아카이브 요약
이 페이지의 역할
서울리멤버치과의원의 네이버 블로그 원문을 보존한 아카이브 페이지입니다. 기본치료 카테고리의 예쁜 미소를 되찾는 순간 낙성대 치과 전악 보철을 통한 치아 심미성 회복의 놀라운 변화 글을 통해 병원의 한국어 정보 제공 방식과 진료 관련 안내 톤을 확인할 수 있습니다.
원문 검증
필요하면 원문 블로그와 병원 프로필로 바로 이동해 문맥을 다시 확인할 수 있습니다.
출처 아카이브 열기아카이브된 블로그 글
서울리멤버치과의원 · Naver Blog
안녕하세요, 낙성대 치과 서울리멤버의 박정기 원장입니다. 치아는 단순히 음식을 먹는 역할이라 생각하실 수 있으나 사실 얼굴 전체의 균형과 조화를 이루는 중요한 요소입니다. 환한 미소는 외적으로도 긍정적인 영향을 줄 뿐만 아니라, 자신감과도 직결되기에 많은 사람들이 관심을 갖고 신경 쓸 수밖에 없습니다. 오늘 낙...
게시일
2025년 4월 11일
원문 기준으로 확인된 발행일입니다.
카테고리
기본치료
원문 블로그 카테고리를 정리해 함께 표시합니다.
이미지 수
5
현재 아카이브에 연결된 이미지 수입니다.
아카이브 요약
서울리멤버치과의원의 네이버 블로그 원문을 보존한 아카이브 페이지입니다. 기본치료 카테고리의 예쁜 미소를 되찾는 순간 낙성대 치과 전악 보철을 통한 치아 심미성 회복의 놀라운 변화 글을 통해 병원의 한국어 정보 제공 방식과 진료 관련 안내 톤을 확인할 수 있습니다.
원문 검증
필요하면 원문 블로그와 병원 프로필로 바로 이동해 문맥을 다시 확인할 수 있습니다.
출처 아카이브 열기안녕하세요,
낙성대 치과 서울리멤버의
박정기 원장입니다.
치아는 단순히 음식을 먹는 역할이라
생각하실 수 있으나
사실 얼굴 전체의 균형과 조화를 이루는
중요한 요소입니다.
환한 미소는 외적으로도
긍정적인 영향을 줄 뿐만 아니라,
자신감과도 직결되기에 많은 사람들이
관심을 갖고 신경 쓸 수밖에 없습니다.
오늘 낙성대 치과 에서는
전체 보철을 통해
웃을 때마다 신경 쓰이던 이들이
아름답게 변화하는 과정에 대해
설명해 드리려 합니다.
이해를 돕기 위해
사진을 함께 보도록 하겠습니다.
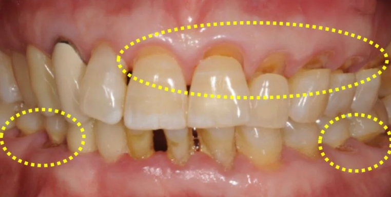
기존 수복재의 문제점

2024.06.17
이 케이스에서는 오래전 브릿지를 씌워두었으나
시간이 지나면서 여러 가지 문제가 나타났습니다.
먼저, 브릿지가 점점 누르스름한 색조로 변하면서
자연 치아와 차이가 커졌습니다.
본래 사람마다 조금씩 색이 다르지만,
생활 습관과 식습관에 따라
보철이 변색되면 주변과 조화가 깨지면서
자연스럽지 않은 느낌을 줄 수밖에 없습니다.
낙성대 치과 에서도
이러한 점을 고려하여
여러 검사를 하고 있습니다.
또한, 치아와 잇몸이 만나는 경계부(치경부)가
부정확하게 형성되어
마치 까만 라인이 생긴 것처럼
심미성이 떨어지고 있는데요,
치경부는 크라운과 잇몸이
연결되는 중요한 부위로,
이 부분이 부자연스러우면
아무리 좋은 재료를 사용해도
인공적인 느낌이 들게 됩니다.
특히, 경계부가 제대로 밀착되지 않으면
음식 찌꺼기나 치태가 쉽게 끼면서
잇몸 염증이 발생할 위험도 커지게 됩니다.
낙성대 치과 에서 추가적으로 관찰한 문제는
어금니 부분에서 심한 *치경부 마모증이
진행되고 있었다는 점이었습니다.
*치경부 마모증이란

예시
치아의 목 부분이 닳아 내려가는 현상으로,
계속 방치하면 지각과민(시린 증상)이 심해지고
더 나아가 치수(신경)가 드러나는
심각한 상태로 이어질 수도 있습니다.
이때는 단순히 불편하고 예쁘지 못하다는 것을 넘어
통증까지 동반될 수 있기 때문에
반드시 치료가 필요합니다.
전체 보철 수복을 통한 심미·기능적 회복

2024.09.02
낙성대 치과 에서 보기에
이 사례는 치아의 기능과 심미성을
동시에 회복하는 것을
치료의 목표로 삼는게 좋겠습니다.
우선, 기존의 변색된 보철을 제거하고
새로운 브릿지를 제작하는 과정에서
환자의 피부 톤과 어울릴 수 있을만한
자연스럽고 조화로운 색을
선택하는 것이 중요합니다.
그래야 어둡고 누리 끼끼 하던 느낌이 아닌
밝고 자연스러운 느낌을 되찾을 수 있습니다.
또한 치경부 라인의 정밀한 제작에
집중해야 되는데요,
환자의 잇몸 상태를 면밀히 분석한 후,
보철이 본래 내 이처럼
잇몸과 부드럽게 연결되도록 디자인해야 됩니다.
그래야 인공적인 느낌이 들지 않는
자연스러운 결과를 얻을 수 있습니다.
뿐만 아니라,
기존에 문제가 되었던 치경부 마모증도
적극적으로 개선하였는데요,
치경부 마모는 시간이 지날수록
악화될 가능성이 크기 때문에,
마모가 진행된 부위도 함께 덮어씌워
이를 보호할 수 있도록 하였습니다.
보철 치료의 중요성

2024.06.17 ~ 2024.09.02
낙성대 치과 에서 서론에 설명드렸듯이
치아는 단순히 음식을 먹기만 하지 않습니다.
우리의 외모, 인상과 자신감을 결정하는
중요한 역할을 하며
건강한 구강은 삶의 질을 높이는
필수 요소이기도 합니다!
만약 소중한 이가 손상되거나 변색될 경우
단순히 미용적인 고민으로 끝나는 것이 아니라
저작 기능에도 영향을 미치고,
더 나아가 구강 건강 전체에
부정적인 영향을 줄 수 있습니다.
그렇기에 이때는 전문가의 진단에 따라
미백으로 해결이 가능한지,
아니면 새롭게 크라운을 덮어씌워
전반적인 문제를 함께 해결해야 되는지
판단해야 됩니다.
적절한 치료는 심미적인 개선뿐만 아니라
구강 건강과 기능 회복에도 큰 도움이 됩니다.
단순히 이를 덮어씌운다 하여
걱정하지 마시고,
이것이 자연치를 오래 보존하고
지킬 수 있는 하나의 대안이 될 수 있다고
기억해 주시면 좋겠습니다.
오늘도 좋은 하루 보내시기 바랍니다.
낙성대 치과 서울리멤버의 박정기 원장이었습니다.

치료 기간 : 2024.06.17 ~ 2024.09.02