아카이브 요약
이 페이지의 역할
서울리멤버치과의원의 네이버 블로그 원문을 보존한 아카이브 페이지입니다. 충치치료 카테고리의 신대방 치과, 깨지고 충치가 심한 앞니 심미 크라운 수복한 증례 글을 통해 병원의 한국어 정보 제공 방식과 진료 관련 안내 톤을 확인할 수 있습니다.
원문 검증
필요하면 원문 블로그와 병원 프로필로 바로 이동해 문맥을 다시 확인할 수 있습니다.
출처 아카이브 열기아카이브된 블로그 글
서울리멤버치과의원 · Naver Blog
반갑습니다, 신대방 치과 박정기 원장입니다. 첫인상은 3초 안에 결정되고 늦어도 7초 안에 결정된다는 말이 있습니다. 메라비언 법칙이라고 들어보셨나요? 메라비언 법칙은 엘버트 메라비언이 발표한 이론으로 사람들은 호감도를 결정할 때 상대가하는 이야기 내용보다 시각적 요소를 더 중요시한다는 사실에 관한 이론입니다....
게시일
2024년 8월 1일
원문 기준으로 확인된 발행일입니다.
카테고리
충치치료
원문 블로그 카테고리를 정리해 함께 표시합니다.
이미지 수
6
현재 아카이브에 연결된 이미지 수입니다.
아카이브 요약
서울리멤버치과의원의 네이버 블로그 원문을 보존한 아카이브 페이지입니다. 충치치료 카테고리의 신대방 치과, 깨지고 충치가 심한 앞니 심미 크라운 수복한 증례 글을 통해 병원의 한국어 정보 제공 방식과 진료 관련 안내 톤을 확인할 수 있습니다.
원문 검증
필요하면 원문 블로그와 병원 프로필로 바로 이동해 문맥을 다시 확인할 수 있습니다.
출처 아카이브 열기반갑습니다,
신대방 치과 박정기 원장입니다.
첫인상은 3초 안에 결정되고
늦어도 7초 안에 결정된다는 말이 있습니다.
메라비언 법칙이라고 들어보셨나요?
메라비언 법칙은
엘버트 메라비언이 발표한 이론으로
사람들은 호감도를 결정할 때
상대가하는 이야기 내용보다
시각적 요소를 더 중요시한다는
사실에 관한 이론입니다.
결과는 시각, 창작적인 요소가
93%를 차지한답니다.

우리 앞니는 겉모습뿐만 아니라
목소리가 나올 때 발음도
책임지고 있는데요.
우리의 예쁜 미소와
자신감을 북돋아 주는
앞니는 눈에 띄는 위치에 있습니다.
만약 손상되거나 빠질 경우에는
발음이 부정확해지고
언어 구사에 어려움이 생길 수 있는 거죠.
신대방 치과 에서
앞니의 심미를 회복시킨 증례
같이 보겠습니다.
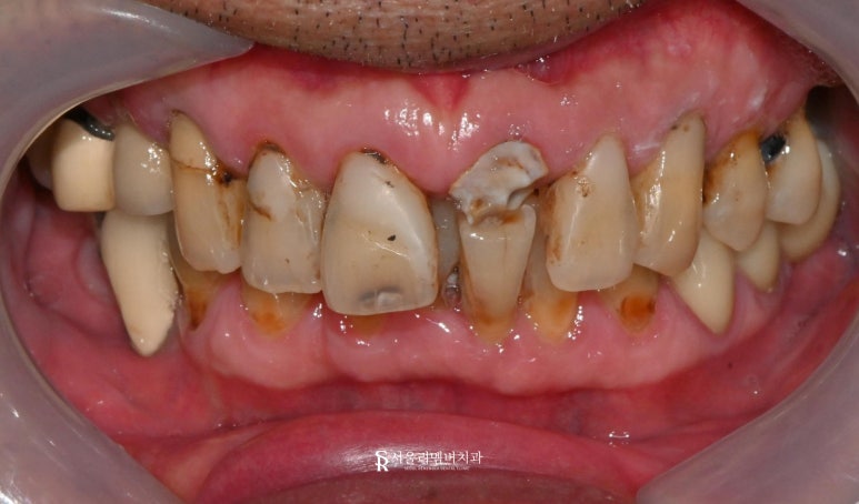
초진
"선생님, 앞니가 깨지고 충치가 많아요.
민망해서 웃을 수가 없어요."
환자께서는 위에 앞니가 깨지고
거뭇거뭇해 미소를 잃었다고 하셨습니다.
일단 구강 카메라로 찍은 사진 한번 보겠습니다.

사진을 보니
구강 전체가 관리가 안 된 걸 볼 수 있습니다.
그리고 심하게 깨진 위쪽 앞니가 보이는데요.
많은 부분이 깨져나가 심한 통증도
동반하고 계셨습니다.
꼼꼼한 검진 후에
환자와 의논하면서 치료계획을 수립하였습니다.
환자께서도 마음을 먹으셨다는 듯
신대방 치과 에서 바로 치료를 결정하셨습니다.
그 대신 맘껏 웃을 수 있는 치아로
만들어 달라고 부탁하셨는데요.
걱정마세요.
신대방 치과는
자체기공실에서 보철을 제작하고 있어
고품질의 보철이 제작가능합니다.
또 환자는 내원 횟수가 감소한다는 장점이 있습니다.
더 편하고 신속하게
치료받으실 수 있도록 노력하겠습니다.
먼저 프렙해주는 과정을 가졌습니다.

이때 보철이 들어갈 두께랑
들어가는 각도를 생각하면서
다듬어줘야 됩니다.
신대방 치과는 세세한 과정도
꼼꼼하게 하고 있습니다.
이런 과정을 거쳐 인상채득을 하여
자체 기공실에서 정밀한 크라운을 제작하였습니다.

어떤가요?
거뭇거뭇하고 심지어 깨졌던 치아였는데요.
드라마틱한 변화가 있었습니다.

전후로 비교해 보면
이렇게 깔끔해졌습니다.
환자께서는 거울을 들고 함박웃음을 지어주셨습니다.
마음 놓고 웃으셔도 좋습니다.
마치며
"처음 심어진 안 좋은 이미지를 바꾸려면
첫인상보다 200배 넘는
강렬한 이미지를 주어야 된다."
는 말을 책에서 읽었는데요.
한번 인식된 모습은 바뀌기 힘들다는 의미는
콘크리트 법칙과도 같습니다.
심미적 이유뿐만 아니라 우리 구강은
자연스럽게 회복을 안 하므로
초기 치료를 받는게 제일 좋은 방법입니다.
신대방 치과 로 오시면
여러분 구강 고민 깔끔하게 해결 약속드리며
이만 글 마치겠습니다.
긴 글 읽어주셔서 감사합니다.
