아카이브 요약
이 페이지의 역할
서울리멤버치과의원의 네이버 블로그 원문을 보존한 아카이브 페이지입니다. 치아교정 카테고리의 선천적 영구치 결손으로 남아있는 만기 잔존 유치, 서울대입구역 교정 치과 에서 투명 인비절라인 & 임플란트 케이스 글을 통해 병원의 한국어 정보 제공 방식과 진료 관련 안내 톤을 확인할 수 있습니다.
원문 검증
필요하면 원문 블로그와 병원 프로필로 바로 이동해 문맥을 다시 확인할 수 있습니다.
출처 아카이브 열기아카이브된 블로그 글
서울리멤버치과의원 · Naver Blog
안녕하세요, 서울대입구역 교정 치과 박정기입니다. 유치가 빠져야 될 시기에 탈락하지 않고 그대로 남아있는 것을 '만기 잔존'이라 부릅니다. 보통은 6~7세부터 빠지고 12~13세에 영구치로 교환되어야 되는데 선천적으로 영구치가 매복되어 있거나 아예 없는 경우 유치가 그대로 남아있게 되죠. 오늘은 서울대입구역...
게시일
2024년 12월 30일
원문 기준으로 확인된 발행일입니다.
카테고리
치아교정
원문 블로그 카테고리를 정리해 함께 표시합니다.
이미지 수
12
현재 아카이브에 연결된 이미지 수입니다.
아카이브 요약
서울리멤버치과의원의 네이버 블로그 원문을 보존한 아카이브 페이지입니다. 치아교정 카테고리의 선천적 영구치 결손으로 남아있는 만기 잔존 유치, 서울대입구역 교정 치과 에서 투명 인비절라인 & 임플란트 케이스 글을 통해 병원의 한국어 정보 제공 방식과 진료 관련 안내 톤을 확인할 수 있습니다.
원문 검증
필요하면 원문 블로그와 병원 프로필로 바로 이동해 문맥을 다시 확인할 수 있습니다.
출처 아카이브 열기안녕하세요,
서울대입구역 교정 치과
박정기입니다.
유치가 빠져야 될 시기에 탈락하지 않고
그대로 남아있는 것을
'만기 잔존'이라 부릅니다.
보통은 6~7세부터 빠지고
12~13세에 영구치로 교환되어야 되는데
선천적으로
영구치가 매복되어 있거나
아예 없는 경우
유치가 그대로 남아있게 되죠.
오늘은 서울대입구역 교정 치과 에서
이러한 케이스를 어떻게 치료하게 되는지
알려드리도록 하겠습니다.

서울대입구역 교정 치과 를
처음 찾아오셨을 당시
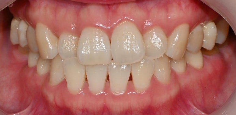
구강을 살펴보면
윗니들이 삐뚤빼뚤한 것이 관찰됩니다.

우리는 이것을 총생(crowding)이라
부르며,
두 개의 앞니도 정중선이 맞지 않고
한쪽으로 쏠려있어 보이네요.
또한 사진에서는 잘 보이지 않으나
맨 뒤에는 사랑니도 남아있었습니다.

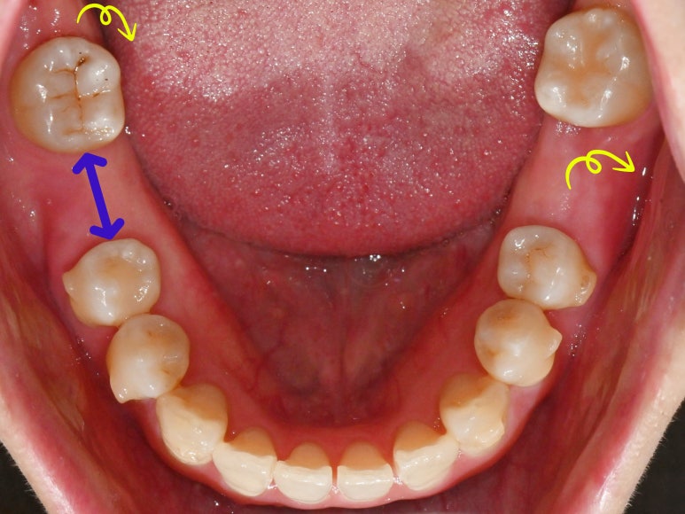
하악도 마찬가지로
사랑니가 존재하고,
여기서 주목해야 될 것은 바로
만기 잔존해 있는 치아입니다.
왼쪽 아래 부러진 채로 남아있는
유치가 있으며
오른쪽은 언제 빠졌는지는 모르나
이가 빠진 채로 시간이 지나면서
그 뒤 어금니가 앞으로 기울어져
공간이 좁아져있습니다.
엑스레이를 보면서
한 번 더 정리해 보자면
이 환자가 해결해야 될 문제는
크게 4가지 정도가 있습니다.

삐뚤빼뚤한 앞니 총생
왼쪽 아래 잔존 유치
오른쪽 아래 어금니 기울어짐으로 공간 부족
충치가 생긴 사랑니
서울대입구역 교정 치과 에서
이러한 문제를 해결하기 위하여
세운 계획은 아래와 같습니다.
사랑니와 잔존 유치는 뽑고
인비절라인을 이용하여
부족한 공간을 확보하면서
동시에 치열을 개선합니다.
그러고 나서 비어있는
어금니 공간에는
임플란트를 심어
저작 기능을 회복해 주는 방법이죠.
물론 여러 방법이
복합적으로 진행되어야 되기에
쉬운 일은 아니지만
서울대입구역 교정 치과 에서는
임플란트와 발치, 그 외에도
여러 진료 과목을 모두 함께 다룰 수 있기에
충분히 가능합니다.

투명 인비절라인을 착용하면서
치아를 이동하기 위해서
치면에 어태치먼트를 부착합니다.
어태치먼트는 사이즈도 작고
이렇게 자연치와 유사한 색을 하고 있어
심미성도 좋답니다.

그리고 말씀드린 것처럼
부러진 채로 남아있던 이와 사랑니를 모두 뽑고,
임플란트 식립을 위한 공간을
확보하기 위하여 치아를 조금씩 이동시킵니다.

이 과정에서
삐뚤빼뚤한 앞니 총생도
자연스럽게 개선할 수 있습니다.

인비절라인을 이용하여
어금니에 임플란트를 심을 공간이
확보되었다면
그 자리에 픽스처를 심습니다.
이때도 물론 하치조 신경을 고려하여
안전한 식립을 해드렸습니다.

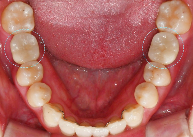
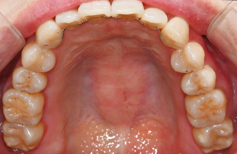
서울대입구역 교정 치과 에서
모든 진료가 끝나고 난 뒤
구내 모습을 보면
본래의 색과 비슷한 크라운을 올려드렸으며
저작 기능을 잘 수행할 수 있도록
적절한 사이즈의 보철을 제작하여
수복해 드렸습니다.

윗니도 마찬가지로
총생을 개선함과 동시에
본래의 자리로 돌아가지 않도록
안쪽에 유지 장치를 부착해두었습니다.
안쪽 면에 단단히 붙어있어
양치 관리를 잘 해주시면 되고,
정기검진을 통해
장치가 떨어지지 않았는지
확인해 주시면 된답니다.^^

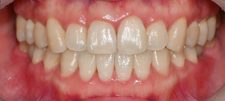
오랜 시간 남아있던
잔존 유치와 사랑니를 뽑으면서
임플란트를 통해
저작 기능을 개선하고,
인비절라인을 이용하여
삐뚤었던 앞니까지
가지런하게 만들었기에
환자께서 만족도가 매우 높았던
케이스였습니다.
앞으로도 서울대입구역 교정 치과 에서는
구강 내 일어난 여러 문제를
동시에 빠르게 해결해 드릴 수 있도록
노력하겠습니다.
읽어주셔서 감사합니다.
2024 올 한 해 모두들 수고하셨습니다.

치료 기간 : 2023.03.18 ~ 2024.09.10