아카이브 요약
이 페이지의 역할
서울리멤버치과의원의 네이버 블로그 원문을 보존한 아카이브 페이지입니다. 임플란트 카테고리의 보라매 치과 삐뚤어진 교합 불량 앞니, 임플란트로 가지런하게 만들어드린 사례 글을 통해 병원의 한국어 정보 제공 방식과 진료 관련 안내 톤을 확인할 수 있습니다.
원문 검증
필요하면 원문 블로그와 병원 프로필로 바로 이동해 문맥을 다시 확인할 수 있습니다.
출처 아카이브 열기아카이브된 블로그 글
서울리멤버치과의원 · Naver Blog
안녕하십니까, 보라매 치과 의사 박정기입니다. 오늘은 전후 사진을 먼저 보고 내용을 설명드리겠습니다. 이전에 삐뚤었던 앞니가 고르게 바뀐 것이 보이시나요? 흔히 치열을 가지런히 하기 위한 방안으로 치아교정만 생각하실 수 있는데, 이렇게 임플란트를 활용한 보철로도 해결이 가능합니다. 지금부터 딱 1분만 집중해...
게시일
2024년 12월 26일
원문 기준으로 확인된 발행일입니다.
카테고리
임플란트
원문 블로그 카테고리를 정리해 함께 표시합니다.
이미지 수
8
현재 아카이브에 연결된 이미지 수입니다.
아카이브 요약
서울리멤버치과의원의 네이버 블로그 원문을 보존한 아카이브 페이지입니다. 임플란트 카테고리의 보라매 치과 삐뚤어진 교합 불량 앞니, 임플란트로 가지런하게 만들어드린 사례 글을 통해 병원의 한국어 정보 제공 방식과 진료 관련 안내 톤을 확인할 수 있습니다.
원문 검증
필요하면 원문 블로그와 병원 프로필로 바로 이동해 문맥을 다시 확인할 수 있습니다.
출처 아카이브 열기안녕하십니까,
보라매 치과 의사 박정기입니다.
오늘은 전후 사진을 먼저 보고
내용을 설명드리겠습니다.

이전에 삐뚤었던 앞니가
고르게 바뀐 것이 보이시나요?
흔히 치열을 가지런히 하기 위한 방안으로
치아교정만 생각하실 수 있는데,
이렇게 임플란트를 활용한 보철로도
해결이 가능합니다.
지금부터 딱 1분만
집중해 주시기 바랍니다.
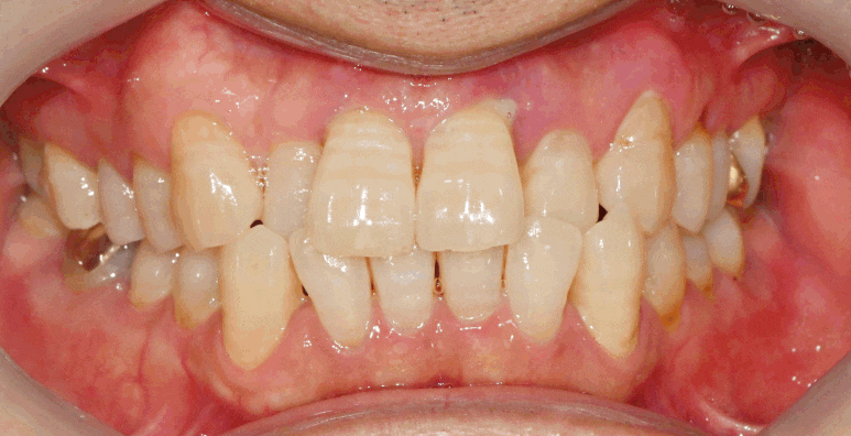
"앞니가 틀어져서 보기 안 예뻐요."
위와 같은 말씀을 하며
보라매 치과 에 찾아오셨습니다.

우선 윗니가 아랫니의 1/3을 덮어야
바람직한 교합관계인데,
이 케이스에서는 양측 윗니의 두 번째인
상악 측절치가 안으로 들어가
아래 앞니 두 번째와 반대로 자리하고 있습니다.
그렇기 때문에
위아래 치열이 틀어져
심미성도 떨어지고
평소 치태나 구강관리에도
어려움이 있으셨을듯합니다.

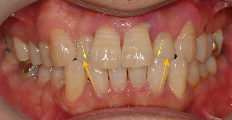
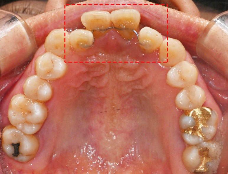
교합면에서 살펴보면
안쪽에 철사 같은 게 덧대어있죠?
이 환자는 위아래 반대교합되고 있는 치아의 이동이
시간이 지날수록 점차 심화되는 것 같아
우선 저렇게 유지 장치를 부착해두었습니다.
그렇게 하면 조금이라도
이가 더 많이 이동해버리는 것을
막을 수 있으니까요.

파노라마를 살펴보면
유지 장치를 부착해둔 이들이 보입니다.
그런데 뿌리 끝으로 염증 소견도 있고
그리 건강해 보이지만은 않습니다.
아마도 위 아랫니가 지속적으로
닿으면서 자극이 되고,
계속된 스트레스와 함께 잇몸뼈에도
영향을 준 것 같습니다.
어떻게 해야 될까요?
보라매 치과 에서는
이렇게 치아 뿌리 상태가 양호하지 않은 채로
무리한 교정을 진행하지 않습니다.
자칫하면 치아의 동요도가 커질 수 있기에
여러 조건을 세밀하게 따져가며 해야 됩니다.
그래서 이 환자도
치아 교정 대신
임플란트와 브릿지 보철을 통해
이 문제를 해결하기로 했습니다.
이것으로도 충분히
가능할 것이라 판단했기 때문이죠.
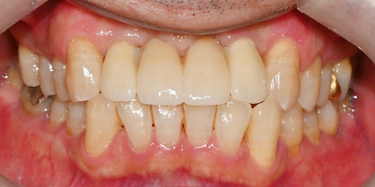
보라매 치과 에서
보철 수복까지
마무리한 모습을 보겠습니다.

환자께서 비용 부담이 있으셨기에
임플란트는 2개만 심고
4개의 크라운을 연결한
브릿지로 제작하였으며,

윗니가 아랫니를 덮을 수 있는 형태로
수복해 드렸습니다.
이전과 달리 배열이 고르게 바뀌면서
환자 스스로 양치하시기에도
훨씬 편해지셨을 것 같습니다.^^

또한 치조골의 질과 양이 좋은 곳에
지지 역할을 할 픽스처를
단단하게 잘 심어드렸기에
안정감도 더 크실 거라 생각합니다.
또한 사진에는 없으나
이렇게 최종 보철을 올리기까지
그 사이에 앞니는 임시치아를 만들어드렸기에
생활을 하시는데도 지장이 없게 해드렸답니다.
보라매 치과 에서는
환자가 해결하고 싶은 문제가 무엇인지 파악하고,
그에 따른 적절한 치료법을 고민합니다.
원인이 무엇인지,
치조골과 자연치의 상태는 어떤지,
비용이나 신체적 고려 사항은 없으신지
이외에도 여러 요소를 종합하여
플랜을 세우고 있으니
만약 구강 내 개선하고 싶은 점이나
불편한 곳이 있다면
편히 상담받아보시기 바랍니다.
오늘도 읽어주셔서 감사합니다.
보라매 치과 의 치과의사 박정기였습니다.

치료 기간 : 2024.06.18 ~ 2024.10.12