아카이브 요약
이 페이지의 역할
클레어치과의원의 네이버 블로그 원문을 보존한 아카이브 페이지입니다. 미백 시술일지 카테고리의 강남치아미백, 선릉치아미백 리얼 후기 글을 통해 병원의 한국어 정보 제공 방식과 진료 관련 안내 톤을 확인할 수 있습니다.
원문 검증
필요하면 원문 블로그와 병원 프로필로 바로 이동해 문맥을 다시 확인할 수 있습니다.
출처 아카이브 열기아카이브된 블로그 글
클레어치과의원 · Naver Blog
강남에서 치아미백 잘하는 치과를 찾는 분들께 미백을 고민하시는 분들 중에는 “정말 큰 변화가 있을까?” 하고 망설이시는 경우가 많습니다. 하지만 치아톤은 작은 차이만으로도 전체 인상에 생각보다 큰 영향을 줍니다. 치과 미백은 단순히 치아를 하얗게 만드는 시술이 아니라 현재 치아 상태에 맞춰 톤을 정리하고 밝기를 조...
게시일
2026년 1월 29일
원문 기준으로 확인된 발행일입니다.
카테고리
미백 시술일지
원문 블로그 카테고리를 정리해 함께 표시합니다.
이미지 수
3
현재 아카이브에 연결된 이미지 수입니다.
아카이브 요약
클레어치과의원의 네이버 블로그 원문을 보존한 아카이브 페이지입니다. 미백 시술일지 카테고리의 강남치아미백, 선릉치아미백 리얼 후기 글을 통해 병원의 한국어 정보 제공 방식과 진료 관련 안내 톤을 확인할 수 있습니다.
원문 검증
필요하면 원문 블로그와 병원 프로필로 바로 이동해 문맥을 다시 확인할 수 있습니다.
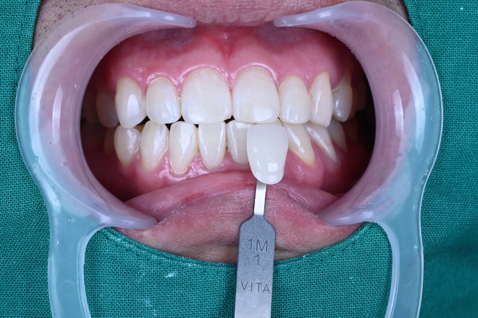
출처 아카이브 열기강남에서 치아미백 잘하는 치과를 찾는 분들께
미백을 고민하시는 분들 중에는
“정말 큰 변화가 있을까?” 하고 망설이시는 경우가 많습니다.
하지만 치아톤은 작은 차이만으로도
전체 인상에 생각보다 큰 영향을 줍니다.
치과 미백은 단순히 치아를 하얗게 만드는 시술이 아니라
현재 치아 상태에 맞춰 톤을 정리하고 밝기를 조절하는 과정입니다.
그래서 과하지 않으면서도
미백 전후를 비교해보면 분명한 차이를 확인하실 수 있습니다.

2025년12월23일 미백 전

2025년12월23일 미백 직후 당일
미백 후에는 누렇게 보이던 색감이 정리되면서
치아가 깨끗해 보이고, 웃을 때 인상도 한층 밝아집니다.
자연스러운 변화 덕분에
주변에서 “미백했다”기보다는
“인상이 좋아졌다”는 말을 듣는 경우가 많습니다.
치아톤만 바꿨을 뿐인데 달라지는 인상,
치과 상담을 통해 내 치아에 맞는 미백 방법을 확인해보시기 바랍니다.
강남미백잘하는 치과
궁금하신 점이 있으시면 클레어치과 카카오톡 채널이나 전화 상담으로 연락 주시면
빠르게 안내드리고 있습니다.

#강남라미네이트, #선릉치과, #선릉라미네이트, #라미네이트, #미백, #선릉역치과, #선릉역미백치과, #역삼동미백치과