강남 치과 퍼펙트치과
교정 후 다시 치아가 틀어졌다면? 치아재교정 하세요!
주변에서 치아가 고른 분들을 보시면 대부분 어렸을 때 교정을 한 케이스가 많습니다. 어렸을 때 교정을 하신 분들 중, 성장하면서 다시 치아가 틀어지거나 혹은 성인이 되어 교정을 했지만, 유지장치 착용에 소홀하거나 관리 부족으로 인해 다시 치아가 틀어진 경우를 볼 수 있는데요. 이런 경우 다시...
아카이브 요약
이 페이지의 역할
강남 치과 퍼펙트치과 | gangnam dentist clinic Perfect Dentistry | 江南 歯科 パーフェクト歯科의 네이버 블로그 원문을 보존한 아카이브 페이지입니다. 치아교정 카테고리의 교정 후 다시 치아가 틀어졌다면? 치아재교정 하세요! 글을 통해 병원의 한국어 정보 제공 방식과 진료 관련 안내 톤을 확인할 수 있습니다.

주변에서 치아가 고른 분들을 보시면 대부분 어렸을 때 교정을 한 케이스가 많습니다.
어렸을 때 교정을 하신 분들 중, 성장하면서 다시 치아가 틀어지거나 혹은 성인이 되어
교정을 했지만, 유지장치 착용에 소홀하거나 관리 부족으로 인해 다시 치아가 틀어진
경우를 볼 수 있는데요.
이런 경우 다시 치과에 방문하시어 재교정에 대해 문의하시는 분들이 종종 계십니다.
재교정이 불가능한 것은 아니지만 교정치료는 잇몸에 무리를 줄 수 있는만큼
재교정을 시작하시기 전 치과에 내원하시어 본인의 구강상태를 정확하게 파악하고
검진을 받은 후 치료를 시작하시는 것이 좋습니다.

앞서 말씀드린 것처럼 재교정을 하게 되는 원인은 다양한데요.
-
유지장치 부착 및 사후관리가 소홀했을 경우
-
결과가 마음에 들지않거나 옹니가 되었을 경우
-
교정 후 성장 및 구강질환에 의한 치열변형
-
바르지 못한 기능 또는 잘못된 습관에 의한 경우
위와 같은 원인으로 치아가 틀어진 것 같거나, 재교정이 필요하다고 생각되신다면
치과를 내원하시어 정확한 검진을 받아보시는 것을 추천해드립니다.

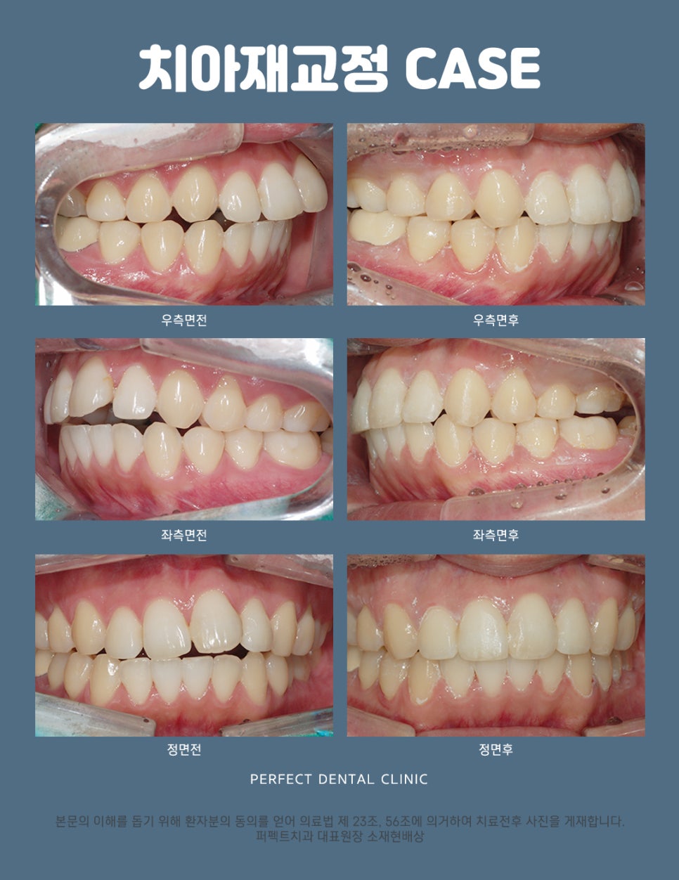
교정 후 재발이 심하게 일어나거나 교정 결과가 만족스럽지 않은 경우
정밀진단 결과에 따라 재교정을 하게 된 케이스입니다.
위 환자분은 교정이 끝나고 기간이 오래 지난 후에 재발된 케이스로 짧게 재교정을 진행하였습니다.
더 많은 교정 케이스를 확인하고싶다면 퍼펙트치과 홈페이지를 방문해보세요 :)

더 보기
이 병원의 공개 콘텐츠를 계속 살펴보세요
출처 아카이브로 돌아가 더 많은 글을 보거나, 병원 프로필로 이동해 다른 공개 채널도 함께 비교해보세요.