아카이브 요약
이 페이지의 역할
클레어치과의원의 네이버 블로그 원문을 보존한 아카이브 페이지입니다. 미백 시술일지 카테고리의 강남치아미백, 치아 색만 정리했을 뿐인데 인상이 달라졌습니다 | 선릉치아미백 글을 통해 병원의 한국어 정보 제공 방식과 진료 관련 안내 톤을 확인할 수 있습니다.
원문 검증
필요하면 원문 블로그와 병원 프로필로 바로 이동해 문맥을 다시 확인할 수 있습니다.
출처 아카이브 열기아카이브된 블로그 글
클레어치과의원 · Naver Blog
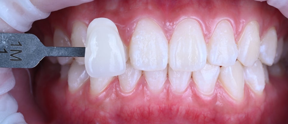
치아 색만 정리했을 뿐인데 전체 분위기가 달라 보이는 경우가 있습니다. 강남치아미백 상담을 하다 보면 “치아 모양을 바꿔야 할까요?” “라미네이트 해야 하나요?” 이렇게 고민하시는 분들이 많습니다. 본 사진은 예시 이미지 연출컷입니다. 삼성동치아미백 하지만 실제로는 치아 색만 정리해도 인상이 훨씬 깨끗해...
게시일
2026년 3월 4일
원문 기준으로 확인된 발행일입니다.
카테고리
미백 시술일지
원문 블로그 카테고리를 정리해 함께 표시합니다.
이미지 수
3
현재 아카이브에 연결된 이미지 수입니다.
아카이브 요약
클레어치과의원의 네이버 블로그 원문을 보존한 아카이브 페이지입니다. 미백 시술일지 카테고리의 강남치아미백, 치아 색만 정리했을 뿐인데 인상이 달라졌습니다 | 선릉치아미백 글을 통해 병원의 한국어 정보 제공 방식과 진료 관련 안내 톤을 확인할 수 있습니다.
원문 검증
필요하면 원문 블로그와 병원 프로필로 바로 이동해 문맥을 다시 확인할 수 있습니다.
출처 아카이브 열기치아 색만 정리했을 뿐인데
전체 분위기가 달라 보이는 경우가 있습니다.
강남치아미백 상담을 하다 보면
“치아 모양을 바꿔야 할까요?”
“라미네이트 해야 하나요?”
이렇게 고민하시는 분들이 많습니다.

본 사진은 예시 이미지 연출컷입니다. 삼성동치아미백
하지만 실제로는
치아 색만 정리해도 인상이 훨씬 깨끗해 보이는 경우가 많습니다.
특히 커피, 와인, 흡연 등으로 인해
치아가 전체적으로 노란 톤을 띄게 되면
✔ 웃을 때 밝기가 떨어지고
✔ 피부 톤도 어둡게 보일 수 있습니다.
그래서 강남치아미백 상담 시 가장 먼저 확인하는 것이
현재 치아 색과 착색 정도입니다.
클레어치과는 공장형 미백 치과가 아닌
원장님이 직접 치아색을 확인 하고 약제 배합등 처방을 내려주는 시스템입니다.

전문가 미백을 통해 치아 밝기를 조절하면
과한 변화 없이 자연스럽게
이미지가 개선되는 효과를 얻을 수 있습니다.
특히 웃을 때 보이는 앞니의 밝기가 달라지면서
전체적인 인상이 훨씬 부드럽고 깔끔해 보일 수 있습니다.
선릉치아미백 상담 시 가장 많이 듣는 질문
“미백하면 치아가 많이 시린가요?”
클레어블랑 치아 미백 프로그램은
약제 농도와 적용 시간을 조절하면서
이 시림을 최소화하면서 톤을 올리는 방식으로 진행됩니다.
특히 선릉치아미백 클레어치과에서는
환자분 치아 상태에 맞춰
약제 농도 조절
도포 횟수 조절
미백 후 홈케어 관리
까지 함께 진행하고 있습니다.

#강남라미네이트, #선릉치과, #선릉라미네이트, #라미네이트, #미백, #선릉역치과, #선릉역미백치과, #역삼동미백치과