아카이브 요약
이 페이지의 역할
클레어치과의원의 네이버 블로그 원문을 보존한 아카이브 페이지입니다. 치아미백 카테고리의 치아미백 리얼 기록 – 원데이 2회 미백으로 바뀐 치아 톤 글을 통해 병원의 한국어 정보 제공 방식과 진료 관련 안내 톤을 확인할 수 있습니다.
원문 검증
필요하면 원문 블로그와 병원 프로필로 바로 이동해 문맥을 다시 확인할 수 있습니다.
출처 아카이브 열기아카이브된 블로그 글
클레어치과의원 · Naver Blog
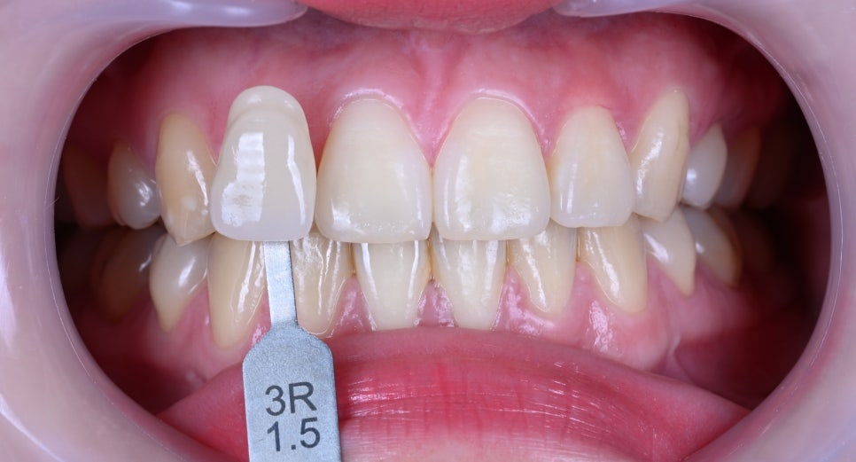
시술 전에는 전체적으로 노란 기가 도는 치아 톤으로, 조명에 따라 더 탁해 보이는 상태였습니다. 커피와 차 착색이 누적되어 밝기가 고르지 않았고, 웃을 때 치아 색이 먼저 눈에 들어오는 것이 고민이셨습니다. 단기간에 과하게 밝히기보다는 안전하게, 단계적으로 톤을 개선하는 방향으로 2회 미백 계획을 세웠습니다 ...
게시일
2026년 2월 11일
원문 기준으로 확인된 발행일입니다.
카테고리
치아미백
원문 블로그 카테고리를 정리해 함께 표시합니다.
이미지 수
2
현재 아카이브에 연결된 이미지 수입니다.
아카이브 요약
클레어치과의원의 네이버 블로그 원문을 보존한 아카이브 페이지입니다. 치아미백 카테고리의 치아미백 리얼 기록 – 원데이 2회 미백으로 바뀐 치아 톤 글을 통해 병원의 한국어 정보 제공 방식과 진료 관련 안내 톤을 확인할 수 있습니다.
원문 검증
필요하면 원문 블로그와 병원 프로필로 바로 이동해 문맥을 다시 확인할 수 있습니다.
출처 아카이브 열기시술 전에는 전체적으로 노란 기가 도는 치아 톤으로,
조명에 따라 더 탁해 보이는 상태였습니다.
커피와 차 착색이 누적되어 밝기가 고르지 않았고,
웃을 때 치아 색이 먼저 눈에 들어오는 것이 고민이셨습니다.
단기간에 과하게 밝히기보다는
안전하게, 단계적으로 톤을 개선하는 방향으로 2회 미백 계획을 세웠습니다

미백 전 사진/ 환자분의 동의 하에 제공된 사진입니다.
1회차 후 노란 기가 정리되면서 기본 명도가 올라갔고,
2회차 진행 후에는 전체 톤이 한층 더 맑고 균일하게 개선되었습니다.
치아 명도는 약 2~2.5톤 정도 상승했으며,
과하게 하얗기보다는 자연스럽고 세련된 밝기로 변화했습니다.
자극은 최소화하면서 단계적으로 완성한 결과,
웃을 때 훨씬 환하고 깨끗한 인상을 확인할 수 있었습니다.
미백은 횟수보다 ‘방향’이 중요합니다.
내 치아에 맞는 계획으로 진행했을 때
가장 안정적인 결과를 기대할 수 있습니다.
궁금하신 점이 있으시면 클레어치과 카카오톡 채널이나 전화 상담으로 연락 주시면
빠르게 안내드리고 있습니다.

#강남라미네이트, #선릉치과, #선릉라미네이트, #라미네이트, #미백, #선릉역치과, #선릉역미백치과, #역삼동미백치과