아카이브 요약
이 페이지의 역할
서울리멤버치과의원의 네이버 블로그 원문을 보존한 아카이브 페이지입니다. 임플란트 카테고리의 낙성대 치과 다수 상실된 치아 가이드 임플란트 식립으로 정확하고 튼튼한 치료 후기 글을 통해 병원의 한국어 정보 제공 방식과 진료 관련 안내 톤을 확인할 수 있습니다.
원문 검증
필요하면 원문 블로그와 병원 프로필로 바로 이동해 문맥을 다시 확인할 수 있습니다.
출처 아카이브 열기아카이브된 블로그 글
서울리멤버치과의원 · Naver Blog
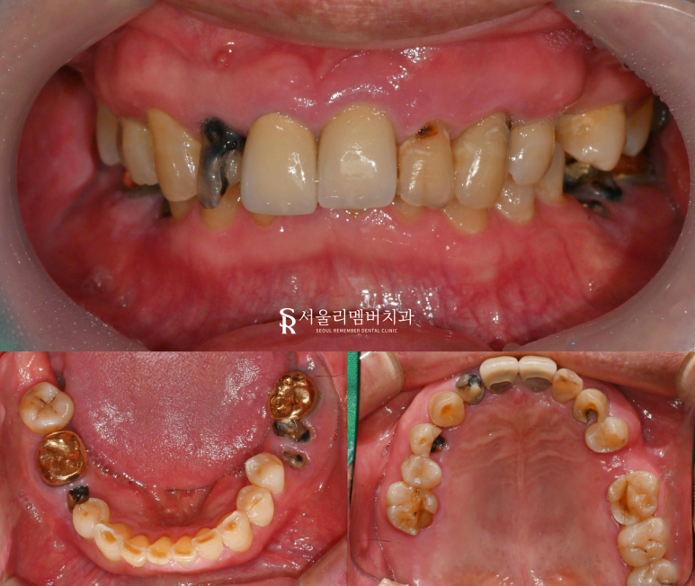
안녕하세요 낙성대 치과 박정기 원장입니다. 구내사진 06. 15 낙성대 치과 에서 구강 내 모습을 보니 생각보다 상실된 치아가 많고, 이가 빠지고 난 뒤 위생관리가 잘되지 않아 염증도 많이 생겨있습니다. 비어있는 공간이 꽤 크고 넓어서 음식을 먹는데도 불편감이 상당하고 어금니는 힘이 많이 부족해서 저작할...
게시일
2025년 2월 27일
원문 기준으로 확인된 발행일입니다.
카테고리
임플란트
원문 블로그 카테고리를 정리해 함께 표시합니다.
이미지 수
5
현재 아카이브에 연결된 이미지 수입니다.
아카이브 요약
서울리멤버치과의원의 네이버 블로그 원문을 보존한 아카이브 페이지입니다. 임플란트 카테고리의 낙성대 치과 다수 상실된 치아 가이드 임플란트 식립으로 정확하고 튼튼한 치료 후기 글을 통해 병원의 한국어 정보 제공 방식과 진료 관련 안내 톤을 확인할 수 있습니다.
원문 검증
필요하면 원문 블로그와 병원 프로필로 바로 이동해 문맥을 다시 확인할 수 있습니다.
출처 아카이브 열기안녕하세요
낙성대 치과 박정기 원장입니다.

낙성대 치과 에서 구강 내 모습을 보니
생각보다 상실된 치아가 많고,
이가 빠지고 난 뒤
위생관리가 잘되지 않아
염증도 많이 생겨있습니다.
비어있는 공간이 꽤 크고 넓어서
음식을 먹는데도 불편감이 상당하고
어금니는 힘이 많이 부족해서
저작할 능력도 없어 보입니다.
흔들리는 이도 많고
곳곳에 결손된 치아로 인해
치료 부위가 많아보입니다.

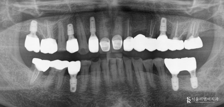
낙성대 치과 에서 파노라마 엑스레이를 보면
뿌리 염증뿐만 아니라
치조골까지 내려 앉아있는 모습을
확인할 수 있습니다.
전체적으로 치조골의 높이가
고르지 못하고
불규칙적으로 울퉁불퉁한 게 보이죠?
이는 자연치가 빠지고
오랜 시간 동안 그 자리가 채워지지 않아
치조골이 퇴축함과 동시에,
그나마 있던 치아들도
위생관리가 잘되지 않으니
잇몸이 내려앉기 때문에
일어난 현상입니다.
이렇게 치근을 잡고 있는
주변 조직들이 소실되면
당연히 치아는 흔들릴 수 밖에 없습니다.
임플란트 가이드는 육안으로 확인할 수 없는
골조직이나 신경의 위치 등을 디지털 진단 장비를
통해 세밀하게 검사하는 것입니다.
이를 바탕으로 나온 결과를
모의 시뮬레이션을 진행하므로
구강 상태에 적절한 식립 위치나
깊이, 각도, 넓이 등을 파악하여
오차 없는 수술이 가능합니다.
이와 같은 장점이 있어 지금처럼
뼈가 많이 없는 환자에게는
많은 이점을 가지고 있는 것입니다.
사전에 구강을 본뜬 자료를 토대로
필요한 모든 정보가 담긴
가이드를 미리 제작하여
실제 수술에 이용하는데요,
그렇게 되면 원했던 위치에
불필요한 절개 없이
정확하고 빠르게 시술이 가능합니다.

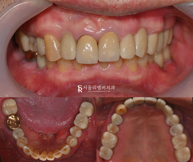
보철 수복
흔들리거나 치조골이 녹았던 이는
모두 발거하고,
인공치근을 심어 자연치를
대체해 준 모습입니다.
상부 보철을 지르코니아로 제작했기에
심미성이 매우 뛰어나고,
강도와 내구성도 강한
좋은 재료로 만듭니다.

마치면서
낙성대 치과 에서
오늘 설명해 드린 증례처럼
개인의 상황과 요구사항에 따라서
치료 방법은 달라질 수 있습니다.
긴 글 읽어주셔서 감사합니다.

치료기간 : 2024. 06. 15 ~ 2025. 01. 13