아카이브 요약
이 페이지의 역할
클레어치과의원의 네이버 블로그 원문을 보존한 아카이브 페이지입니다. 김유나원장 라미네이트 시술일지 카테고리의 치아교정 3년 대신 선택한 방법 앞니라미네이트|강남 클레어치과 글을 통해 병원의 한국어 정보 제공 방식과 진료 관련 안내 톤을 확인할 수 있습니다.
원문 검증
필요하면 원문 블로그와 병원 프로필로 바로 이동해 문맥을 다시 확인할 수 있습니다.
출처 아카이브 열기아카이브된 블로그 글
클레어치과의원 · Naver Blog
교정할까? 라미네이트 할까? 교정을 해야 한다는 이야기를 들었지만 시간이 부담스러워 고민하시는 분들이 많습니다. 특히 앞니가 많이 틀어져 있는 경우 “이건 무조건 교정”이라는 말을 듣고 시작도 못 하는 경우가 많죠. 그런데 실제로는 교정이 아닌 다른 방법으로도 개선이 가능한 경우가 있습니다. ✔ 교정이 필요한 케...
게시일
2026년 3월 18일
원문 기준으로 확인된 발행일입니다.
카테고리
김유나원장 라미네이트 시술일지
원문 블로그 카테고리를 정리해 함께 표시합니다.
이미지 수
5
현재 아카이브에 연결된 이미지 수입니다.
아카이브 요약
클레어치과의원의 네이버 블로그 원문을 보존한 아카이브 페이지입니다. 김유나원장 라미네이트 시술일지 카테고리의 치아교정 3년 대신 선택한 방법 앞니라미네이트|강남 클레어치과 글을 통해 병원의 한국어 정보 제공 방식과 진료 관련 안내 톤을 확인할 수 있습니다.
원문 검증
필요하면 원문 블로그와 병원 프로필로 바로 이동해 문맥을 다시 확인할 수 있습니다.
출처 아카이브 열기교정할까? 라미네이트 할까?
교정을 해야 한다는 이야기를 들었지만
시간이 부담스러워 고민하시는 분들이 많습니다.
특히 앞니가 많이 틀어져 있는 경우
“이건 무조건 교정”이라는 말을 듣고
시작도 못 하는 경우가 많죠.
그런데 실제로는
교정이 아닌 다른 방법으로도 개선이 가능한 경우가 있습니다.
✔ 교정이 필요한 케이스인데 라미네이트가 가능할까?
결론부터 말씀드리면
👉 케이스에 따라 가능합니다.
치열이 틀어져 있다고 해서
무조건 교정만이 정답은 아닙니다.
중요한 건
틀어진 정도
치아 크기와 비율
잇몸 라인
전체적인 얼굴 균형
이 모든 요소를 함께 고려해서
가장 자연스럽게 보이는 방향을 선택하는 것입니다.
✔ 교정 vs 라미네이트, 뭐가 다를까요?
🔹 교정
치아를 이동시켜 배열을 바꾸는 방법
평균 1~3년 소요
근본적인 위치 개선
🔹 라미네이트
치아 표면을 정리하고 디자인하는 방법
비교적 짧은 기간 내 변화 가능이미지 개선에 강점
👉 즉,
교정은 “구조를 바꾸는 치료”
라미네이트는 “보이는 결과를 디자인하는 치료”입니다.
그리고 의외로 교정이 끝나고도 라미네이트를 추가로 하는 경우가 많아요.
왜냐?
첫째, 교정을 받는동안 치아 관리가 안되서 치아가 많이 누래져서
둘째, 교정은 치아배열은 개선이 되나 치아 본연의 모양은 개선이 안됩니다.
셋째, 교정을 받는 동안 치아 관리가 안되서 치아 사이에 충치가 많이 생기거나 치아가 많이 부식되어서

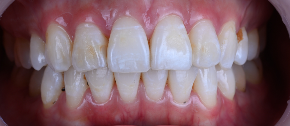
타치과 교정 후 배열은 많이 개선되었으나 탈회나 치아 사이 충치가 많이 생긴 상태
✔ 이런 분들께 라미네이트가 적합합니다
교정 기간이 부담스러운 경우
앞니 위주의 불균형이 고민인 경우
빠른 이미지 개선이 필요한 경우
자연스럽게 정리된 느낌을 원하는 경우
특히
👉 **“웃을 때 보이는 앞니 라인”**이 고민이라면
라미네이트로 만족도 높은 결과를 얻는 경우가 많습니다.
강남 클레어치과는
강남 라미네이트 치과 중에서도
최소 삭제를 원칙으로 치아 성형 라미네이트를 진행합니다.
이런 케이스도 라미네이트가 가능할까요?
환자분 역시
“이게 가능할까?”라는 고민으로 시작하셨지만,

삐뚠치아 라미네이트

환자분의 동의하에 제공한 사진입니다
결과에 매우 만족하셨습니다.
처음에는 윗 치아만 진행하셨다가
변화에 대한 만족도가 높아
아래 치아까지 추가로 진행하셨습니다.
라미네이트 결과 궁금하시면 클레어 치과로 상담해주세요!
강남 클레어치과는 현재 특허 라미네이트 이벤트 중이랍니다!
내 치아도 가능할지 상담으로 확인해보세요!

강남 라미네이트 선릉 라미네이트 삼성동 라미네이트
앞니 라미네이트는 역시 클레어치과
