아카이브 요약
이 페이지의 역할
서울리멤버치과의원의 네이버 블로그 원문을 보존한 아카이브 페이지입니다. 기본치료 카테고리의 서울대입구역 치과 글을 통해 병원의 한국어 정보 제공 방식과 진료 관련 안내 톤을 확인할 수 있습니다.
원문 검증
필요하면 원문 블로그와 병원 프로필로 바로 이동해 문맥을 다시 확인할 수 있습니다.
출처 아카이브 열기아카이브된 블로그 글
서울리멤버치과의원 · Naver Blog
안녕하세요. 리멤버 대표원장 박정기입니다. 깔끔하고 배열이 예쁜 치아는 많은 분의 희망 사항이 아닐까 싶은데요. 미소를 지을 때, 대화를 나눌 때는 반듯한 이가 보이면 긍정적이고 신뢰감 있는 이미지로 보일 수 있습니다. 저희 서울대입구역 치과 에는 기능적인 문제뿐만 아니라 심미 스트레스로 많이 찾아주십니다. 누...
게시일
2024년 8월 16일
원문 기준으로 확인된 발행일입니다.
카테고리
기본치료
원문 블로그 카테고리를 정리해 함께 표시합니다.
이미지 수
4
현재 아카이브에 연결된 이미지 수입니다.
아카이브 요약
서울리멤버치과의원의 네이버 블로그 원문을 보존한 아카이브 페이지입니다. 기본치료 카테고리의 서울대입구역 치과 글을 통해 병원의 한국어 정보 제공 방식과 진료 관련 안내 톤을 확인할 수 있습니다.
원문 검증
필요하면 원문 블로그와 병원 프로필로 바로 이동해 문맥을 다시 확인할 수 있습니다.
출처 아카이브 열기안녕하세요.
리멤버 대표원장 박정기입니다.
깔끔하고 배열이 예쁜 치아는
많은 분의 희망 사항이 아닐까 싶은데요.
미소를 지을 때, 대화를 나눌 때는 반듯한 이가
보이면 긍정적이고 신뢰감 있는
이미지로 보일 수 있습니다.
저희 서울대입구역 치과 에는
기능적인 문제뿐만 아니라
심미 스트레스로 많이 찾아주십니다.

누렇거나, 변색되어 고민을 안고 오시는데요.
그러나 이가 하얗다고 무조건 보기 좋은 것은 아닙니다.
사실 우리 치아를 자세하게 보면
약간 누런빛을 띠고 있습니다.
그 때문에 앞니가 흰색이 나타나게 되면
오히려 부자연스럽고
얼룩진 듯한 느낌을 주게 될 수 있는 것입니다.
오늘 증례 보면서 어떤 심미치료가 있는지
같이 알아보겠습니다.
초진
"앞니 쪽에 얼룩이 진듯한 흰색점이 있어요."
위와 같은 고민으로
서울대입구역 치과 에 내원하셨습니다.
사진 먼저 보겠습니다.

표시해 둔 곳을 보면
희끗희끗한곳을 관찰 할 수 있습니다.
이러한 증상을 반점치라고 하는데요.
이때는 앞서 말씀드린 것처럼
심미성이 떨어질 수 있습니다.
또한 구강 질환이 나타나고 있는
상태일 수 있어 주의가 필요합니다.
영양소 불균형, 과도한 불소 사용,
초기 충치 등 다양한 원인에 의해
나타날 수 있기 때문에 증세가
발견된다면 방치하지 마시고
서울대입구역 치과 에서
정밀검진을 받아 보시는 것이 좋습니다.
치료 계획 및 과정
위와 같은 반점치는
레진치료로 개선을 해드리기로 했습니다.
서울대입구역 치과 에서는
환자 각자에게 맞는 필요한 치료만 권해드리고 있고
모든 과정은 환자 동의하에 진행하고 있습니다.
레진 치료의 장점은
당일에 회복 결과를 얻어 볼 수 있는 만큼
요구되는 시간이 짧은 시술입니다.
이러한 이유로 간단한 진료라고
생각하시는 분들도 계실 것 같은데요.
육안으로 보이는 부위에 적용하게 되는 만큼
자연스럽게 이행되어야 하고 꼼꼼한 과정이
이루어지지 않게 되면
안 좋은 결과로 이어지게 될 수 있습니다.
서울대입구역 치과 에서는
많은 노하우와 경험으로 신속한 치료를 도와드리지만
결코 간단하지만은 않는 과정이라고
말씀드릴 수 있을 것 같습니다.
레진 치료는
원래 있던 치아 색으로 돌아갈 수 있다는 게
제일 좋은 점입니다.
이렇게 신속하게 마무리하였는데요.

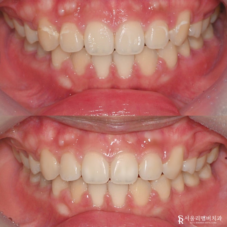
위(전), 아래(후)
전후로 비교해 보면
'반점치'들이 말끔하게 없어져
자연스러운 모습을 볼 수 있습니다.
서울대입구역 치과 에서는 본래 갖고
있던 치아의 색조와 형태를 재현하여
치료를 마쳤습니다.
심미면에서도 위화감 없이
주변과 조화롭게 잘 이루어졌습니다.
일상생활에서 불편함을 느끼셨을 환자분,
이제 활짝 웃어보세요 :)
부디 청결한 관리와 정기검진으로
오래 유지하기를 바랍니다.
오늘 소개해 드린 내용이 도움이 도셨으면 좋겠습니다.
언제든 문의할 내용은 연락 및 내원 부탁드립니다.
긴 글 읽어주셔서 감사합니다.
서울대입구역 치과 리멤버였습니다.
