아카이브 요약
이 페이지의 역할
서울리멤버치과의원의 네이버 블로그 원문을 보존한 아카이브 페이지입니다. 잇몸치료 카테고리의 신림역 치과 스케일링 치석제거로 착색과 변색 해결하면 치아미백 만큼 하애질 수 있을까? 글을 통해 병원의 한국어 정보 제공 방식과 진료 관련 안내 톤을 확인할 수 있습니다.
원문 검증
필요하면 원문 블로그와 병원 프로필로 바로 이동해 문맥을 다시 확인할 수 있습니다.
출처 아카이브 열기아카이브된 블로그 글
서울리멤버치과의원 · Naver Blog
반갑습니다, 신림역 치과 서울리멤버 박정기 원장입니다. 스케일링을 받으러 오시는 환자들 중 “이가 얼마나 하얘질까요?” 라고 묻는 경우가 꽤 많습니다. 그러나 스케일링의 본래 목적은 치아를 하얗게 만드는 것이 아니라 치석을 제거하고 잇몸 건강을 유지하는 데 있습니다. 치석은 세균 덩어리가 굳어진 것으로 잇몸 염...
게시일
2026년 3월 28일
원문 기준으로 확인된 발행일입니다.
카테고리
잇몸치료
원문 블로그 카테고리를 정리해 함께 표시합니다.
이미지 수
6
현재 아카이브에 연결된 이미지 수입니다.
아카이브 요약
서울리멤버치과의원의 네이버 블로그 원문을 보존한 아카이브 페이지입니다. 잇몸치료 카테고리의 신림역 치과 스케일링 치석제거로 착색과 변색 해결하면 치아미백 만큼 하애질 수 있을까? 글을 통해 병원의 한국어 정보 제공 방식과 진료 관련 안내 톤을 확인할 수 있습니다.
원문 검증
필요하면 원문 블로그와 병원 프로필로 바로 이동해 문맥을 다시 확인할 수 있습니다.
출처 아카이브 열기반갑습니다,
신림역 치과 서울리멤버 박정기 원장입니다.
스케일링을 받으러 오시는 환자들 중
“이가 얼마나 하얘질까요?”
라고 묻는 경우가 꽤 많습니다.
그러나 스케일링의 본래 목적은
치아를 하얗게 만드는 것이 아니라
치석을 제거하고 잇몸 건강을
유지하는 데 있습니다.
치석은 세균 덩어리가 굳어진 것으로
잇몸 염증과 출혈을 유발하고
방치할 경우 치조골 소실까지
이어질 수 있는 원인이 됩니다.
스케일링 과정에서
일부 착색이 함께 제거되면서
치아가 밝아 보일 수는 있지만
이것은 부가적인 것일 뿐
근본적으로 이가 하얘지는 것은 아닙니다.
커피나 와인, 흡연 등으로 생긴 표면 착색은
치석과는 다르게
치아 겉면에 얇게 붙어있는 색소이다 보니
폴리싱 같은 과정을 추가로 거쳐
치면을 매끄럽게 정리하면서
남아있는 잔여 찌꺼기들을 사라지게 함으로써
이가 밝아 보이게 하는 것이죠.
이때는 자연치를 깎는 것이 아니라
표면을 정리하는 단계이기 때문에
손상이나 자극을 유발하지 않아서
신림역 치과 에서는
평소 누런 이로 미백치료까지
고민 중이신 환자들이라면
스케일링을 먼저 받아보시길 권해드립니다.
(단, 치아 내부 색까지
변화시키는 것은 아니기 때문에
더 밝은 색상을 원하신다면
미백 치료가 필요할 수 있습니다.)

2026.02.22
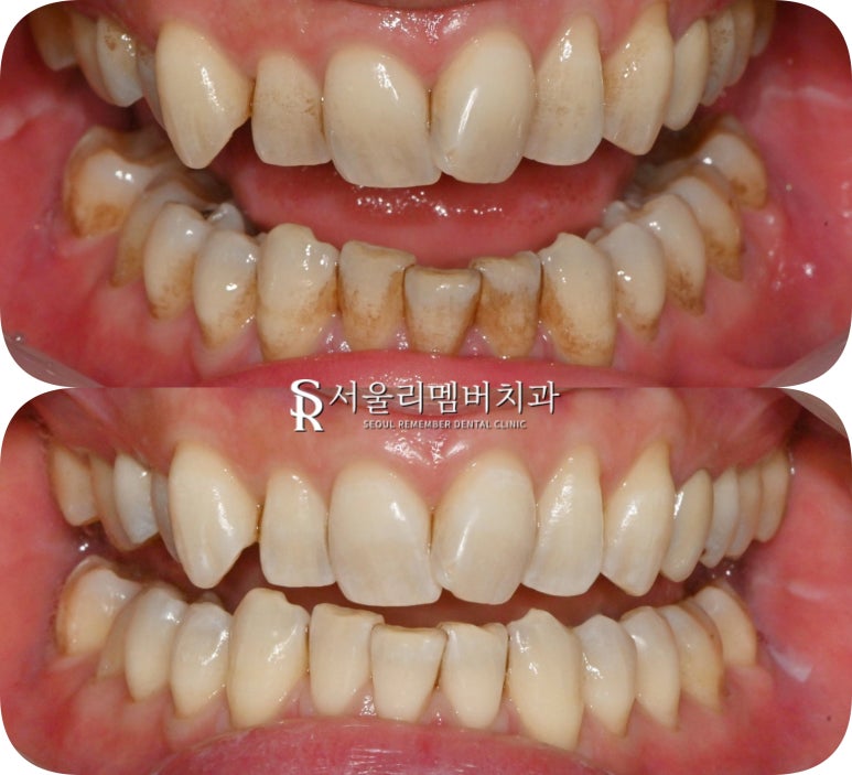
신림역 치과 에서 보여드리는 케이스를 보면
치석과 치태, 그리고 플라그들에 생긴 착색으로
전반적으로 이가 누래 보이고
구강 자체가 어두워 보이는데요,
그러다 보니 마치 얼룩이 생긴 것처럼
청결하지 못해 보이기도 합니다.
이럴 때 제일 먼저 부담 없이 해볼 수 있는 게
바로 치석제거이며,
다만 이때는 사전 설명이 중요합니다.
진료 후 드라마틱 하게 이가 밝아질 것이라
오해하시는 경우도 종종 있기 때문이죠.

2026.02.22
또한 스케일링 후 시린 증상이
일시적으로 나타날 수 있는데
이는 치석에 가려져 있던
치아 뿌리 부분이 드러나면서
생기는 자연스러운 반응입니다.
시간이 지나면서 점차 완화되며
대부분은 별도의 치료 없이도 회복되다 보니
신림역 치과 에서는 일시적인 현상이라
너무 걱정하지 않으셔도 된다 설명드립니다.
이가 깎인 것 같고
치아 사이 틈새가 더 잘보여서
어색하고 이상해요.

2026.02.22
스케일링을 하고 나면
치아가 깎인다고 오해하시기도 하는데,
이는 사실과 다르며 오히려
그간 쌓여있던 노폐물이나 찌꺼기들이 사라지면서
본래 내 치아의 형태가 나타나는 것이며
부어있던 잇몸이 내려가면서
건강을 되찾는 과정 중 하나이기에
절대 나쁜 것이 아닙니다.

2026.02.22
오늘 신림역 치과 에서도
처음과 달리 30분도 채 되지 않는 시간만으로
이가 밝고 하애진 것을 볼 수 있으며
전문가 미백치료만큼은 아니지만
전보다 훨씬 깨끗하고
좋은 인상을 기대할 수 있을 겁니다.
간격은 어느 정도인 게 좋나요?
주기를 어느 정도로 해야 될지
궁금해하시는데,
신림역 치과 에서는
치주 질환 여부와 잇몸 상태에 따라
보통 6개월에서 1년 간격으로 받으시길
권해드립니다.
착색이 잘 생기는 편이거나
잇몸이 자주 붓고 피가 난다면
간격을 더 짧게 하셔도 되고
추가적인 관리를 해주시는 만큼
도움이 됩니다.

2026.02.22
결론적으로 스케일링은
잇몸 건강을 위한 필수 치료이며,
착색 제거는 이를 통해 얻을 수 있는
부가적인 결과이긴 합니다.
그러나 전문가 미백을 받았다는 느낌이 들 만큼
만족스러운 결과를 줄 수도 있으니
만약 평소 누런 이로 스트레스를 받았거나
치면에 묻은 거뭇거뭇 한 이물질이
충치인지 단순 착색인지 모르게 많이 쌓여있다면
정확한 상태에 따라
필요한 치료가 달라지기 때문에
가까운 의료기관에서
상담을 받아보시는 것을 권해드립니다.
또한 필요하다면
그 이후에 전문가 미백을 통해
원하는 색만큼 이를 하얗게 만들 수도 있으므로
이와 비슷한 고민이 있으시다면
검사부터 해보시길 바랍니다.
오늘 준비한 내용은 여기까지입니다.
신림역 치과 서울리멤버
박정기 원장이었습니다.

치료 기간 : 2026.02.22