아카이브 요약
이 페이지의 역할
서울리멤버치과의원의 네이버 블로그 원문을 보존한 아카이브 페이지입니다. 임플란트 카테고리의 신대방 치과 앞니 충치와 약해진 치아 신경치료 크라운 및 부러진 측절치 발치 임플란트 글을 통해 병원의 한국어 정보 제공 방식과 진료 관련 안내 톤을 확인할 수 있습니다.
원문 검증
필요하면 원문 블로그와 병원 프로필로 바로 이동해 문맥을 다시 확인할 수 있습니다.
출처 아카이브 열기아카이브된 블로그 글
서울리멤버치과의원 · Naver Blog
신대방 치과 서울리멤버 박정기 원장입니다. 자연치아는 평생을 사용해야 되지만 시간이 흐르면서 필연적으로 그 강도와 건강함이 변할 수밖에 없습니다. 매일 음식을 찢고 갈아먹으면서 치아 표면의 법랑질은 조금씩 마모되기 마련이고, 구강 내 세균과 산성 환경으로 인하여 미세한 균열이나 부식이 진행되기도 합니다. 특...
게시일
2025년 10월 7일
원문 기준으로 확인된 발행일입니다.
카테고리
임플란트
원문 블로그 카테고리를 정리해 함께 표시합니다.
이미지 수
4
현재 아카이브에 연결된 이미지 수입니다.
아카이브 요약
서울리멤버치과의원의 네이버 블로그 원문을 보존한 아카이브 페이지입니다. 임플란트 카테고리의 신대방 치과 앞니 충치와 약해진 치아 신경치료 크라운 및 부러진 측절치 발치 임플란트 글을 통해 병원의 한국어 정보 제공 방식과 진료 관련 안내 톤을 확인할 수 있습니다.
원문 검증
필요하면 원문 블로그와 병원 프로필로 바로 이동해 문맥을 다시 확인할 수 있습니다.
출처 아카이브 열기신대방 치과 서울리멤버
박정기 원장입니다.
자연치아는 평생을 사용해야 되지만
시간이 흐르면서 필연적으로
그 강도와 건강함이 변할 수밖에 없습니다.
매일 음식을 찢고 갈아먹으면서
치아 표면의 법랑질은
조금씩 마모되기 마련이고,
구강 내 세균과 산성 환경으로 인하여
미세한 균열이나 부식이
진행되기도 합니다.
특히 법랑질 아래 상아질까지
손상이 진행되면
치아의 전체적인 구조적 강도가
급격히 약해지게 되는데,
이런 상태에서 충치가 내부 깊숙이 진행되면
겉으로는 멀쩡해 보여도 속은 무르고 약해져있어
작은 충격에도 쉽게 부러질 수 있습니다.
앞니는 심미적으로 중요할 뿐 아니라
음식을 자르고 발음을 하는 데에도
핵심적인 역할을 하기 때문에
문제가 생기면 일상생활에
상당한 불편함을 초래하게 됩니다.
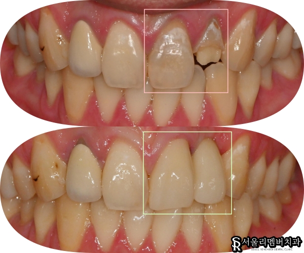
오늘 신대방 치과 에서 살펴볼 케이스는
상악 좌측 전치부 부위에서
복합적인 문제가 발생한 경우입니다.
21번 진단 및 계획

2025.03.27
먼저 중절치(21번)를 보면
정면에서 관찰했을 때
치면이 전반적으로 약해져 있는 상태였고,
안쪽 구개측에서 확인했을 때
상당한 크기의 충치가 진행되고 있었습니다.
또한 잇몸이 내려가면서
치아와 잇몸의 경계부인
치경부에 마모증이 동반되어
찬물이나 공기에 시린 증상을 호소하는
상태였습니다.
*치경부마모증은
가로로 세게 힘을 주는 칫솔질이나
과도한 교합력, 산성 음식 등 여러 요인이
복합적으로 작용하여 발생하는데,
치은이 퇴축되고 상아질이 드러나면서
지각과민을 유발하게 됩니다.
신대방 치과 에서 간단히 설명드리면
아주 작은 자극에도 이가 예민해진다는 뜻으로
실제로 나이가 들수록
치경부 마모증을 겪는 환자의 수는
상당히 많은 것으로 알려져 있습니다.
만약 해당 치아가 단순히
표면만 약해진 상태였다면
크라운으로 보호해 주는 것만으로도
충분했을 것입니다.
그러나 이 케이스는 내부에
깊은 충치가 존재했기 때문에
신경치료를 먼저 진행한 후
크라운을 씌워주는 것이
올바른 방법이 되겠습니다.
자연치 내부에 있는
충치로 감염된 조직을 제거하고
깨끗하게 소독한 뒤
생체친화적인 재료로 충전하는 것으로,
내 이를 보존하여 사용할 수 있는
마지막 방법이기도 합니다.
신대방 치과 에서는 충치가 있다는 것을 알면서도
무작정 덮어씌울 수 없으며
내 이를 조금 더 쓸 수 있다고 생각될 경우
보존적인 방법을 통해 수명을 늘려드리고 있습니다.
22번 진단 및 계획
그 옆의 측절치인 22번은
상황이 더 심각했습니다.
이가 부러진 상태였는데
파절된 양이 상당히 넓어서
남은 치질의 양이 얼마 없었습니다.
이런 경우 보철을 제작해서 씌운다 하더라도
내부의 지대치가
충분한 지지력을 제공하지 못하면
얼마 지나지 않아서
다시 부러질 가능성이 매우 높습니다.
재치료는 환자에게 시간과
경제적 부담을 가중시킬 뿐 아니라
스트레스도 상당하기 때문에,
신대방 치과 에서는 장기적인 예후를 고려한
플랜을 세우는 것이 중요하다 생각했습니다.
따라서 22번은 발치 후 임플란트로
대체하는 것이 더 합리적인
선택이라고 판단했는데요,
인공 치근(fixture)을 턱뼈에 식립하여
자연치아와 유사한 기능을 회복하는 방법이며,
잘 관리하면 반영구로 사용할 수 있다는
장점이 있습니다.
최근에는 임플란트가 많이 대중화되어
높은 기술력과 안전성을 가지고 있는
믿을만한 치료법 중 하나로 자리 잡았죠.
종결
신대방 치과 에서
전치부 진료가 마무리된 모습을
보여드리겠습니다.

2025.07.28
두 개의 앞니가 모두 자연스럽게 회복되어
인접한 주변 이들과 조화롭게 어울립니다.
특히 지르코니아 소재로 제작된
크라운과 임플란트 보철물은
자연치아와 유사한
투명도와 색조를 구현할 수 있어
심미성이 좋습니다.
또한 지르코니아는 강도와 내구성이
매우 뛰어난 도자기 소재로
앞니처럼 심미성과 기능성을
동시에 요구하는 부위에 유리합니다.
생체 친화성도 우수하여
알레르기 반응이나 이물감이 적고,
표면이 매끄러워 구강 위생 관리에도 유리합니다.
신대방 치과 에서 생각하기에
약해진 이를 보호하면서도
자연스러운 외관을 유지할 수 있다는 점은
지르코니아 보철의
제일 큰 장점이 아닐까 싶네요.

2025.03.27 ~ 2025.07.28
앞니 치료는 단순히 기능 회복뿐만 아니라
심미성까지 고려해야 되기에
정밀한 진단과 치료 계획이 필수입니다.
또한 이가 약해졌거나
충치가 발견되었다면
문제가 더 진행되기 전에
치료를 받는 것이 중요합니다.
조기에 발견하고 치료할수록
보존 가능성과 진료의 성공률도
높아지기 때문이죠.
오늘 신대방 치과 에서 설명드린 내용이
도움이 되었길 바라며
글 마치겠습니다.
서울리멤버 박정기 원장이었습니다.
감사합니다.

치료 기간 : 2025.03.27 ~ 2025.07.28