아카이브 요약
이 페이지의 역할
서울리멤버치과의원의 네이버 블로그 원문을 보존한 아카이브 페이지입니다. 기본치료 카테고리의 신림역 치과 앞니 끝부분 깨짐 절단연 파절 레진으로 티 안 나게 하루 만에 당일 치료 글을 통해 병원의 한국어 정보 제공 방식과 진료 관련 안내 톤을 확인할 수 있습니다.
원문 검증
필요하면 원문 블로그와 병원 프로필로 바로 이동해 문맥을 다시 확인할 수 있습니다.
출처 아카이브 열기아카이브된 블로그 글
서울리멤버치과의원 · Naver Blog
반갑습니다, 신림역 치과 서울리멤버 박정기 원장입니다. 식사를 하거나 운동할 때, 혹은 예상치 못한 순간에 앞니가 깨지는 경험을 하신 적 있으신가요? 앞니는 얼굴의 중심에 위치해 있다 보니 작은 손상이 생겨도 전체적인 외모에 큰 영향을 미칩니다. 특히 면을 잘라먹는 역할을 하는 치관의 끝부분인 절단연 부위에 파...
게시일
2025년 10월 31일
원문 기준으로 확인된 발행일입니다.
카테고리
기본치료
원문 블로그 카테고리를 정리해 함께 표시합니다.
이미지 수
4
현재 아카이브에 연결된 이미지 수입니다.
아카이브 요약
서울리멤버치과의원의 네이버 블로그 원문을 보존한 아카이브 페이지입니다. 기본치료 카테고리의 신림역 치과 앞니 끝부분 깨짐 절단연 파절 레진으로 티 안 나게 하루 만에 당일 치료 글을 통해 병원의 한국어 정보 제공 방식과 진료 관련 안내 톤을 확인할 수 있습니다.
원문 검증
필요하면 원문 블로그와 병원 프로필로 바로 이동해 문맥을 다시 확인할 수 있습니다.
출처 아카이브 열기반갑습니다,
신림역 치과 서울리멤버 박정기 원장입니다.
식사를 하거나 운동할 때,
혹은 예상치 못한 순간에
앞니가 깨지는 경험을 하신 적 있으신가요?
앞니는 얼굴의 중심에 위치해 있다 보니
작은 손상이 생겨도
전체적인 외모에 큰 영향을 미칩니다.
특히 면을 잘라먹는 역할을 하는
치관의 끝부분인 절단연 부위에
파절이 발생한다면
눈에 더욱 잘 보이기 때문에
미소 지을 때마다 신경이 쓰이게 되죠.
오늘은 신림역 치과 에서
이런 고민을 하루 만에 해결하는 방법에 대해
알려드리도록 하겠습니다.
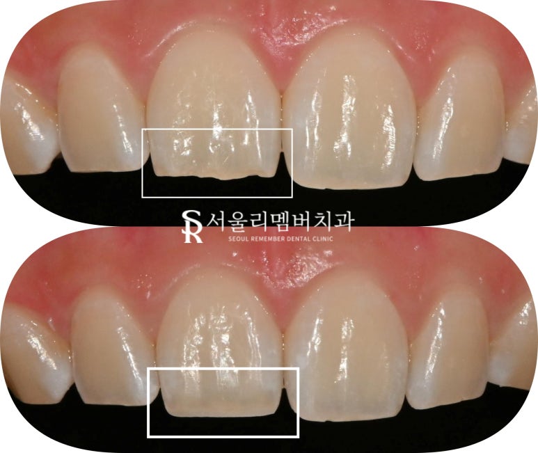
c.c : 절단연 파절

오른쪽 위 앞니 끝부분이 깨진 상황이며
딱딱한 음식을 드시다가 그런 건지
격한 운동을 하다가 그런 건지는
정확히 알 수 없지만
어느 순간 이 끝부분이 깨져있었다 하네요.
특별히 통증은 없으셨지만
심미적으로 매우 신경 쓰이셨겠습니다.
간혹 이렇게 문제가 생겨도
바쁜 직장 생활로 인하여
여러 번 내원하기 어려운 상황이신
환자들이 많은데요,
그래서 신림역 치과 에서는
바쁜 시간을 내서 찾아오셨다면
하루에 해줄 수 있는 많은 진료를 해드리기 위해
노력합니다.
구강 검사 및 치료 계획
먼저 파절 부위의 범위를
정확히 확인하는 게중요합니다.
이가 깨진 정도에 따라
치료 방법이 달라질 수 있기 때문인데요,
이 케이스는 다행히 치수까지 손상되지 않은
단순 절단연 파절로 확인되었습니다.
그렇기에 신림역 치과 에서는
신경치료 없이 레진을 이용한
당일 충전을 하기로 했는데요,
재료의 특성상 광중합을 이용하여
바로 굳힐 수 있다 보니
하루 만에 수복할 수 있답니다.
환자의 치아 색을 정밀하게 분석하여
자연스러운 레진 쉐이드를 선택한 뒤
붙여주는 것이죠.
광중합 레진은 30분 정도면 끝나기에
체어 타임도 길지 않습니다.
다만 바로 옆 치아와 절단연의 길이를 맞춰서
예쁘게 만들어드려야 되기에
케이스마다 소요시간은 차이가 있을 수 있습니다.

먼저 파절된 치아 표면을 깨끗이 정리하고
접착력을 높이기 위한 전처리를 진행한 뒤
선택한 레진을 층층이 쌓아가며
원래 치아의 형태를 재현해냈습니다.
그리고 겹겹이 쌓은 재료를
광중합기로 경화시켜
단단하고 견고하게 마무리했습니다.
마지막으로 형태, 두께, 교합을 체크하고
반짝하며 자연스러운 광택이 나도록
연마했습니다.
치료 결과 및 주의 사항

신림역 치과 모든 진료를
마친 모습을 보면
마치 원래 내 이처럼 자연스럽게 회복되었습니다.
티가 거의 나지 않아
어디가 깨졌었는지
전혀 눈치채지 못할 정도이며
색도 비슷하고 모양도 일정하게 하여
술자가 봐도 만족스럽게 됐네요.
레진 수복 후에는
몇 가지 주의 사항이 있습니다.
신림역 치과 에서
몇 가지를 알려드리자면
딱딱하고 질긴 음식은 가급적 피하시고
앞니로 무리하게 무언가를 뜯거나
자르는 행동은 자제해 주셔야 됩니다.
또한 정기 검진을 통해
재료가 잘 붙어있는지
체크하는 것도 중요합니다.
오늘 신림역 치과 에서 설명드린
레진은 장점이 참 많습니다.
당일 치료가 가능하다 보니
여러 번 내원할 필요 없이
하루 만에 완료되고
임시 보철도 사용할 필요가 없어
일상생활에 불편함이 없습니다.
또한 치아 삭제량이 최소화되어
자연치를 보존할 수 있습니다.
앞니가 깨져서 고민이라면
당일 레진 치료로 자연스럽고 빠르게
아름다운 미소를 되찾으실 수 있으니
너무 걱정 마시고
가까운 의료기관에서 진료 받으시기 바랍니다.
읽어주셔서 감사합니다.
신림역 치과 서울리멤버 박정기 원장이었습니다.

치료 기간 : 2025.10.22