강남 치과 퍼펙트치과
변색된 레진👉라미네이트 교체
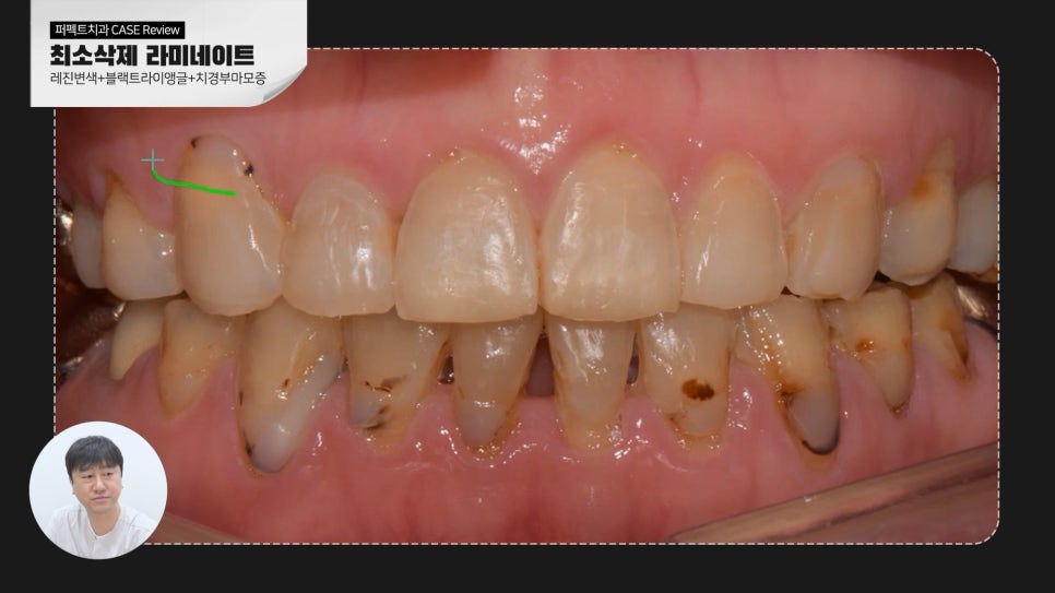
레진은 치아색과 유사하여 심미성이 좋아 충치치료 뿐만 아니라 블랙트라이앵글, 벌어진 치아 등 전치부의 심미적인 목적을 위한 치료에도 다양하게 사용되고 있습니다. 이 외에도 경제적이기 때문에 장점이 많은 치료이지만, 시간이 지나면 변색과 탈락의 가능성이 높아 이 때문에 재치료를 받거나 라미네이트 등...
아카이브 요약
이 페이지의 역할
강남 치과 퍼펙트치과 | gangnam dentist clinic Perfect Dentistry | 江南 歯科 パーフェクト歯科의 네이버 블로그 원문을 보존한 아카이브 페이지입니다. 치아성형 카테고리의 변색된 레진👉라미네이트 교체 글을 통해 병원의 한국어 정보 제공 방식과 진료 관련 안내 톤을 확인할 수 있습니다.

레진은 치아색과 유사하여 심미성이 좋아 충치치료 뿐만 아니라 블랙트라이앵글, 벌어진 치아 등
전치부의 심미적인 목적을 위한 치료에도 다양하게 사용되고 있습니다.
이 외에도 경제적이기 때문에 장점이 많은 치료이지만, 시간이 지나면 변색과 탈락의 가능성이 높아
이 때문에 재치료를 받거나 라미네이트 등 보철치료로 교체하시는 분들도 있습니다.
오늘은 변색된 레진을 최소삭제 라미네이트로 교체한 케이스에 대해 알아보겠습니다.


레진은 장점이 많은 치료이지만 말씀드린 것처럼 변색, 탈락의 가능성이 있기에
레진치료를 받아보신 후 만족하지 못한다면 라미네이트를 고려해보시라고 말씀드리고 있는데요.
환자분께서는 더 심미적이고 하얗고 가지런한 치아를 원하셨고
블랙트라이앵글 즉 치아 사이의 틈을 메꿀 수 있길 바라셨습니다.
때문에 웃을 때 보이는 치아 8전치 치료를 진행하기로 하였습니다.


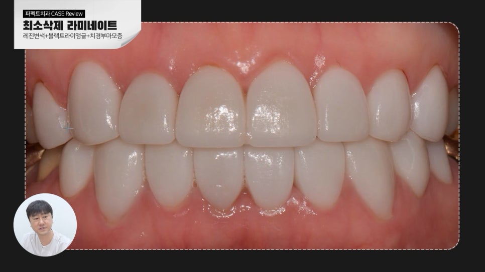
라미네이트를 통해 환자분이 개선되길 원하셨던 치아 사이 틈을 메꾸고 전보다 더
밝은 치아를 원하셨기 때문에 요구사항에 맞추어 치료를 진행했습니다.
가지런하고 고른 치열을 가지고 계셨기 때문에 0.1mm 최소삭제로 진행했는데요.
삭제량이 많이 않고 환자분께서 원하시던 목표에 도달하였기에 치료 결과에 크게 만족하셨습니다.

라미네이트시 색상선택을 어려워 하시는 분들도 계시는데 치료 진행시 충분한 상담을 거치고
환자분께서도 직접 색상을 볼 수 있기 때문에 내 상황과 나에게 어울리는 색상을
직접 선택하실 수 있습니다.
이때 치아색상팁을 치아에 직접 대보고 결정을 하는 것도 좋은 방법입니다.
라미네이트는 얇은 보철이기 때문에 시간이 지나면서 치아색상이 비치게되고,
색상이 다운되기 때문에 이 점을 염두에 두고 생각했던 색상보다 한단계 정도
밝은 색상을 하시는 것도 색상 선택에 좋은 팁이 될 수 있습니다.
레진치료와 라미네이트, 어떤 치료를 받아야할지 고민을 하시는 분들이 많습니다.
나에게 맞는 치료가 궁금하시다면 가까운 병원에 내원하셔서 상담을 받아보세요!
▲ 라미네이트 색상선택 과정 확인하기! ▲
더 보기
이 병원의 공개 콘텐츠를 계속 살펴보세요
출처 아카이브로 돌아가 더 많은 글을 보거나, 병원 프로필로 이동해 다른 공개 채널도 함께 비교해보세요.