아카이브 요약
이 페이지의 역할
서울리멤버치과의원의 네이버 블로그 원문을 보존한 아카이브 페이지입니다. 충치치료 카테고리의 곳곳에 많은 충치, 신림역 치과 에서 앞니 심미 레진 치료와 어금니 지르코니아 크라운 치료 글을 통해 병원의 한국어 정보 제공 방식과 진료 관련 안내 톤을 확인할 수 있습니다.
원문 검증
필요하면 원문 블로그와 병원 프로필로 바로 이동해 문맥을 다시 확인할 수 있습니다.
출처 아카이브 열기아카이브된 블로그 글
서울리멤버치과의원 · Naver Blog
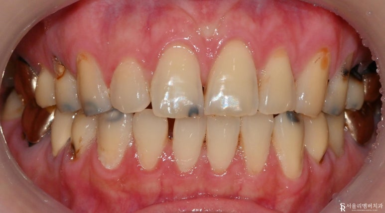
안녕하세요 신림역 치과 원장 박정기입니다. 일상생활에서 치아란 저작, 발음, 심미적으로 없어선 안될 소중한 우리 몸의 구성입니다. 치아 관리가 어려운 부위나 홈이 생긴 치아는 자연스럽게 충치가 발생합니다. 구내사진 10. 16 10. 16 곳곳에 심한 충치들을 확인할 수 있습니다. 인레이로 수복치료되어 있던 치...
게시일
2025년 1월 18일
원문 기준으로 확인된 발행일입니다.
카테고리
충치치료
원문 블로그 카테고리를 정리해 함께 표시합니다.
이미지 수
6
현재 아카이브에 연결된 이미지 수입니다.
아카이브 요약
서울리멤버치과의원의 네이버 블로그 원문을 보존한 아카이브 페이지입니다. 충치치료 카테고리의 곳곳에 많은 충치, 신림역 치과 에서 앞니 심미 레진 치료와 어금니 지르코니아 크라운 치료 글을 통해 병원의 한국어 정보 제공 방식과 진료 관련 안내 톤을 확인할 수 있습니다.
원문 검증
필요하면 원문 블로그와 병원 프로필로 바로 이동해 문맥을 다시 확인할 수 있습니다.
출처 아카이브 열기안녕하세요 신림역 치과 원장 박정기입니다.
일상생활에서 치아란
저작, 발음, 심미적으로
없어선 안될 소중한
우리 몸의 구성입니다.
치아 관리가 어려운 부위나
홈이 생긴 치아는
자연스럽게 충치가 발생합니다.
구내사진


곳곳에 심한 충치들을 확인할 수 있습니다.
인레이로 수복치료되어 있던
치아들도 통증이 있다고 하셔서
보철 제거 후 확인합니다.
모두 상태가 악화되어 크라운으로
재치료를 하는 것이 좋겠습니다.
충치 부위를 삭제하고 치료 들어가 보겠습니다.
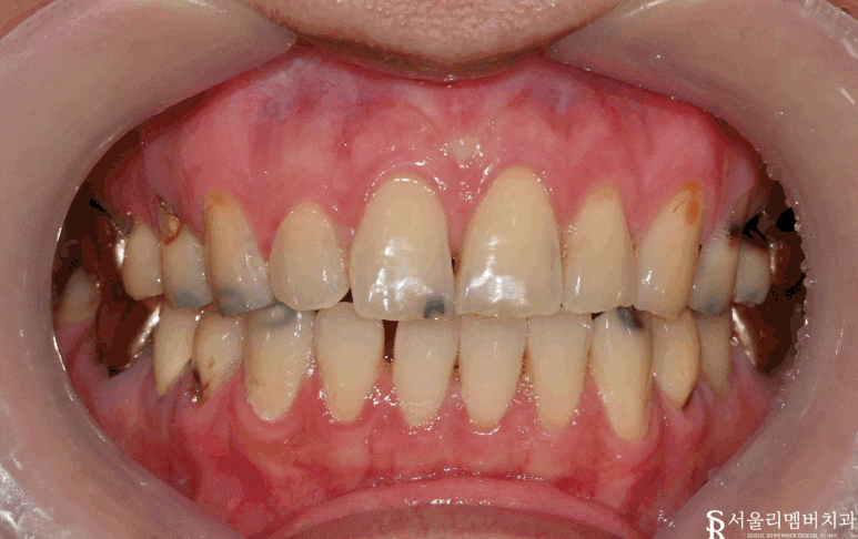
앞니 심미레진과
어금니 지르코니아 크라운
심미 레진 치료란
구강 안에서 직접
레진을 올리고 다듬으며
외형을 회복하는 치료방법입니다.

이전과 비교해 보면
앞니 충치들을 모두 제거하고 깔끔하게
심미 레진 치료된 것이 보입니다.

어금니 쪽도 새로 만들어진
지크로니아 크라운으로
심미적으로 조화롭게
치료가 끝납니다.
앞니 심미 레진 치료와
어금니 지르코니아 크라운치료 모두
마무리 됩니다.
검게 보이던 충치들이 싹 사라졌어요.
충치 제거는 곧 자연치의 삭제...
충치의 양이 많을수록,
깊이와 크기가 클수록
치아 삭제량도 많아집니다.
그렇기 때문에
큰 스트레스를 주는 치료가
결정될 확률도 높아집니다.
그래서 충치 발생을 줄이고
더 빠른 시기에 발견하려면
꾸준한 검진과 관리가 자연치아를
더 오래 건강히 사용할 수 있는
제일 좋은 예방이자 치료입니다.
신림역 치과 모든 치료를 마치며

치료전 진단 사진과
비교하면 너무 깔끔해 보이는
치료 후 사진입니다.
6개월마다 검진하시는 것을
권장드립니다.
긴 글 읽어주셔서 감사합니다.
신림역 치과 였습니다.

치료기간 : 2024. 10. 16 ~2024. 11. 24