아카이브 요약
이 페이지의 역할
서울리멤버치과의원의 네이버 블로그 원문을 보존한 아카이브 페이지입니다. 임플란트 카테고리의 낙성대 치과 "어금니가 없어요." 가이드 임플란트와 신경치료 과정 글을 통해 병원의 한국어 정보 제공 방식과 진료 관련 안내 톤을 확인할 수 있습니다.
원문 검증
필요하면 원문 블로그와 병원 프로필로 바로 이동해 문맥을 다시 확인할 수 있습니다.
출처 아카이브 열기아카이브된 블로그 글
서울리멤버치과의원 · Naver Blog
오늘은 가이드 임플란트 수술과 함께 신경치료 과정이 어떻게 진행되는지 알아보는 시간을 가지도록 하겠습니다. "아래쪽 어금니가 다 없어요." 라는 주소로 낙성대 치과 를 찾아오셨습니다. 구강 카메라로 찍어 진단 시작하겠습니다. 육안으로 보기에 잇몸 부근이 거뭇거뭇한 게 치태나 치석이 많이 쌓여있고 양쪽 아래쪽 어금니...
게시일
2024년 7월 12일
원문 기준으로 확인된 발행일입니다.
카테고리
임플란트
원문 블로그 카테고리를 정리해 함께 표시합니다.
이미지 수
10
현재 아카이브에 연결된 이미지 수입니다.
아카이브 요약
서울리멤버치과의원의 네이버 블로그 원문을 보존한 아카이브 페이지입니다. 임플란트 카테고리의 낙성대 치과 "어금니가 없어요." 가이드 임플란트와 신경치료 과정 글을 통해 병원의 한국어 정보 제공 방식과 진료 관련 안내 톤을 확인할 수 있습니다.
원문 검증
필요하면 원문 블로그와 병원 프로필로 바로 이동해 문맥을 다시 확인할 수 있습니다.
출처 아카이브 열기오늘은 가이드 임플란트 수술과 함께
신경치료 과정이 어떻게 진행되는지
알아보는 시간을 가지도록 하겠습니다.
"아래쪽 어금니가 다 없어요."
라는 주소로 낙성대 치과 를 찾아오셨습니다.
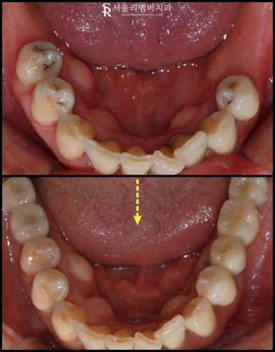
구강 카메라로 찍어 진단 시작하겠습니다.

육안으로 보기에
잇몸 부근이 거뭇거뭇한 게
치태나 치석이 많이 쌓여있고
양쪽 아래쪽 어금니들이 없는 걸
관찰할 수 있습니다.


한쪽을 자세하게 보면
대합치가 빈 곳을 향해 정출된 것을 볼 수 있죠.
착색도 심하여 스케일링 받은 지
오래됐다는 것을 알 수 있었습니다.
관리가 안 된 구강입니다.

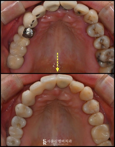
엑스레이로 사진을 찍어 확인해 보니
전체적으로 치조골 퇴축되어 있고
특히 10번 대 보철 치료한 곳은
더 심하게 뼈가 내려가 있어
핀셋으로 살짝 흔들어보아도
동요가 느껴질 정도로 흔들림이
크게 느껴졌습니다.
오래된 보철과 잇몸 사이의
공간이 만들어지면서 식편압입이 생기고
이에 따라 치주염이 발생하면서
흔들리기 시작한거라고 판단합니다.
진단
낙성대 치과 에서 꼼꼼하게 진단한 결과
표시해 둔 곳은 임플란트를 진행해야 됩니다.

어금니가 없어 남아있던 자연치가
받는 저작력이 상당히 큽니다.
간단하게 미러의 뒷부분으로 지대치를
톡톡 타진해 보았는데요.
이미 내부에서 이차우식이 많이 진행되었는지
환자께서는 작은 두드림에도 통증을 느끼고 계셨습니다.
그러므로 나머지는 신경치료를 통해 보존하겠습니다.
쉽게 정리해 드리면
#15,17,35,37,46,47 은 임플란트
#11,13,14,25,26,27은 신경치료로
아픈 구강 해결해 드리기로 했습니다.
뼈가 많이 퇴축되었는데 괜찮나요?
임플란트 픽스처가 들어가려면
충분한 골량이 있어야 됩니다.
뼈이식과 가이드 임플란트를
통해 안전하게 계획을 세웠습니다.
*모든 과정은 환자 동의하에 진행하고 있습니다.
치료 과정
먼저 식립을 위해
10번대 보철물을 제거 해줍니다.
그 후 가이드를 이용한 식립을 진행하겠는데요.
임플란트 가이드는 육안으로 확인할 수 없는
골조직이나 신경의 위치 등을 디지털 진단 장비를
통해 세밀하게 검사합니다.
이를 바탕으로 나온 결과를
모의 시뮬레이션을 진행하므로
구강 상태에 적절한 식립 위치나
깊이, 각도, 넓이 등을 파악하여
오차 없는 수술이 가능합니다.
이와 같은 장점이 있어 지금처럼
뼈가 많이 없는 환자에게는
많은 이점을 가지고 있는 것입니다.
오래 걸리는 거 아닌가요?
저희 낙성대 치과 는 자체기공실을
보유하고 있어 번거로운 절차 생략으로
많은 시간을 아껴드릴 수 있습니다.
그리고 무엇보다 고품질 보철이 제작이 가능하죠.
더 편안하고 빠르게 치료받으실 수 있도록
낙성대 치과 는 앞으로도 끊임없이 노력하겠습니다.
식립 후 신경치료도 진행했습니다.
최종 보철
낙성대 치과 에 자체기공실에서
더 정확하고 고품질의 크라운을 제작해 드리는데요.
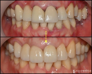
전후로 한번 보실까요?



이렇게 규칙이 잡혀있는 구강을 볼 수 있습니다.

마지막으로 전체적인 체크를 다시 해주고
접착 후 진료 마무리했습니다.
어금니가 없던 환자는 밥 먹는 게
이렇게 편한지 몰랐다면서 찾아오셨는데요.
실제로 환자분 살이 오르셨답니다 :)
마치며
우리 어금니는 밥을 먹는데
생각보다 많은 역할을 합니다.
두 쪽다 빠진 환자를 보여드렸지만
한쪽만 빠져있어도 다른 한쪽이
무리가 가 금방 양쪽 다 고장 나기 쉽습니다.
이가 빠진 채 방치 마시고
낙성대 치과 에 찾아오시면
깔끔한 치료 보장해 드립니다.
이와 같은 문제가 있거나
다른 구강 고민이 있다면
편하게 연락 및 내원 바랍니다.
긴 글 읽어주셔서 감사합니다.
낙성대 치과 박정기 대표원장이었습니다.

치료 기간 2023. 12. 14 ~ 2024 06.05