강남 치과 퍼펙트치과
노인임플란트 건강보험 혜택
안녕하세요~ 오랜만에 찾아 뵙네요 :D 요즘 날씨가 많이 쌀쌀해졌어요 ㅠㅠ 이제 본격적으로 가을이..아니 겨울..이 다가 오는거 같네요 다들 감기 조심하시고 옷 따뜻하게 입으세요 :) 오늘은 노인임플란트 건강보험에 대해 이야기해볼까 합니다! 노인임플란트 건강보험에 대해 이야기하기 전에 알려드릴 게 있어요...
아카이브 요약
이 페이지의 역할
강남 치과 퍼펙트치과 | gangnam dentist clinic Perfect Dentistry | 江南 歯科 パーフェクト歯科의 네이버 블로그 원문을 보존한 아카이브 페이지입니다. 임플란트 카테고리의 노인임플란트 건강보험 혜택 글을 통해 병원의 한국어 정보 제공 방식과 진료 관련 안내 톤을 확인할 수 있습니다.

안녕하세요~ 오랜만에 찾아 뵙네요 :D
요즘 날씨가 많이 쌀쌀해졌어요 ㅠㅠ
이제 본격적으로 가을이..아니 겨울..이 다가 오는거 같네요
다들 감기 조심하시고 옷 따뜻하게 입으세요 :)
오늘은 노인임플란트 건강보험에 대해 이야기해볼까 합니다!

노인임플란트 건강보험에 대해 이야기하기 전에 알려드릴 게 있어요!
선릉역에 위치한 퍼펙트치과는 오스템임플란트 자문치과로
다양한 케이스들의 임플란트 수술과
인정받은 정품제품사용을 원칙으로 하고 있습니다.

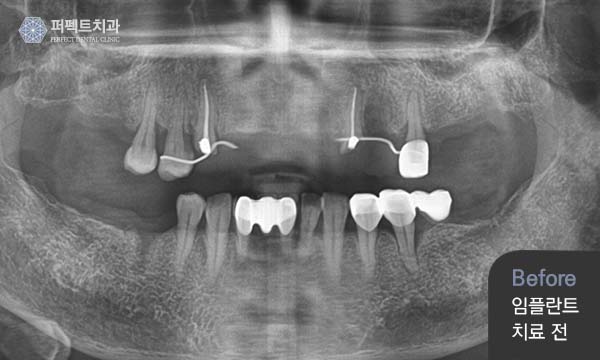
만약 치아가 없다면?
정말 많이 불편하겠죠?
상실한 치아를 방치해도 문제가 일어나는데요!

치아사이가 벌어져 보기 않좋아질 수 도 있고,
음식을 잘 씹을 수가 없어 소화기능이 떨어질 수 도 있습니다.
또, 빈공간으로 나머지 치아들이 드러누워
치열이 변형되기도 하고요

지금 이글을 보고 계시는 분들 중에서도
임플란트 치료를 찾고 계시는 분들도 계실거고,
본인이 아닌 부모님이 필요해 알아보고 계시는 분들도 계실겁니다.

그리고 여러분 그거 아시나요?
노인임플란트 건강보험!
위의 내용을 보면 아시겠지만 해당사항이 있어야
노인임플란트 건강보험에 적용이 되니 확인해두시길 바랍니다.

그리고 퍼펙트치과에서 사용하고 있는 오스템임플란트는
인정받은 제품으로 걱정안하셔도 됩니다.
다음은 대부분 치과에서 사용하고 있는
오스템임플란트에 대해 알려드릴게요 :D

임플란트를 치료를 하는 치과들은 많습니다.
하지만 임플란트는 제 2의 치아라고 불릴만큼
중요하기 때문에 잘 알아보고 치료를 받으셔야 합니다.

퍼펙트치과는 다양한 케이스와
풍부한 임플란트 식립경험으로 임플란트를 찾는 환자분들에게
신뢰를 주고 만족하실 수 있는 치료를 하고 있습니다.

과잉진료가 아닌 정직진료! 양심진료!로
환자분을 가족같이 생각해 무리한 시술이 아닌
정말 필요한 시술만 받으실 수 있습니다.

치료도중 추가되는 충치치료 비용이 부담스러우신 분들이 계십니다.
그런분들을 위해 퍼펙트치과에서는
충치데이 우대가로 치료해드리고 있습니다.

부담되는 임플란트를 퍼펙트치과의 펙트모델신청으로
말도 안되는 비용으로 치료를 받아보실 수 있습니다.
자세한 내용은 홈페이지에 나와있습니다.
꼭 참고해주시길 바랍니다 :)
퍼펙트치과
02.544.7728
선릉역 6,7번 출구 바로앞 위치
도보 1분거리에 위치해 있습니다.
더 보기
이 병원의 공개 콘텐츠를 계속 살펴보세요
출처 아카이브로 돌아가 더 많은 글을 보거나, 병원 프로필로 이동해 다른 공개 채널도 함께 비교해보세요.