아카이브 요약
이 페이지의 역할
서울리멤버치과의원의 네이버 블로그 원문을 보존한 아카이브 페이지입니다. 임플란트 카테고리의 상도동 치과 다수의 충치, 임플란트와 신경치료 한 사례 (치경부 치석 관리의 중요성) 글을 통해 병원의 한국어 정보 제공 방식과 진료 관련 안내 톤을 확인할 수 있습니다.
원문 검증
필요하면 원문 블로그와 병원 프로필로 바로 이동해 문맥을 다시 확인할 수 있습니다.
출처 아카이브 열기아카이브된 블로그 글
서울리멤버치과의원 · Naver Blog
안녕하십니까, 상도동 치과 박정기 원장입니다. 오늘은 치석 관리가 제대로 되지 않아 치경부 우식이 발생한 환자 사례를 소개하려 합니다. 이의 목부분 즉, 치경부의 우식은 이와 치은 사이에서 진행되는데, 이곳엔 충치가 생기기 쉽습니다. 음식물이 자주 쌓이고 양치질을 주의 깊게 하지 않는다면 잘 닿지 않는 곳이기 때문인데...
게시일
2024년 9월 4일
원문 기준으로 확인된 발행일입니다.
카테고리
임플란트
원문 블로그 카테고리를 정리해 함께 표시합니다.
이미지 수
6
현재 아카이브에 연결된 이미지 수입니다.
아카이브 요약
서울리멤버치과의원의 네이버 블로그 원문을 보존한 아카이브 페이지입니다. 임플란트 카테고리의 상도동 치과 다수의 충치, 임플란트와 신경치료 한 사례 (치경부 치석 관리의 중요성) 글을 통해 병원의 한국어 정보 제공 방식과 진료 관련 안내 톤을 확인할 수 있습니다.
원문 검증
필요하면 원문 블로그와 병원 프로필로 바로 이동해 문맥을 다시 확인할 수 있습니다.
출처 아카이브 열기안녕하십니까,
상도동 치과
박정기 원장입니다.
오늘은 치석 관리가 제대로
되지 않아 치경부 우식이 발생한
환자 사례를 소개하려 합니다.
이의 목부분 즉, 치경부의 우식은
이와 치은 사이에서 진행되는데,
이곳엔 충치가 생기기 쉽습니다.
음식물이 자주 쌓이고
양치질을 주의 깊게
하지 않는다면 잘 닿지
않는 곳이기 때문인데요,
초기에는 거의 통증이 없다가
점차 범위가 커지면
그 결과로 이가 쉽게 파절되거나
신경까지 번질 수 있습니다.
음식을 분쇄하는 면(교합면)에서
생기게 되면
레진-인레이-크라운-임플란트
등 단계별 진행이 가능한 반면,
이 환자처럼 치경부에 생긴다면
바로 근관치료 후 크라운 또는
임플란트로 갈 가능성이 큰데요,
그 이유는 치 경부 쪽은
신경과 가깝기 때문입니다.
심한 경우에는 근관 제거를 하더라도
이미 치경부에서
파손이 크기 때문에
이가 파절될 가능성이 큽니다.
또, 겉으로 보여지는 것이 없어
우식증을 의심 못할 수 있습니다.
진단
그렇기 때문에 상도동 치과 는
여러분께 정기 검진 꾸준히 받으며
자신의 구강 환경을
체크하는 것을 당부드리며
환자분의 구강 검진 사진을
보여드리겠습니다.

겉으로 보기에 치석이 있는 것
말고는 별다른 문제는 없는 것처럼 보이는데요,
엑스레이 사진을 보면 많이 다릅니다.

초록색 표시 : 충치 감염된 부분
전반적으로 충치가 많이 번져있는
심각한 상태였습니다.

26번 치아는 잇몸 퇴축이
이루어져 뿌리가 나뉘는
분지구가 밖으로 드러나
그곳에 치석이 쌓여
우식으로 진행되어 있었고
이를 제외한 나머지 대부분의
우식은 치 경부 쪽에서
이루어져서 꽤 난도 있는
과정이 예상됩니다.
계획
상도동 치과 에서는
자연치 보존을 중요하게
여기고 있기 때문에
살릴 수 있는 이는
가능한 살려드리는 것을
목표로 합니다.
대학병원급 전문 디지털
장비를 갖춘 상도동 치과 는
정밀하고 편안한 진료를 위해
개인에게 맞춤 진단을 하여
다음과 같이
계획을 말씀드렸는데요,
총 치아 7개의 근관치료 및
크라운 수복으로 자연치 살려내고
우식이 심하게 진행된
치아 5개는 발치 및 임플란트로
계획함에 동의를 얻은 후
진료를 시작했습니다.
과정
이 많은 이들을
치료하려면 환자에게
드는 부담이 정말 큰데요,
상도동 치과 에서는
수면 진료를 통해
아프지 않고 편하게
보실 수 있게 해드립니다.
👉"수면 진료"👈 링크 클릭하셔서
자세한 내용 참고 바랍니다!
많은 충치들을 조심히 없애고
근관치료가 필요한 치아는
진행 후 크라운 수복을 해드렸습니다.
동시에 상도동 치과 는
네비개이션 임플란트로
꼼꼼한 식립 계획 수립 후
오차와 부작용을 줄이는
방법으로 시술하여
최종 크라운 수복해 드렸습니다.

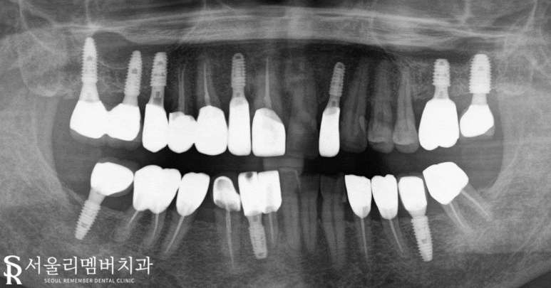
치료 종료 후 사진인데요,
꽤 많은 치료를 받으시느라
수고하신 게 보이네요.

엑스레이에서도
네비개이션 임플란트로 계획된 대로
올바른 위치에 잘 식립이 된 것이
확인되네요 :)
마치며
환자께서도 새로운 치아
되찾았다면서 감사하다며
귀가하셨습니다.😊
오늘 준비한 내용은
초기에 발견했다면
충분히 빠른 조치로
해결할 수 있는 사례였는데요,
꾸준한 구강 환경 관찰과
스케일링은 이 같은 일을
예방할 수 있습니다!
꼭 정기검진받아
제때 진료받으시길 바라며
글 마치겠습니다.
긴 글 읽어주셔서 감사합니다.
상도동 리멤버 치과
박정기 원장이었습니다.

치료기간: 2024.01.05~2024.05.06