아카이브 요약
이 페이지의 역할
클레어치과의원의 네이버 블로그 원문을 보존한 아카이브 페이지입니다. 김유나원장 라미네이트 시술일지 카테고리의 교정은 너무 오래 걸려요. 라미네이트로 빨리 가능할까요? 글을 통해 병원의 한국어 정보 제공 방식과 진료 관련 안내 톤을 확인할 수 있습니다.
원문 검증
필요하면 원문 블로그와 병원 프로필로 바로 이동해 문맥을 다시 확인할 수 있습니다.
출처 아카이브 열기아카이브된 블로그 글
클레어치과의원 · Naver Blog
클레어치과 라미네이트 전문의 김유나 원장입니다. 라미네이트를 하러 갔는데 교정치료를 추천 받은 분들 많으시죠? 교정할거였음 진작에 했어.... 왜 교정하라그러냐고.. 속마음 이러실거에요. ㅎㅎ 자 시작해봅니다! 아래 환자분 교정을 해야 될 정도로 치아가 많이 삐뚤합니다. 하지만 빨리 예뻐지고 싶으시데요 삐뚤한 치아...
게시일
2024년 12월 18일
원문 기준으로 확인된 발행일입니다.
카테고리
김유나원장 라미네이트 시술일지
원문 블로그 카테고리를 정리해 함께 표시합니다.
이미지 수
7
현재 아카이브에 연결된 이미지 수입니다.
아카이브 요약
클레어치과의원의 네이버 블로그 원문을 보존한 아카이브 페이지입니다. 김유나원장 라미네이트 시술일지 카테고리의 교정은 너무 오래 걸려요. 라미네이트로 빨리 가능할까요? 글을 통해 병원의 한국어 정보 제공 방식과 진료 관련 안내 톤을 확인할 수 있습니다.
원문 검증
필요하면 원문 블로그와 병원 프로필로 바로 이동해 문맥을 다시 확인할 수 있습니다.
출처 아카이브 열기클레어치과 라미네이트 전문의 김유나 원장입니다.
라미네이트를 하러 갔는데 교정치료를 추천 받은 분들 많으시죠?
교정할거였음 진작에 했어.... 왜 교정하라그러냐고.. 속마음 이러실거에요. ㅎㅎ
자 시작해봅니다!
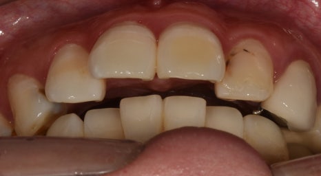
아래 환자분 교정을 해야 될 정도로 치아가 많이 삐뚤합니다. 하지만 빨리 예뻐지고 싶으시데요
삐뚤한 치아때문에 충치도 자주 생기고 충치 치료를 했는데도 또 생기고 레진은 변색되구요.
앞니가 너무 튀어나와서 예쁜치아 갖고 싶으시데요.


환자치아 분석
#11,21 돌출감이 많고 crowding 심함
#23은 옆치아와 브릿지 치료를 하여 색상은 #23에 맞추어 자연스럽게.
이렇게 많이 삐뚤한 치아는 보통 치과의사들은 신경치료를 하고 치아를 많이 삭제하는 크라운을 하자고 할거에요.
그거 아시나요? 크라운과 라미네이트의 삭제량은 무려 3배가 차이납니다.
여러분들이 라미네이트는 많이 깎아야 하는 치료야 라고 생각하는 이유가 연예인들이 한 라미네이트를 방송으로 접해서 일겁니다.
삭제를 많이 하면 보철물을 예쁘게 누구나 만들 수 있습니다.
하지만
삭제를 많이 하지 않고도 원하는 결과를 만드는게
라미네이트 전문 치과의사의 실력이라고 생각합니다.

사유리가 받은 어느치과 라미네이트 삭제량
김유나 원장의 필살기!!!!
필요한량만 최소한으로 삭제후 원하는 디자인 만들기
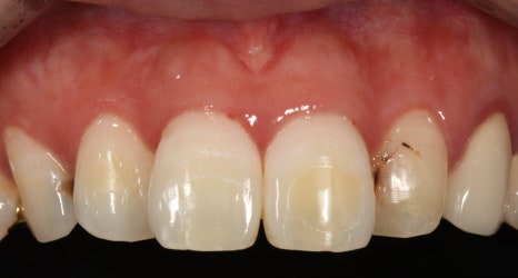
아래와 같이 다듬고 양치가 안되어 치은증식있던 부위는 예쁘게 다듬어 줍니다.

치아 다듬고 잇몸성형 한 후
충치를 온전히 제거하고 라미네이트가 들어가는 경로를 Passive하게 해주는게 진료핵심입니다.

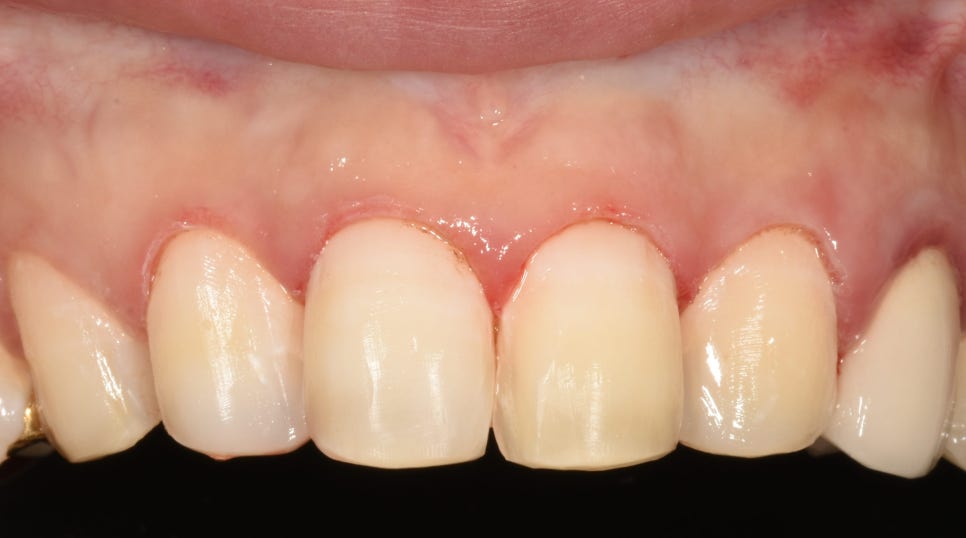
라미네이트 후


라미네이트 하기 전 라미네이트 한 후
라미네이트 하기 전에도 너무 귀여운 미소 였지만 라미네이트를 한 후 더욱 고급스럽고 우아한 미소가 완성되었어요
교정은 몇 년이 걸리지만 라미네이트 덕분에 몇일 만에 이렇게 가지런한 치아가 될 수 있어요!
뿌듯한 하루 였습니다.