아카이브 요약
이 페이지의 역할
클레어치과의원의 네이버 블로그 원문을 보존한 아카이브 페이지입니다. 미백 시술일지 카테고리의 강남 치아미백 효과 차이가 나는 이유| 클레어치과 글을 통해 병원의 한국어 정보 제공 방식과 진료 관련 안내 톤을 확인할 수 있습니다.
원문 검증
필요하면 원문 블로그와 병원 프로필로 바로 이동해 문맥을 다시 확인할 수 있습니다.
출처 아카이브 열기아카이브된 블로그 글
클레어치과의원 · Naver Blog
미백 상담을 진행하다 보면 가장 많이 듣는 질문이 있습니다. “얼마나 밝아질 수 있나요?” 강남치아미백 상담에서도 많은 분들이 가장 궁금해하시는 부분입니다. 치아 미백 결과는 현재 치아 색상과 착색 정도에 따라 개인마다 차이가 있습니다. 커피나 와인, 흡연 등으로 생긴 착색이나 치아 자체의 색상에 따라 밝아질 수 있는 정...
게시일
2026년 3월 4일
원문 기준으로 확인된 발행일입니다.
카테고리
미백 시술일지
원문 블로그 카테고리를 정리해 함께 표시합니다.
이미지 수
3
현재 아카이브에 연결된 이미지 수입니다.
아카이브 요약
클레어치과의원의 네이버 블로그 원문을 보존한 아카이브 페이지입니다. 미백 시술일지 카테고리의 강남 치아미백 효과 차이가 나는 이유| 클레어치과 글을 통해 병원의 한국어 정보 제공 방식과 진료 관련 안내 톤을 확인할 수 있습니다.
원문 검증
필요하면 원문 블로그와 병원 프로필로 바로 이동해 문맥을 다시 확인할 수 있습니다.
출처 아카이브 열기미백 상담을 진행하다 보면
가장 많이 듣는 질문이 있습니다.
“얼마나 밝아질 수 있나요?”
강남치아미백 상담에서도
많은 분들이 가장 궁금해하시는 부분입니다.
치아 미백 결과는
현재 치아 색상과 착색 정도에 따라
개인마다 차이가 있습니다.
커피나 와인, 흡연 등으로 생긴 착색이나
치아 자체의 색상에 따라
밝아질 수 있는 정도가 달라지기 때문입니다.
그래서 치과치아미백 상담에서는
바로 시술을 진행하기보다는
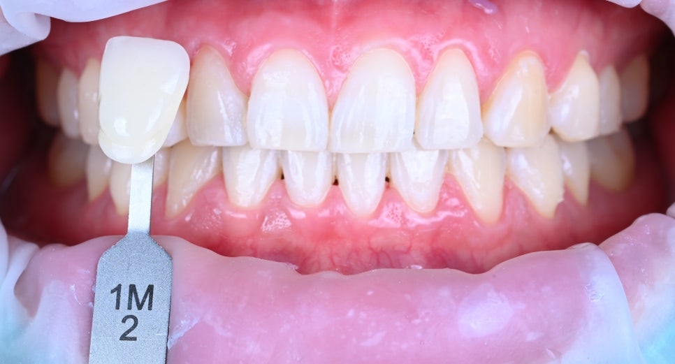
먼저 현재 치아 색상과 착색 상태를 확인하는 과정이 필요합니다.
특히 강남치아미백 상담에서는
치아 색상 단계(쉐이드)를 확인하고
착색 원인을 함께 살펴본 뒤
개인에게 맞는 미백 계획을 세우게 됩니다.
치아 반응도에 맞춰
미백 약제의 농도와 시술 시간을 조절하면
과하게 하얗기보다는
자연스럽고 안정적인 밝기 변화를 기대할 수 있습니다.
치과에서 진행하는 전문 치아미백은
단순히 치아를 하얗게 만드는 것이 아니라
치아 본연의 색을 깨끗하게 정리하고
밝고 건강한 인상을 만드는 과정입니다.
실제로 강남치아미백 상담을 오시는 분들 중에는
치아 색 때문에 웃을 때 신경이 쓰이거나
사진에서 치아가 어둡게 보여 고민하셨던 분들도 많습니다.
치아 색이 정리되면
생각보다 인상이 훨씬 밝아 보일 수 있습니다.
아래 환자분은 클레어블랑 치아미백 프로그램으로 누렁니를 탈출한 환자입니다.
당신도 그렇게 될수 있어요.

📍 강남 선릉 클레어치과
자연스러운 밝기 변화를 위한
맞춤 강남치아미백 상담을 진행하고 있습니다.

강남치아미백, 선릉치아미백, 삼성동치아미백, 대치동치아미백, 언주치아미백, 학동치아미백
강남치아미백, 선릉역 치아미백 맛집 클레어치과가 궁금하시면?

#강남라미네이트, #선릉치과, #선릉라미네이트, #라미네이트, #미백, #선릉역치과, #선릉역미백치과, #역삼동미백치과