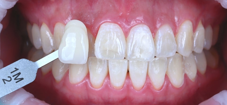
음식물 착색이 누적되면
치아 표면이 점차 노랗게 보이며
전체적인 치아 톤이 어두워질 수 있습니다.

본 사진은 예시 이미지 연출컷입니다. 삼성동치아미백
미백 치료를 통해

치아 표면 착색 완화와 함께
밝기 개선을 기대할 수 있습니다.

#강남라미네이트, #선릉치과, #선릉라미네이트, #라미네이트, #미백, #선릉역치과, #선릉역미백치과, #역삼동미백치과
아카이브된 블로그 글
클레어치과의원 · 선릉역치과 클레어치과|라미네이트·치아미백 전문 · 2026년 3월 10일
음식물 착색이 누적되면 치아 표면이 점차 노랗게 보이며 전체적인 치아 톤이 어두워질 수 있습니다. 본 사진은 예시 이미지 연출컷입니다. 삼성동치아미백 미백 치료를 통해 치아 표면 착색 완화와 함께 밝기 개선을 기대할 수 있습니다. ...
음식물 착색이 누적되면
치아 표면이 점차 노랗게 보이며
전체적인 치아 톤이 어두워질 수 있습니다.

본 사진은 예시 이미지 연출컷입니다. 삼성동치아미백
미백 치료를 통해

치아 표면 착색 완화와 함께
밝기 개선을 기대할 수 있습니다.

#강남라미네이트, #선릉치과, #선릉라미네이트, #라미네이트, #미백, #선릉역치과, #선릉역미백치과, #역삼동미백치과