아카이브 요약
이 페이지의 역할
클레어치과의원의 네이버 블로그 원문을 보존한 아카이브 페이지입니다. 김유나원장 라미네이트 시술일지 카테고리의 웃을 때 잇몸이 많이 보인다면? 잇몸성형 전후로 달라진 미소|전치부 심미 레이저 시술일지 글을 통해 병원의 한국어 정보 제공 방식과 진료 관련 안내 톤을 확인할 수 있습니다.
원문 검증
필요하면 원문 블로그와 병원 프로필로 바로 이동해 문맥을 다시 확인할 수 있습니다.
출처 아카이브 열기아카이브된 블로그 글
클레어치과의원 · Naver Blog
안녕하세요. 클레어치과 대표원장 김유나입니다. 웃을 때 잇몸이 과하게 보이거나, 앞니 잇몸이 울퉁불퉁하거나 검게 보여서 사진 찍을 때마다 신경 쓰이셨던 적 있으신가요? 요즘 내원 상담 중 가장 많이 듣는 고민이 바로 👉 잇몸웃음 / 거미스마일 / 잇몸 착색 입니다. 검색해보면 정보는 많은데 “그래서 나는 뭘 해야 하지?...
게시일
2026년 2월 5일
원문 기준으로 확인된 발행일입니다.
카테고리
김유나원장 라미네이트 시술일지
원문 블로그 카테고리를 정리해 함께 표시합니다.
이미지 수
2
현재 아카이브에 연결된 이미지 수입니다.
아카이브 요약
클레어치과의원의 네이버 블로그 원문을 보존한 아카이브 페이지입니다. 김유나원장 라미네이트 시술일지 카테고리의 웃을 때 잇몸이 많이 보인다면? 잇몸성형 전후로 달라진 미소|전치부 심미 레이저 시술일지 글을 통해 병원의 한국어 정보 제공 방식과 진료 관련 안내 톤을 확인할 수 있습니다.
원문 검증
필요하면 원문 블로그와 병원 프로필로 바로 이동해 문맥을 다시 확인할 수 있습니다.
출처 아카이브 열기안녕하세요. 클레어치과 대표원장 김유나입니다.
웃을 때 잇몸이 과하게 보이거나,
앞니 잇몸이 울퉁불퉁하거나 검게 보여서
사진 찍을 때마다 신경 쓰이셨던 적 있으신가요?
요즘 내원 상담 중 가장 많이 듣는 고민이 바로
👉 잇몸웃음 / 거미스마일 / 잇몸 착색 입니다.
검색해보면 정보는 많은데
“그래서 나는 뭘 해야 하지?”
라는 생각만 더 커지셨을 거예요.
그래서 오늘은
잇몸성형 전후 변화가 확실한 전치부 심미 레이저 치료 시술일지를
정리해서 알려드리려고 합니다.
웃을 때 잇몸이 많이 보이는 이유, 생각보다 다양합니다
✔ 웃을 때 윗입술이 말려 올라가는 경우
✔ 잇몸이 과도하게 덮여 치아가 짧아 보이는 경우
✔ 잇몸선이 비대칭이거나 울퉁불퉁한 경우
✔ 잇몸 색이 검거나 갈색으로 보이는 경우
이처럼 원인에 따라 치료 방법이 전혀 다르기 때문에
단순히 “잇몸성형” 하나로 설명하기는 어렵습니다.
거미스마일(Gummy Smile)이란?
거미스마일이란
웃을 때 윗입술이 과도하게 올라가면서
잇몸이 많이 노출되는 상태를 말합니다.
👉 체크 포인트
웃을 때 잇몸이 3mm 이상 보인다
윗입술이 말려 올라가는 느낌이 강하다
웃을 때 치아보다 잇몸이 먼저 보인다
2개 이상 해당된다면
거미스마일 가능성이 있습니다.
그래서 어떤 치료를 하게 될까요?
1️⃣ 잇몸 라인이 문제인 경우 → 레이저 잇몸성형
잇몸이 울퉁불퉁하거나 비대칭일 때
치아 길이가 짧아 보일 때
앞니 인상이 답답해 보일 때
👉 레이저를 이용해 불필요한 잇몸 조직을 정리하고
👉 잇몸선을 이상적인 곡선으로 다듬어
👉 치아는 더 길어 보이고, 미소는 또렷하게
✔ 절개·봉합 없이
✔ 출혈과 통증 최소화
✔ 회복 부담 ↓
2️⃣ 잇몸 색이 검게 보이는 경우 → 레이저 잇몸 착색 제거
잇몸이 검거나 갈색으로 보이는 대부분의 원인은
👉 멜라닌 색소 침착입니다.
레이저를 이용해
색소가 침착된 표층만 안전하게 제거하면
자연스러운 분홍빛 잇몸으로 회복이 가능합니다.
✔ 도포 마취만으로 진행
✔ 시술 시간 짧음
✔ 일상생활 바로 가능

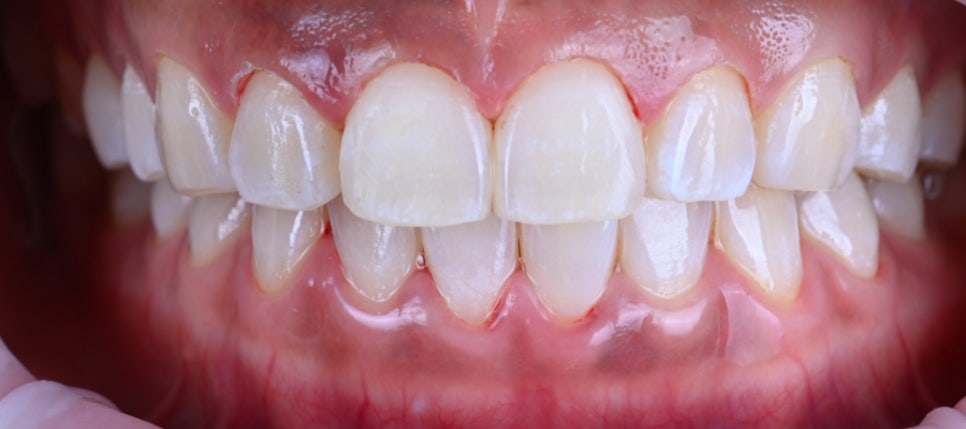
치아성형 & 잇몸성형 당일 직후
[시술 전]
웃을 때 잇몸 노출이 많아 어색한 미소
잇몸선이 고르지 않아 치아 배열이 더 부각
잇몸 색이 어두워 첫인상이 칙칙해 보임
[시술 후]
웃을 때 잇몸 노출 감소
잇몸선이 정리되며 치아가 가지런해 보임
전체 인상이 훨씬 밝고 깔끔해짐
환자분께서도
“웃는 게 훨씬 편해졌다”
“사진 찍을 때 잇몸 신경 안 쓰게 됐다”
는 말씀을 해주셨습니다.

환자분이 활짝 웃고 보내주신 사진!!
잇몸성형, 이런 분들께 추천드립니다
✔ 웃을 때 잇몸이 많이 보여 고민인 분
✔ 앞니 잇몸 라인이 울퉁불퉁해 신경 쓰이는 분
✔ 잇몸이 검게 보여 인상이 칙칙해 보이는 분
✔ 라미네이트 없이도 인상 개선을 원하시는 분
잇몸성형은 ‘누가, 어떻게’ 하느냐가 중요합니다
전치부 잇몸은
✔ 미소의 중심이고
✔ 첫인상을 좌우하는 부위이기 때문에
치아·잇몸·입술의 움직임을 함께 고려한
정밀한 진단과 디자인이 무엇보다 중요합니다.
단순히 잇몸만 깎는 시술이 아니라
👉 전체 얼굴 인상과 조화를 보는 심미 치료라는 점,
꼭 기억하셔야 합니다.
무삭제라미네이트, 치아성형전문 클레어치과와 꼭 함께 하세요