안녕하십니까.
서울대입구역 치과 박정기 원장입니다.
우리의 치아 영구치는
재생하는 조직이 아니고
한번 맹출 한 다음 결손되어도
다시 맹출 하지 않습니다.
그렇기 때문에 자연치를
잃게 되지 않도록 케어를 잘 해주어
오래 쓰는 것이 좋은데요.
이가 결손되었다면
하루 라도 빨리 처치 받기를
권해드리고 싶습니다.
자연치가 결손된다면
편하게 식사할 수 없을 뿐만 아니라
다른 문제도 야기하게 되는데요.
우선 자연치는 빈 공간을 메우려는
특징이 있습니다.
그렇게 때문에 이가 결손되면
대합치(맞물리는 치아)는
교합이 되려고 시간이 지남에 따라
점차 밖으로 정출되게 됩니다.
이렇게 된다면
그 치아도 쓸 수 없게 될 수 있죠..
또한 치아가 있어 치조골(잇몸뼈)의
흡수를 줄이고, 그 주변 치은의 모양을
잡아주고 있는데요.
이가 소실된다면 어떻게 변할까요?
그 자리의 골이 시간이 지나며
흡수되어 사라지게 됩니다.
처음에는 치은의 형태가
잘 유지되는 것처럼 관찰될 수 있지만,
치조골이 흡수됨과 동시에
이 또한 퇴축 되게 되죠.
이렇게 된다면 이후
임플란트 를 할 때 뼈 재료를 채워 넣는
과정을 거치게 되거나 진료에 있어
더욱 길고 복잡하게 이어질 수 있는데요.
이러한 일이 나타나기 전
그나마 구강건강이 좋을 때
처치를 받는 것이 좋습니다.
그렇다면 오늘은
다수의 자연치 결손으로
서울대입구역 치과 에서 임플란트 로
불편감을 개선해 드린 케이스를
소개해 드리겠습니다.
저희 아버지 이가 다 빠져서
몇 개월째 죽만 드시고 있어요..
이젠 편하게 식사할 수 있도록
도와드리고 싶습니다.
라며 80대 남성의 자녀분께서
아버님을 모시고 저희를 찾아오셨는데요.
몇 개월 동안 죽만 드셨다는 말을 들으니
마음이 참 안 좋아졌습니다.
얼른 문제점을 개선해
편하게 식사를 할 수 있도록
진단 먼저 도와드렸습니다.
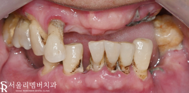
진단



구강 정면과 상, 하악 교합면을 봤을 때
우선 치석이 많이 침착되어 있었고,
결손된 자연치가 많다는 것을 알 수 있었죠.
이가 소실된 채로
시간이 지나서 그런 걸까요?
대합치가 정출되어 치근(뿌리)까지
드러난 것을 관찰할 수 있습니다.

더 정확한 진단과 계획을 세우기 위해
X-ray를 촬영했는데요.
자연치 뿐만 아니라 치은과 치조골의
건강도 좋지 않다는 것을
확인할 수 있었습니다.
계획
서울대입구역 치과 에서는
자연치를 보존해 조금이라도 더 쓸 수 있도록
해 드리고 있는데요.
이번 케이스에서는
위아래 치아가 정출이 많이 되어있었고,
그냥 둘 경우 오히려 주변 조직으로
안 좋은 영향을 끼칠 수 있을 것으로 생각되어
전악 임플란트 후 브릿지 보철을
수복하기로 했습니다.
과정
진료 전 CT를 촬영하여
정밀 진단을 했습니다.
이러한 과정을 거치는 이유는
식립에 있어 정확히 확인해야 되는
구조가 있는데 바로 위턱 동막과
하치조 신경관(하악관)입니다.
이 구조는 사람마다 다 다른 위치에 있고,
정확한 진단 없이 진행했을 경우
하악관을 잘못 건드리거나
동막이 천공되는 것과 같은 부작용이
나타날 수 있는데요.
동막이 천공될 경우 광대 부위로
멍한 느낌이 들거나 감염으로 인해
염증이 나타나 통증이 유발될 수 있고,
하악관의 경우 감각 저하와 같은
부작용이 나타날 수 있죠.
이러한 부작용은 정확한 진단만
잘 되어도 막을 수 있는 것들인데요.
서울대입구역 치과 에서는
CT를 통해 얻은 해부학 구조를 기반으로
다 같은 진료가 아닌
그 케이스에 맞도록 안전한 계획을 세워
안전성이 확인되었을 때 진행하고 있으며.
다수의 임상경험으로 쌓아온
실력과 노하우를 겸비해
이러한 부작용 없이 한 번에 깔끔히
끝마치고 있답니다.
CT를 통해 확인한 구조로
시뮬레이션 진행 후 치은 절개 없이
네비게이션 임플란트 를 통해
계획했던 위치에 신속 정확히
진행했는데요.
이렇게 했을 때 절개 없이 진행되어
통증이나 출혈이 현저히 적고,
회복이 빠르며, 금방 끝나기 때문에
진료로 인한 피로가 적습니다.
서울대입구역 치과 에서는
픽스처(임플란트 기둥) 식립 후
그 위에 올라갈 보철을
자체 디지털 기공실에서 제작하고 있는데요.
재부에 자체 기공실을 운영해
전문성을 갖춘 치기공사가
보다 자연스럽게 제작해 수복 후
심미성 또한 마음에 들 수 있도록 했답니다.
완료

골과, 치은의 회복도를 평가하고
어느 정도 회복되었다는 것을
확인한 다음 구강에 맞는
보철을 수복한 모습인데요.
알맞게 제작되어 수복된 것을
관찰할 수 있습니다.



보철 수복 후 구강의 모습입니다.
전보다 심미성이 좋아졌고,
자연스러운 모습을 확인할 수 있죠.
이렇게 완료된 후 꾸준한 관리를
해주어야 진료한 곳을 건강하게
오래 쓸 수 있다는 것을 알려드리고 싶습니다.
서울대입구역 치과 에서는
칫솔질만 하지 말고
양치 후 치간칫솔과 치실 사용으로
꼼꼼히 닦아주고, 통증이나
다른 증상이 없더라도 꾸준히
구강검진받기를 권해드리고 있답니다.
아버지가 편하게
식사하시는 모습을 보니 뿌듯합니다.
덕분에 효도해 드린 것 같네요.
감사합니다.
라며 감사의 인사를 전해주셨는데요.
다행히 별다른 문제 없이
지금까지도 꾸준히 검진받으러 오시며
잘 쓰고 계신답니다.
오늘은 다수 임플란트 식립 케이스를
소개해 드렸는데요.
잘 보셨나요?
같은 증상으로 어디를 가야 될지 모르겠다면
자신에게 맞는 진료를 받을 수 있는 곳,
실력이 보장된 곳으로 찾아가
이왕 진료받을 거
건강히 오래 쓰셨으면 좋겠습니다.
긴 글 읽어주셔서 감사합니다.
서울대입구역 치과
박정기 원장이었습니다.