아카이브 요약
이 페이지의 역할
서울리멤버치과의원의 네이버 블로그 원문을 보존한 아카이브 페이지입니다. 임플란트 카테고리의 신림 치과 만 65세 이상 보험 임플란트 가격, 비용, 기간, 뼈이식, 크라운 종류 글을 통해 병원의 한국어 정보 제공 방식과 진료 관련 안내 톤을 확인할 수 있습니다.
원문 검증
필요하면 원문 블로그와 병원 프로필로 바로 이동해 문맥을 다시 확인할 수 있습니다.
출처 아카이브 열기아카이브된 블로그 글
서울리멤버치과의원 · Naver Blog
신림 치과 서울리멤버 박정기 원장입니다. 만 65세 이상 건강보험 임플란트 한 번쯤 들어보셨죠? 만 65세 이상 건강보험 가입자 및 피부양자라면 임플란트 치료 시 혜택을 받을 수 있습니다. 일반적으로 임플란트 1개당 약 100만 원 전후의 비용이 발생합니다. 그러나 65세 이후에 생일이 지난 본인에게는 평생 2...
게시일
2025년 12월 1일
원문 기준으로 확인된 발행일입니다.
카테고리
임플란트
원문 블로그 카테고리를 정리해 함께 표시합니다.
이미지 수
5
현재 아카이브에 연결된 이미지 수입니다.
아카이브 요약
서울리멤버치과의원의 네이버 블로그 원문을 보존한 아카이브 페이지입니다. 임플란트 카테고리의 신림 치과 만 65세 이상 보험 임플란트 가격, 비용, 기간, 뼈이식, 크라운 종류 글을 통해 병원의 한국어 정보 제공 방식과 진료 관련 안내 톤을 확인할 수 있습니다.
원문 검증
필요하면 원문 블로그와 병원 프로필로 바로 이동해 문맥을 다시 확인할 수 있습니다.
출처 아카이브 열기신림 치과 서울리멤버 박정기 원장입니다.
만 65세 이상 건강보험 임플란트
한 번쯤 들어보셨죠?
만 65세 이상 건강보험 가입자 및 피부양자라면
임플란트 치료 시 혜택을 받을 수 있습니다.
일반적으로 임플란트 1개당
약 100만 원 전후의 비용이 발생합니다.
그러나 65세 이후에 생일이 지난 본인에게는
평생 2개까지 급여 적용이 가능하여
본인 부담금은 30%,
약 40만 원대의 부담 없는 금액으로
진료가 가능합니다.
다만, 구강 내 하나의 치아라도 남아있는
부분 무치악 상태에서만 적용되며
이가 하나도 없을 경우 적용 대상에서 제외되기에
이때는 보험 틀니로 진행하셔야 됩니다.
또한 뼈이식과 상악동 거상술 같은
추가 시술은 별도의 비용이 발생할 수 있어
사전에 확인해 보시는 게 좋습니다.
오늘 신림 치과 에서는
이와 관련된 여러 내용에 대해
설명드리겠습니다.
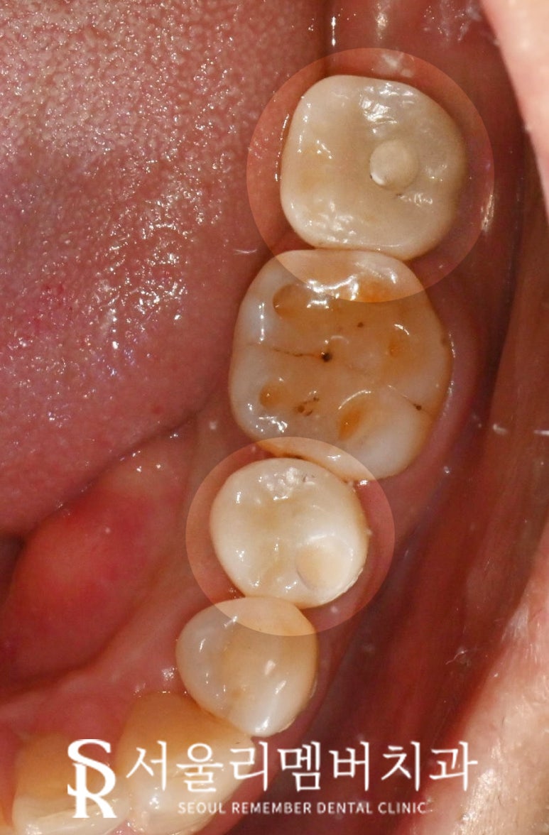
왼쪽 아래 어금니 통증 원인은?

하악 좌측 구치부에서
식사를 할 때마다 불편감이 나타나고 있으며
임상 검사 시,
두 번째 작은 어금니(35번)와
두 번째 큰 어금니(37번)에
동요도(MOB, Mobility)가 관찰되었습니다.
그러다 보니 음식을 저작할 때마다
통증이 동반되었을 것이며
잇몸도 부어있습니다.
특히 37번에서는
치아 균열(Crack)이 발견되었는데요,
의료용 솜(cotton roll)과
바이트 스틱(bite slooth)으로
살짝 깨물어 보았을 때
찌릿한 통증이 나타나는 것을 보아
전형적인 crack syndrome을
의심해 볼 수 있습니다.
어떻게 치료해야 되나요?
크랙은 방치하면 뼈가 녹으면서
뿌리 끝에 염증을 일으킬 수 있기에
빠른 치료가 필요합니다.
방치하면 스스로 회복되지 않고
금이 간 치아가 다시 붙지도 않습니다.
본래 신경치료를 하고 크라운을 씌워서
보존하기도 하나,

신림 치과 의 케이스는
이미 치주 인대의 비후가 존재하며
골소실이 조금씩 시작되고 있었기에
발치 후 임플란트 식립이 필요한 상태로
진단되었습니다.
신속한 보험 적용 확인
만약 환자의 나이가 만 65세가 넘었다면
신림 치과 에서는
내원 당일 즉시 건강보험 임플란트 적용이
가능한지를 확인합니다.
환자의 나이, 건강보험 가입 상태, 이전 시술 이력을
종합적으로 검토하여
가능한지 알아봐드리는 것이죠.
이를 통해 치료 계획 수립 이후
예상 비용을 예측해 볼 수 있기에
환자들도 안심하고 진료를 진행하실 수 있습니다.
발치 및 즉시 식립 과정
보험 적용이 확인되었다면
신림 치과 에서는 상호 스케줄 확인 후
제일 빠른 날로 약속을 잡고
수술을 진행합니다.
이 케이스는 크랙이 있는 37번을 발치하고
동시에 뼈이식과 픽스처 식립을 하였습니다.
발치 즉시 시행한다면
치료 기간을 단축할 수 있으며,
잇몸뼈의 흡수를 최소화할 수 있다는
장점이 있습니다.
그리고 발치와 부위에 인공뼈 이식재를 넣어주면
픽스처 주변의 뼈 재생을 촉진하고,
장기적인 안정성을 확보합니다.
골 유착 및 보철 수복
식립 후 2개월 이상 동안
골 유착이 될 수 있도록
기다려줍니다.
이것은 픽스처와 주변 뼈가
단단히 결합하는 데에
매우 중요한 시기로서
이 기간 동안 환자는 정기 검진을 통해
치유 상태를 확인하고,
과도한 자극이나 압력을 피하는 것이 중요합니다.
흡연이나 과도한 음주는
골유착에 부정적인 영향을 미칠 수 있으므로
주의하셔야겠죠?

신림 치과 에서는
골유착이 충분히 이루어진 것을 확인한 후,
구강 스캐너를 이용한 정밀 스캔으로
맞춤형 보철을 제작합니다.
디지털 스캔 기술을 활용하면
보다 정확하고 편안한 보철 제작이 가능하며,
알지네이트같은 고무재료가 아니기에
오차를 줄일 수도 있습니다.

최종 보철이 장착된 모습을 보면
본래의 저작 기능을 모두 회복하였으며
임플란트의 장점인
독립적인 보철 제작이 가능하기에
사이에 치실 같은 구강위생용품 사용도 가능합니다.
올해부터 상부 보철이
PFM에서 지르코니아로 업그레이드되어
심미성과 강도를 모두 갖춘 재료로
만들 수도 있답니다.
오늘 신림 치과 에서 설명드린
보험 임플란트는
평생 2개까지만 적용되므로,
치료가 필요한 치아의
우선순위를 신중히 결정하시기 바랍니다.
그리고 현재 구강상태에 맞추어
최선의 식립 위치를 찾아
잘 활용하시면 좋겠습니다.
읽어주셔서 감사합니다.
신림 치과 서울리멤버 박정기 원장이었습니다.

치료 기간 : 2025.05.22 ~ 2025.08.30