아카이브 요약
이 페이지의 역할
서울리멤버치과의원의 네이버 블로그 원문을 보존한 아카이브 페이지입니다. 신경치료 카테고리의 심하게 부러진 앞니의 해결 방안은? 상도동 치과 신경치료 과정 통해 알 수 있습니다. 글을 통해 병원의 한국어 정보 제공 방식과 진료 관련 안내 톤을 확인할 수 있습니다.
원문 검증
필요하면 원문 블로그와 병원 프로필로 바로 이동해 문맥을 다시 확인할 수 있습니다.
출처 아카이브 열기아카이브된 블로그 글
서울리멤버치과의원 · Naver Blog
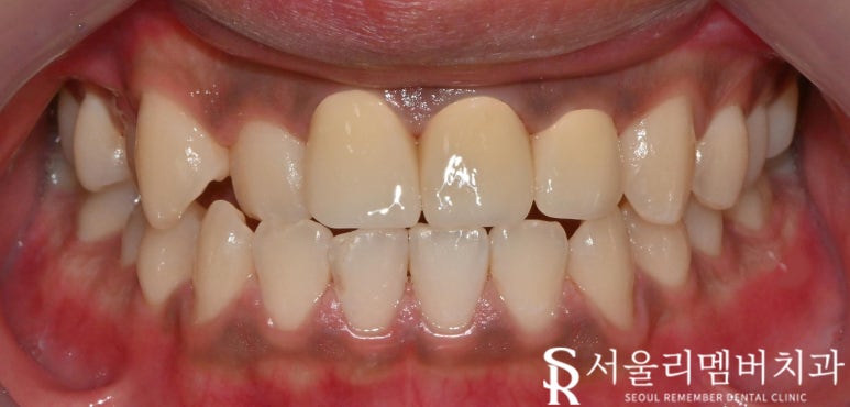
안녕하세요! 상도동 치과 서울리멤버 박정기 원장입니다. 얼마 전, 상도동 치과 를 찾아준 환자는 “넘어지면서 이가 깨졌어요...” 라며 눈물을 머금은 채 말씀하셨습니다. 바로 엑스레이 촬영 후 입안을 살펴보니, 위 앞니(11번)가 심하게 깨져 있었죠. 앞니는 외관만 중요한 것이 아니라 음식 섭취와 발음에도 큰 영향을...
게시일
2024년 12월 4일
원문 기준으로 확인된 발행일입니다.
카테고리
신경치료
원문 블로그 카테고리를 정리해 함께 표시합니다.
이미지 수
4
현재 아카이브에 연결된 이미지 수입니다.
아카이브 요약
서울리멤버치과의원의 네이버 블로그 원문을 보존한 아카이브 페이지입니다. 신경치료 카테고리의 심하게 부러진 앞니의 해결 방안은? 상도동 치과 신경치료 과정 통해 알 수 있습니다. 글을 통해 병원의 한국어 정보 제공 방식과 진료 관련 안내 톤을 확인할 수 있습니다.
원문 검증
필요하면 원문 블로그와 병원 프로필로 바로 이동해 문맥을 다시 확인할 수 있습니다.
출처 아카이브 열기안녕하세요! 상도동 치과
서울리멤버 박정기 원장입니다.
얼마 전, 상도동 치과 를 찾아준 환자는
“넘어지면서 이가 깨졌어요...”
라며 눈물을 머금은 채 말씀하셨습니다.
바로 엑스레이 촬영 후 입안을 살펴보니,
위 앞니(11번)가 심하게 깨져 있었죠.
앞니는 외관만 중요한 것이 아니라
음식 섭취와 발음에도 큰 영향을 주는 부위라,
이곳이 잘못되면 불안을 쉽게 느낄 수 있죠.
상도동 치과 에서는 이런 경우
깨진 범위를 먼저 정확히 확인한 후
알맞는 개선 계획을 세웁니다.
단순한 깨짐이라면 레진 등으로 복구할 수 있으나,
광범위한 경우 신경치료와 크라운 수복이 필요합니다.

초진 결과, 환자의 11번 앞의 이는
광범위한 파절로 인하여 신경치료가
시행될 가능성이 높았습니다.
그런데 추가로 #11 옆에 있는
21번과 22번에서도 치수에 깨짐이 보였고,
개선하지 않을 경우 추가 문제가 우려됐죠.
진료 방향은 명확했습니다.
11번의 신경치료를 우선으로 진행 후
추가로 21번과 22번의
문제도 함께 해결해야 됐습니다.
신경치료는 근관에 감염된 치수와 조직을 없애고,
깨끗하게 소독한 뒤 충전재로 밀봉하는 과정입니다.
상도동 치과 에서는 이 과정을 통해
자연치를 오래 보존하는 것에 중점을 두고 있죠.
진행 과정은 다음과 같습니다.
1️⃣ 감염된 치수 제거
먼저 마취를 하고 치아를 열어
근관의 감염된 치수와 조직을 청소합니다.
2️⃣ 근관 소독
감염 부위를 깨끗하게 세척하고
소독하여 염증이 재발하지 않도록 합니다.
3️⃣ 충전
마지막으로 근관을 알맞는 재료로 채워 밀봉하여
치아의 구조를 안정시킵니다.
이 과정을 통해 자연치를 보존하며
추가 문제를 예방할 수 있죠.
그 후에는 외형 복구를 위한 추가 진료가 이어졌습니다.
앞니는 웃을 때 먼저 눈에 띄는 부위이기 때문에
보철의 색과 모양이 중요합니다.
신경치료 후 선택한 PFZ 크라운은
지르코니아의 강도와 포세린의
자연스러운 색 표현을 동시에 갖춘 소재로,
인접치와 조화롭게 어우러질 수 있습니다.

상도동 치과 에서 환자와 함께 색 견본을 보며
자연스러운 색을 선택한 덕분에
결과에 관해 만족도가 높았는데요,
완성된 크라운은 인접치와 자연스럽게 어우러져
환자께서 “정말 티가 안 나요!”라며 기뻐하셨습니다.
앞니에 문제가 생기면
기능에도 큰 영향을 줄 수 있습니다.
꼼꼼한 신경치료와
정교한 크라운 제작으로
자연치와 가까운 결과를 만드는 것이
중요합니다.
진료 후에도 보철이 더 오래 유지되도록
정기검진과 관리는 필수죠!
또한 강한 충격을 피하고,
딱딱한 음식을 조심히 섭취하며,
꾸준히 치과를 찾는 것을 권장 드려요.
혹시 이가 깨졌다면,
고민 말고 바로 오시는 것이 좋습니다.
오늘도 긴 글 읽어주셔서 감사합니다.
상도동 치과 서울리멤버
박정기 원장이었습니다.


치료기간 : 2024.11.01 ~ 2024. 11.21