아카이브 요약
이 페이지의 역할
클레어치과의원의 네이버 블로그 원문을 보존한 아카이브 페이지입니다. 김유나원장 라미네이트 시술일지 카테고리의 라미네이트는 정말 삭제를 많이 해야할까? 글을 통해 병원의 한국어 정보 제공 방식과 진료 관련 안내 톤을 확인할 수 있습니다.
원문 검증
필요하면 원문 블로그와 병원 프로필로 바로 이동해 문맥을 다시 확인할 수 있습니다.
출처 아카이브 열기아카이브된 블로그 글
클레어치과의원 · Naver Blog
강남 세라믹치과 라미네이트 전문의 김유나 원장입니다. 라미네이트의 부작용에 대하 거부감이 있으신 분들이 삭제량에 대해 많이들 물어보세요! 무작정 무삭제 라미네이트를 진행하시고 만족 못하신 분들이 분명 계실거에요! 삭제를 많이 하지 않고도 원하는 결과를 만드는게 라미네이트 전문 치과의사의 실력이라고 생각합니다. 아래...
게시일
2024년 12월 18일
원문 기준으로 확인된 발행일입니다.
카테고리
김유나원장 라미네이트 시술일지
원문 블로그 카테고리를 정리해 함께 표시합니다.
이미지 수
4
현재 아카이브에 연결된 이미지 수입니다.
아카이브 요약
클레어치과의원의 네이버 블로그 원문을 보존한 아카이브 페이지입니다. 김유나원장 라미네이트 시술일지 카테고리의 라미네이트는 정말 삭제를 많이 해야할까? 글을 통해 병원의 한국어 정보 제공 방식과 진료 관련 안내 톤을 확인할 수 있습니다.
원문 검증
필요하면 원문 블로그와 병원 프로필로 바로 이동해 문맥을 다시 확인할 수 있습니다.
출처 아카이브 열기강남 세라믹치과 라미네이트 전문의 김유나 원장입니다.
라미네이트의 부작용에 대하 거부감이 있으신 분들이 삭제량에 대해 많이들 물어보세요!
무작정 무삭제 라미네이트를 진행하시고 만족 못하신 분들이 분명 계실거에요!
삭제를 많이 하지 않고도 원하는 결과를 만드는게
라미네이트 전문 치과의사의 실력이라고 생각합니다.
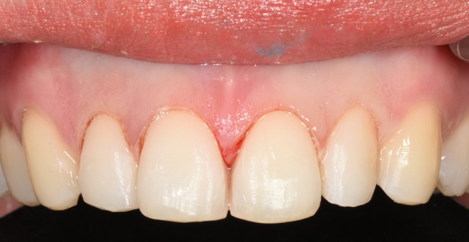
아래 환자분은 토끼이빨 같은 치아와 #22 치아가 작아서 콤플렉스였고
할리우드 배우같이 가지런한 일자와 새하얀 치아가 갖고 싶어서 찾아오셨어요.

환자 치아 분석
#21 치아 잇몸높이가 상대적으로 내려와있음
#11, 12 치아 끝 깨짐
#22 왜소치 형태
#13,23 치아색상 상대적으로 어두움
전반적인 치아끝 모양 뾰족함
=> 환자분께서는 8전치. 총 8개 치아 라미네이트 결정!!
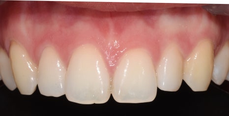
치아 다듬기를 시작합니다.
다듬은 후 사진입니다.

잇몸성형 및 치아 다듬기 후
당일 라미네이트를 위한 다듬기와 잇몸 성형을 끝낸 직후 사진입니다.
마취가 풀려도 환자분은 전혀 시림감 없으셨어요.


라미네이트 하기 전 라미네이트 한 후
라미네이트 세팅 직후 사진입니다.
환자분이 원하는 치아끝 일자라인과 균일한 질감과 색상이 완성되었습니다.
환자분이 정말 눈같이 새하얀 피부라 색상이 너무 잘 어울렸어요.
환자분 대 만족!
저 또한 뿌듯한 하루였습니다.