아카이브 요약
이 페이지의 역할
퍼펙트치과의원 강남역점의 네이버 블로그 원문을 보존한 아카이브 페이지입니다. 치아성형 카테고리의 [부정교합+충치] 복합적인 문제를 가진 치아, 치료결과는? 글을 통해 병원의 한국어 정보 제공 방식과 진료 관련 안내 톤을 확인할 수 있습니다.
원문 검증
필요하면 원문 블로그와 병원 프로필로 바로 이동해 문맥을 다시 확인할 수 있습니다.
출처 아카이브 열기아카이브된 블로그 글
퍼펙트치과의원 강남역점 · Naver Blog
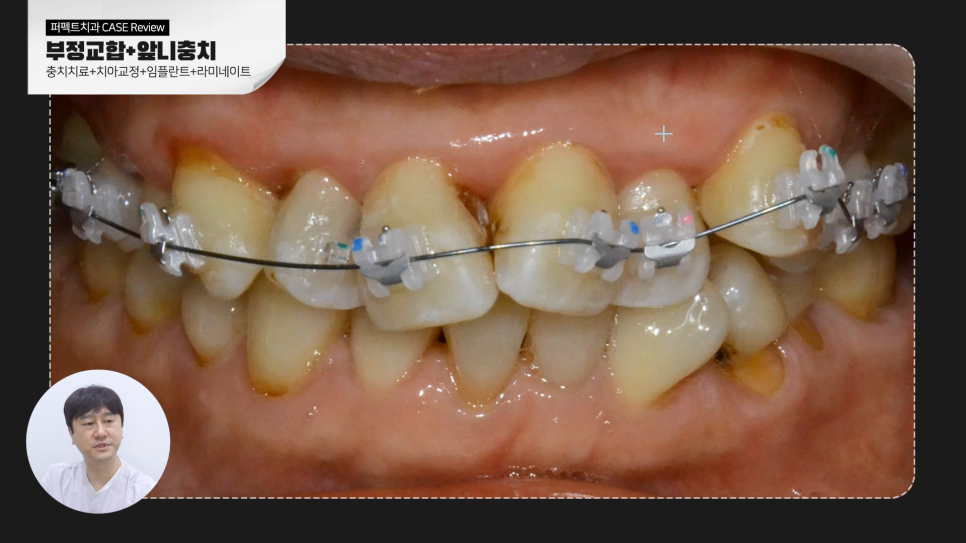
부정교합 + 앞니 충치 + 치아상실 이번 케이스는 복합적인 문제를 가지고 있습니다. 치료 전 정면 치아 상태만 봐도 상태가 좋지 않다는 것을 확인할 수 있습니다. 자세히 들여다보니 치아 배열과 교합이 맞지 않은 부정교합을 가지고 있었고 그러다 보니 치아 사이에 충치도 많이 보이고 있네요. 잇몸 상태도 안 좋았습니다...
게시일
2020년 12월 3일
원문 기준으로 확인된 발행일입니다.
카테고리
치아성형
원문 블로그 카테고리를 정리해 함께 표시합니다.
이미지 수
5
현재 아카이브에 연결된 이미지 수입니다.
아카이브 요약
퍼펙트치과의원 강남역점의 네이버 블로그 원문을 보존한 아카이브 페이지입니다. 치아성형 카테고리의 [부정교합+충치] 복합적인 문제를 가진 치아, 치료결과는? 글을 통해 병원의 한국어 정보 제공 방식과 진료 관련 안내 톤을 확인할 수 있습니다.
원문 검증
필요하면 원문 블로그와 병원 프로필로 바로 이동해 문맥을 다시 확인할 수 있습니다.
출처 아카이브 열기![[부정교합+충치] 복합적인 문제를 가진 치아, 치료결과는? 관련 이미지 1](https://pub-9f2bb3498faf4d1d8714b41df24753e3.r2.dev/content/clinics/archive/ngndjb4v8n/naver_blog/bsdc07/assets/by_hash/efbcdd7ab94ac6cef3a3219512e975ec2f3eac0161bd6f6e98c3513457619127.jpg)
부정교합 + 앞니 충치 + 치아상실
이번 케이스는 복합적인 문제를 가지고 있습니다.
치료 전 정면 치아 상태만 봐도 상태가 좋지 않다는 것을 확인할 수 있습니다.
자세히 들여다보니 치아 배열과 교합이 맞지 않은 부정교합을 가지고 있었고
그러다 보니 치아 사이에 충치도 많이 보이고 있네요. 잇몸 상태도 안 좋았습니다.
심지어 어금니 부위는 치아를 상실한 상태기에 복합적인 문제를 해결하기 위해서는
한 가지 치료가 아닌 충치치료, 교정치료, 보철치료, 임플란트까지
치과에서 할 수 있는 다양한 치료가 동반되어야 했습니다.
![[부정교합+충치] 복합적인 문제를 가진 치아, 치료결과는? 관련 이미지 2](https://pub-9f2bb3498faf4d1d8714b41df24753e3.r2.dev/content/clinics/archive/ngndjb4v8n/naver_blog/bsdc07/assets/by_hash/acff559b81b4dce41837602c6dcdd5b595153dd080d401f8737083d92a234e83.png)
![[부정교합+충치] 복합적인 문제를 가진 치아, 치료결과는? 관련 이미지 3](https://pub-9f2bb3498faf4d1d8714b41df24753e3.r2.dev/content/clinics/archive/ngndjb4v8n/naver_blog/bsdc07/assets/by_hash/8779cb6808f032ec89449fb6d405c0f4000515d6669db5dad935ce6fef92d9b9.png)
![[부정교합+충치] 복합적인 문제를 가진 치아, 치료결과는? 관련 이미지 4](https://pub-9f2bb3498faf4d1d8714b41df24753e3.r2.dev/content/clinics/archive/ngndjb4v8n/naver_blog/bsdc07/assets/by_hash/1ffe256d8f16ecad4804147d560597c262253b53da542673cf6ae275a6455d16.png)
![[부정교합+충치] 복합적인 문제를 가진 치아, 치료결과는? 관련 이미지 5](https://pub-9f2bb3498faf4d1d8714b41df24753e3.r2.dev/content/clinics/archive/ngndjb4v8n/naver_blog/bsdc07/assets/by_hash/4b27eee481607d1e0d4be2d16b49d71e96d78e0266f442bcc700083cf1f1e196.png)
충치가 더 진행되기 전에 충치치료를 먼저 진행하고 부정교합을 개선하기 위해 전체교정을 진행했습니다. 클리피씨(clippy-ceramic) 장치를 사용해 교정을 진행하였는데 치아의 이동이 원활해 교정 기간은 약 10개월 정도 소요되었습니다. 교정으로 치아 배열이 가지런하게 된 덕분에 앞니 충치를 제거 후 자연 치아를 많이 손대지 않고도 심미보철 '라미네이트'를 통해 치료와 동시에 심미적으로 개선할 수 있었습니다.
이 분의 경우 처음 치료를 시작하고 임플란트 보철을 올려 마무리하기까지 이 모든 과정을 1년 1개월 만에 마칠 수 있었습니다. 아픈 치아를 치료하고, 없는 치아를 회복하면서 예쁜 치아로 완성될 수 있었고 환자분도 아주 만족했습니다. 이렇게 많은 치료를 동시에 하면서 짧은 기간 내에 좋은 결과를 볼 수 있었던 것은 환자분께서 치료 계획을 잘 따라주었기 때문인데요, 환자분이 잘 협조해 주신다면 좀 더 좋은 결과를 부를 수 있습니다.
치료 결과는 아래 영상을 통해 확인해볼 수 있습니다.
위의 환자분처럼 치아에 문제가 있다면 적극적으로 해결해야 합니다. 치아에 생긴 문제는 시간이 지난다고 해서 해결되지 않기에
통증이 있거나 치아를 상실했거나 관리에 어려움이 있다면 치과의사와 치과위생사의 도움으로 이를 치료하고 개선할 수 있습니다.
퍼펙트치과의원은 모든 진료팀이 치위생학 전공후 보건복지부 국가고시를 합격한 치과위생사 선생님들과
보건복지부인증 통합 치의학과 전문의인 원장님들이 진료합니다.
전화 02.544.7728
KAKAO 채널 '퍼펙트치과의원'검색