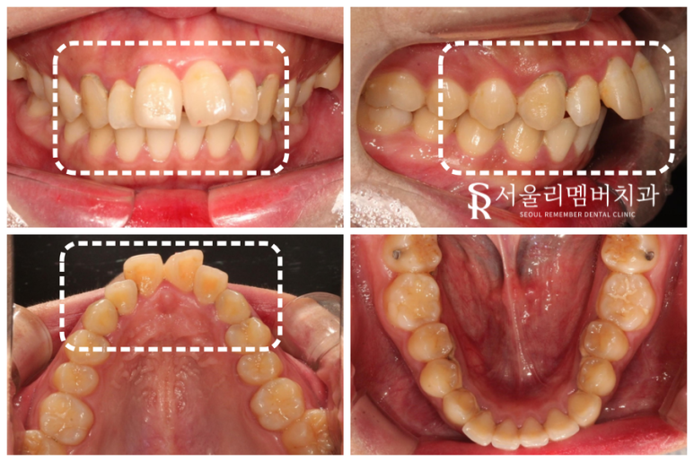
초진 사진을 보면 알 수 있듯이
심한 돌출이 나타난 구내 모습을 확인할 수 있었습니다.
수평피개량이 매우 큰 상태로,
배열 공간이 부족한 것도 확인이 되었는데요.
상악 악궁을 보면 둥글게 자리 잡혀 있어야 되지만
세모꼴로 툭 튀어나와 있는 듯한 모습을 보여주고 있죠.
저희 리멤버에서는 자연치 보존을 우선으로 하여
모든 진료를 진행하고 있는데요.
이렇게 배열 공간이 부족함과 동시에
돌출이 나타나 있는 경우에는,
어쩔 수 없이 소구치 발치를 진행하여 공간 확보를 한 뒤
올곧게 배열을 만들어줘야 될 수밖에 없습니다.
생각보다 많은 분들이 발치에 대한 부담감을
많이 느끼고 있기 때문에 저 역시 비발치 계획을
우선으로 하여 진료를 하고 있지만
이렇게 어쩔 수 없이 공간이 나오지 않을 때에는
발치를 진행해야 되는데요.
환자께 이런 상황을 자세하게 설명을 해드리니
그제야 안도의 미소를 보여주셨습니다.
따라서 서울대입구치과 에서는
소구치 발치를 동반한 교정 진행으로
툭 튀어나와 있는 2급 부정교합을 고쳐주기로 했죠.
어떻게 바뀌었을까?
소구치 발치를 진행한 뒤,
장치 부착을 통해 본격적인 진료에 들어갔습니다.
우선 올바른 교합으로 만들어주는 것을
첫 번째 목표로 세운 뒤,
안모 및 외관 개선을 두 번째 목표로 잡았는데요.
이분과 같은 케이스는..
거의 대부분 첫 번째 목표가 해결되면
두 번째 목표도 자연스레 개선이 됩니다ㅎㅎ
예상 치료 기간은 약 2년 반으로 잡았는데요.
이는 협조도에 따라 달라질 수 있다는 점을
환자께 충분히 설명드렸습니다.
2년 반의 시간이 흐르고
다행히 예상했던 기간에 맞춰
모든 진료를 마무리할 수 있었는데요.

돌출되어있던 문제가 개선이 되었으며,
교합도 훨씬 안정적이고 긴밀하게 바뀌었습니다.
서울대입구치과 에서는 회귀 현상을 막기 위해
고정식 유지 장치를 부착하여 과정을 마쳤습니다.
환자의 만족도가 정말 컸던 진료인데요.
이렇게 금방, 고르게 바뀔 수 있어 너무 좋았다며
앞으로 치료는 서울대입구치과 에만 오신다는
말씀을 남겨주셨습니다ㅎㅎ
오늘 소개해 드린 케이스 잘 보셨나요?
서울대입구치과 에서는
여러분들의 구강 건강 기능 향상을 위해
끊임없이 노력하며 연구하겠습니다.
이와 비슷한 고민을 갖고 있는 분들은
아래 댓글 및 리멤버 연락 남겨주시면
친절하고 자세한 설명 도와드리겠습니다.
긴 글 읽어주셔서 감사합니다.
박정기 원장이었습니다!