아카이브 요약
이 페이지의 역할
퍼펙트치과의원 강남역점의 네이버 블로그 원문을 보존한 아카이브 페이지입니다. 일반진료 카테고리의 선릉 충치치료 인레이 알아보기! 글을 통해 병원의 한국어 정보 제공 방식과 진료 관련 안내 톤을 확인할 수 있습니다.
원문 검증
필요하면 원문 블로그와 병원 프로필로 바로 이동해 문맥을 다시 확인할 수 있습니다.
출처 아카이브 열기아카이브된 블로그 글
퍼펙트치과의원 강남역점 · Naver Blog
여러분들 양치질 잘 하고 계시나요? 식사 후 양치질을 꼭 하셔야 합니다! 그리고 술을 좋아하시는 분들은 더더욱 신경 쓰셔서 양치질을 하셔야 하구요 ㅠㅠ 한번 생긴 충치는 절대 자연치유가 되지 않아 치아관리를 잘하셔야 합니다. 탄산, 설탕 등의 탄수화물들이 이 사이에 끼어 남아 있을대 박테리아가 이것을 먹...
게시일
2020년 2월 7일
원문 기준으로 확인된 발행일입니다.
카테고리
일반진료
원문 블로그 카테고리를 정리해 함께 표시합니다.
이미지 수
14
현재 아카이브에 연결된 이미지 수입니다.
아카이브 요약
퍼펙트치과의원 강남역점의 네이버 블로그 원문을 보존한 아카이브 페이지입니다. 일반진료 카테고리의 선릉 충치치료 인레이 알아보기! 글을 통해 병원의 한국어 정보 제공 방식과 진료 관련 안내 톤을 확인할 수 있습니다.
원문 검증
필요하면 원문 블로그와 병원 프로필로 바로 이동해 문맥을 다시 확인할 수 있습니다.
출처 아카이브 열기
여러분들 양치질 잘 하고 계시나요?
식사 후 양치질을 꼭 하셔야 합니다!
그리고 술을 좋아하시는 분들은 더더욱 신경 쓰셔서
양치질을 하셔야 하구요 ㅠㅠ
한번 생긴 충치는 절대 자연치유가 되지 않아
치아관리를 잘하셔야 합니다.

탄산, 설탕 등의 탄수화물들이 이 사이에 끼어
남아 있을대 박테리아가 이것을 먹게 됩니다.
그럼 산성 물질을 만들어 내는데
시간이 지남에 따라 이 산성 물질이 치아를 손상시켜
충치를 일으키게 됩니다.

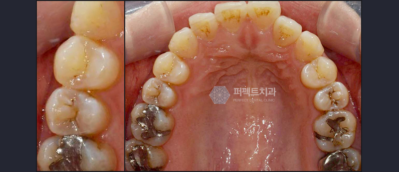
충치치료 전

충치치료 후
위 사진은 실제 퍼펙트치과 환자분의 충치치료 치료 전/후 사진입니다.
환자분들에게 정확한 사실로
환자분에게 맞는 치료를 해드리고 있습니다.

충치에도 단계가 있습니다.
초기충치 -> 중기충치 -> 말기충치
하지만 말기충치까지 가버렸다면
신경치료를 해야하고 심하면
발치까지 이어지는 경우가 있습니다.

레진은 간단한 충치치료로
당일치료가 가능한 충치 치료법입니다.
충치가 생겼는데 아프지 않고 티가 나지 않는다고
계속 미루다 보면 충치는 점점 악화됩니다.

인레이는 중기충치 일때 사용되는 치료법입니다.
부분치아 조각을 사전 제작한 뒤
충치를 제거한 부위에 충전하는 치료법이죠.
인레이 종류에는 레진인레이, 세라믹 인레이, 골드 인레이가 있습니다.
간단하게 설명해드리자면!
레진(테세라)인레이는 낮은 비용에 심미적인 치료가 가능하고,
세라믹 인레이에 비해 강도가 낮고 음식물에 의한 변색이 취약합니다
세라믹(테세라)인레이는 레진(테세라)인레이의 약한 강도를
보완하여 개발되었습니다.
퍼펙트치과에서는 대다수의 치과들이 사용하고 인정하는
3M 세라믹인레이를 사용하고 있습니다.
골드 인레이는 인체친화적이며 적당한 강도를 가지고 있습니다.
하지만 색상으로 인해 심미적이지 못해 주로 어금니 부분에 많이 쓰입니다.
(퍼펙트치과 골드 인레이 금 함유량 87%)

충치치료를 미루신 분들을 보면
비용은 비용대로 시간은 시간대로 들어갑니다.
그래서 초기에 충치를 발견 하신 분들은
바로바로 치과에 내원하셔서
충치치료를 받아야 합니다.


선릉 퍼펙트치과에서는
오로지 인정받은 정품제품들만 사용하고 있습니다.
더 자세하게 알고 싶으신 분들은
퍼펙트치과 홈페이지를 참고해주시면 됩니다.


충치치료에 대한 무서움을 조금이나마 덜어드리기 위해
무통 마취기기를 도입했습니다.
이제는 통증에 대한 두려움 없이 편안한게
충치치료를 받아보실 수 있습니다.

정말 투명하고 맑은 진료로 환자분들이 불쾌함 느끼지 않고
치과에 대한 두려움과 오해를 떨칠 수 있도록
노력하고 있는 퍼펙트치과입니다 :)

퍼펙트치과에서 진행하과 있는 충치데이는 날짜가 지정되어 있습니다.
많은 충치치료로 비용이 부담되시는 분들은
충치 DAY를 이용해보세요!
단 날짜가 지정되어 있어 홈페이지를 꼭!
참고해주셔야 합니다 :)
예약은 전화로 부탁드립니다.
☎ 02.544.7728
퍼펙트치과
02.544.7728
선릉역 6,7번 출구 바로 앞 도보 1분거리 입니다.
[평일 화/수 야간진료]
화·수 - 오전 10시 ~ 오후 9시