아카이브 요약
이 페이지의 역할
클레어치과의원의 네이버 블로그 원문을 보존한 아카이브 페이지입니다. 미백 시술일지 카테고리의 대치동 치아미백, 치과에서 하는 미백이 다른 이유 글을 통해 병원의 한국어 정보 제공 방식과 진료 관련 안내 톤을 확인할 수 있습니다.
원문 검증
필요하면 원문 블로그와 병원 프로필로 바로 이동해 문맥을 다시 확인할 수 있습니다.
출처 아카이브 열기아카이브된 블로그 글
클레어치과의원 · Naver Blog
치아 색이 어두워 보이면 실제 나이보다 더 피곤하고 칙칙한 인상을 줄 수 있습니다. 그래서 최근에는 대치동 치아미백 상담을 위해 치과를 찾는 분들이 많습니다. 커피, 와인, 흡연, 음식 색소 등으로 인해 치아는 시간이 지나면서 점점 노란 톤으로 변하게 됩니다. 이때 치아 표면을 깎는 시술이 아니라 치아 색 자체를 밝히는...
게시일
2026년 3월 10일
원문 기준으로 확인된 발행일입니다.
카테고리
미백 시술일지
원문 블로그 카테고리를 정리해 함께 표시합니다.
이미지 수
2
현재 아카이브에 연결된 이미지 수입니다.
아카이브 요약
클레어치과의원의 네이버 블로그 원문을 보존한 아카이브 페이지입니다. 미백 시술일지 카테고리의 대치동 치아미백, 치과에서 하는 미백이 다른 이유 글을 통해 병원의 한국어 정보 제공 방식과 진료 관련 안내 톤을 확인할 수 있습니다.
원문 검증
필요하면 원문 블로그와 병원 프로필로 바로 이동해 문맥을 다시 확인할 수 있습니다.
출처 아카이브 열기치아 색이 어두워 보이면
실제 나이보다 더 피곤하고 칙칙한 인상을 줄 수 있습니다.
그래서 최근에는 대치동 치아미백 상담을 위해 치과를 찾는 분들이 많습니다.
커피, 와인, 흡연, 음식 색소 등으로 인해 치아는 시간이 지나면서 점점 노란 톤으로 변하게 됩니다.
이때 치아 표면을 깎는 시술이 아니라 치아 색 자체를 밝히는 방법이 바로 치아미백입니다.
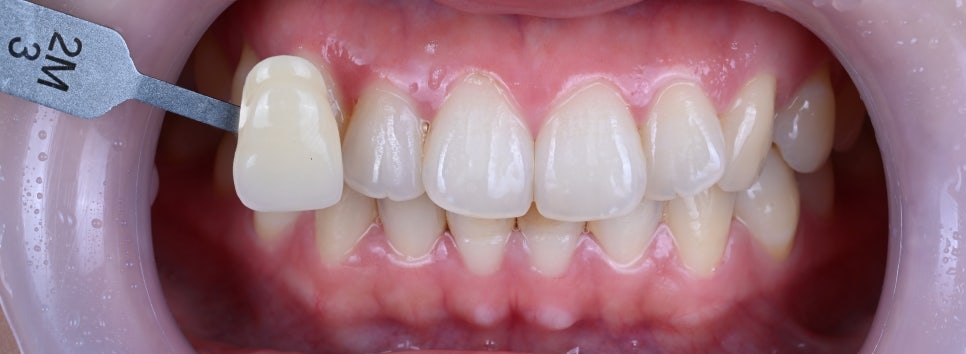
아래와 같은 누런이를 가지신 분들이 많은 내원을 해주세요.

환자분의 동의하에 제공된 사진입니다. 미백 전 사진
치과에서 하는 대치동 치아미백이 다른 이유
시중에서 판매되는 미백 제품과 달리
치과 미백은 전문 미백제를 사용해 빠른 톤업 효과를 기대할 수 있습니다.
특히 치과에서는
• 개인 치아 상태에 맞는 미백 농도 조절
• 잇몸 보호 후 안전하게 진행
• LED 미백 장비 사용
• 미백 후 색 유지 관리까지 안내
이러한 과정을 통해 보다 안전하고 효과적인 치아미백이 가능합니다.
미백 치료 후
치아 톤이 정돈되며
밝은 치아 이미지를 기대할 수 있습니다.
결과가 궁금하시면 미백 맛집 클레어치과 상담 받아보세요

#강남라미네이트, #선릉치과, #선릉라미네이트, #라미네이트, #미백, #선릉역치과, #선릉역미백치과, #역삼동미백치과