아카이브 요약
이 페이지의 역할
클레어치과의원의 네이버 블로그 원문을 보존한 아카이브 페이지입니다. 미백 시술일지 카테고리의 강남치아미백치과| 미백을 고민하고 있다면 먼저 확인해야 할 것 글을 통해 병원의 한국어 정보 제공 방식과 진료 관련 안내 톤을 확인할 수 있습니다.
원문 검증
필요하면 원문 블로그와 병원 프로필로 바로 이동해 문맥을 다시 확인할 수 있습니다.
출처 아카이브 열기아카이브된 블로그 글
클레어치과의원 · Naver Blog
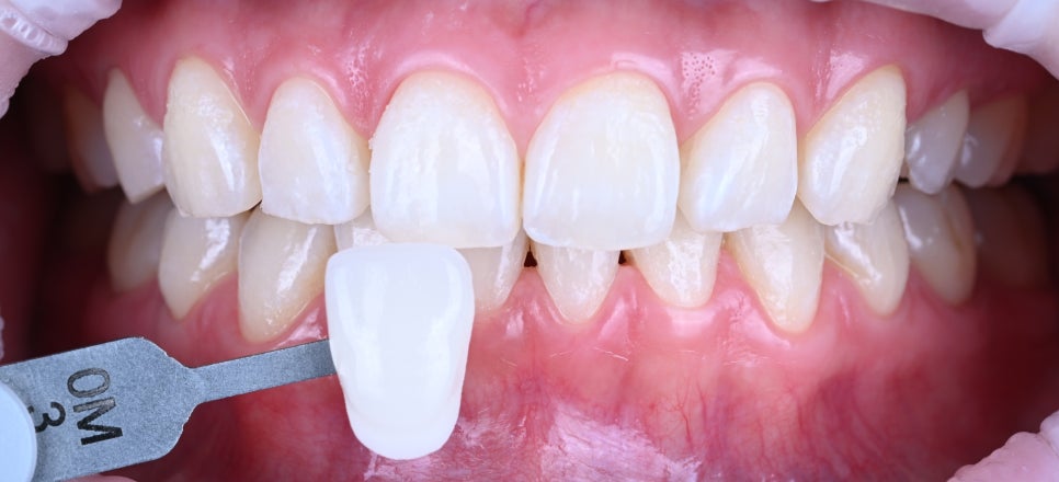
치아 미백을 진행하기 전에는 현재 치아 색상과 착색 원인 먼저 확인하는 과정이 필요합니다. 본 사진은 예시 이미지 연출컷입니다. 삼성동치아미백 치아 미백은 단순히 약제를 바른다고 모두 같은 결과가 나오지 않습니다. ✔ 현재 치아 색상의 원인 ✔ 치석 및 착색 여부 ✔ 기존 레진 / 보철물 유무 ✔ 치아 민감...
게시일
2026년 3월 4일
원문 기준으로 확인된 발행일입니다.
카테고리
미백 시술일지
원문 블로그 카테고리를 정리해 함께 표시합니다.
이미지 수
3
현재 아카이브에 연결된 이미지 수입니다.
아카이브 요약
클레어치과의원의 네이버 블로그 원문을 보존한 아카이브 페이지입니다. 미백 시술일지 카테고리의 강남치아미백치과| 미백을 고민하고 있다면 먼저 확인해야 할 것 글을 통해 병원의 한국어 정보 제공 방식과 진료 관련 안내 톤을 확인할 수 있습니다.
원문 검증
필요하면 원문 블로그와 병원 프로필로 바로 이동해 문맥을 다시 확인할 수 있습니다.
출처 아카이브 열기치아 미백을 진행하기 전에는
현재 치아 색상과 착색 원인
먼저 확인하는 과정이 필요합니다.

본 사진은 예시 이미지 연출컷입니다. 삼성동치아미백
치아 미백은
단순히 약제를 바른다고 모두 같은 결과가 나오지 않습니다.
✔ 현재 치아 색상의 원인
✔ 치석 및 착색 여부
✔ 기존 레진 / 보철물 유무
✔ 치아 민감도
이런 요소들을 먼저 확인해야
안전하고 효과적인 미백 결과를 만들 수 있습니다.
클레어치과는
환자 개개인의 치아 상태에 맞춰
약제 농도와 미백 방법을 맞춤 설계합니다.
무작정 시작하는 미백이 아니라
“내 치아에 맞는 미백”부터 확인하세요.

미백 후
착색 정도와 치아 상태에 따라
미백 횟수와 방법이 달라질 수 있기 때문입니다.
강남치아미백 클레어치과, 선릉치아미백 클레어치과와
정확한 진단을 바탕으로 진행하면
자연스러운 밝기 개선 효과를 기대할 수 있습니다.

#강남라미네이트, #선릉치과, #선릉라미네이트, #라미네이트, #미백, #선릉역치과, #선릉역미백치과, #역삼동미백치과