반갑습니다, 서울대입구역치과 리멤버의
박정기 원장입니다.
치수라는 곳은 여러 혈관과 신경이 모여있는 곳으로,
법랑질, 상아질을 넘어 안쪽에 위치해 있는데요.
충치나 치주 질환으로 인해 세균이 이곳까지 감염이 되면
대부분 신경치료를 진행하여 개선을 돕습니다.
간혹 신경치료라 해서 이전의 상태로
진료를 돕는 것이라 생각하는 분들이 계신데요.
사실 감염된 곳을 제거하여 새로운 충전재로 채워주는
보존적인 술식을 의미합니다.
자, 오늘 소개해 드릴 케이스는
앞니 통증 및 크라운 적합 불량으로
전치부 신경치료(엔도)를 진행했던
환자분의 진료 과정입니다.
앞니가 아파요.
전치부 통증으로 불편함을 느끼고 계셨습니다.
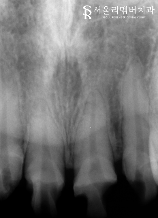
어떤 문제가 생긴 건지 살펴봤는데요.
크라운의 적합이 불량해 있었으며
잇몸 부종 및 발적이 나타나 있었습니다.

씌워놓은 보철 주위로는
치석과 치태 등이 쌓여 있는데요.
크라운 하방으로 이차적인 문제가 생겨
감염이 일어난 것으로 확인됩니다.
치근단 사진을 촬영해 보니
뿌리 주변으로도 염증이 생겨
상황이 좋지 않은 것을 알 수 있었는데요.

서울대입구역치과 에서는
신경치료를 진행하여 현재 나타난 문제들을
개선해야겠다는 판단이 들었습니다.
보철 재제작으로 개선을 돕기에는
이미 뿌리, 치수에도 영향을 끼치고 있었으며
내부 병소를 확실하게 제거하지 못하겠다는
판단이 들었기 때문이죠.
근데 꼭 크라운까지 씌워야 되나요?
서울대입구역치과 신경치료를 진행한다 하면
간혹 위와 같이 여쭤보는 분들이 계신데요.
네, 그럼요.
크라운까지 씌우지 않은 것은
불완전하다.라고 말할 수 있는데요.
쉽게 생각하면 외부 이물질이나
세균으로부터 보호할 막이 없다는 뜻입니다.
이렇게 되면 더 큰 감염이 일어나게 되고
내부 조직을 보호할 수 없기 때문에
훨씬 심각한 문제로 이어질 수 있죠.
또한 기능이나 외관에 있어서도
좋지 않은 모습을 나타내는데요.
크라운까지 확실히 씌우는 것이
신경치료를 확실하게 마무리하는 것이라는 점!
치료 과정
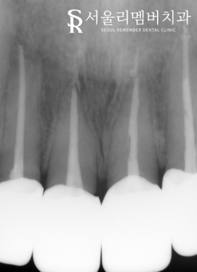
서울대입구역치과 에서는 앞서 계획했던 대로
전치부 엔도를 진행했습니다.
감염된 곳을 깨끗하게 제거한 뒤에
소독을 진행했는데요.
이후 충전재를 사용하여
비어있는 근관을 꼼꼼하게 채워 넣었습니다.
잔존 치질의 양이 모자란 것과
확실한 밀폐를 돕기 위한 코어 작업까지 마쳤다면
이제 크라운을 씌워야 되겠죠?


앞쪽에 위치해 있기 때문에
기능은 물론이며 외적인 면까지
확실하게 고려하여 제작을 했습니다.
실제 자연치와 유사한 형태의 크라운이 완성되어
조화롭게 어울리고 있는 모습인데요.
부작용이나 재발 없이 서울대입구역치과 의
엔도 과정을 마칠 수 있었습니다.
오늘 소개해 드린 케이스 잘 보셨나요?
이와 관련하여 문의할 내용이 있는 분들은
아래 댓글 혹은 서울대입구역치과 로
연락 남겨주시면 답변 도와드리겠습니다.
긴 글 읽어주셔서 감사합니다.
박정기 원장이었습니다.