아카이브 요약
이 페이지의 역할
퍼펙트치과의원 강남역점의 네이버 블로그 원문을 보존한 아카이브 페이지입니다. 치아성형 카테고리의 남자라미네이트, 폴리네이트 두가지 케이스 글을 통해 병원의 한국어 정보 제공 방식과 진료 관련 안내 톤을 확인할 수 있습니다.
원문 검증
필요하면 원문 블로그와 병원 프로필로 바로 이동해 문맥을 다시 확인할 수 있습니다.
출처 아카이브 열기아카이브된 블로그 글
퍼펙트치과의원 강남역점 · Naver Blog
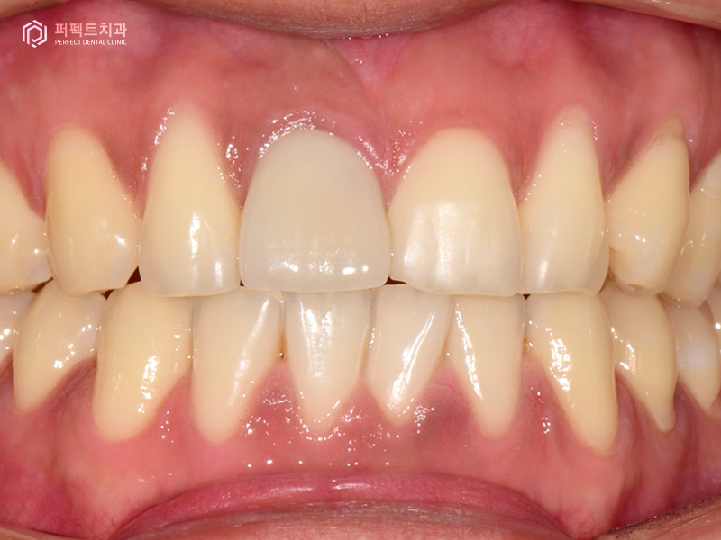
안녕하세요. 오늘은 남성 환자 두분의 폴리네이트 케이스를 확인해보도록 하겠습니다. 남자라미네이트, 케이스➊ 첫번째 환자분부터 확인해보도록 하겠습니다. 위 사진은 edge bite, 절단교합으로 치아 끝과 끝이 물리는 교합을 가진 환자분의 사진입니다. 치아 끝과 끝이 물리다보니 앞니가...
게시일
2022년 3월 9일
원문 기준으로 확인된 발행일입니다.
카테고리
치아성형
원문 블로그 카테고리를 정리해 함께 표시합니다.
이미지 수
11
현재 아카이브에 연결된 이미지 수입니다.
아카이브 요약
퍼펙트치과의원 강남역점의 네이버 블로그 원문을 보존한 아카이브 페이지입니다. 치아성형 카테고리의 남자라미네이트, 폴리네이트 두가지 케이스 글을 통해 병원의 한국어 정보 제공 방식과 진료 관련 안내 톤을 확인할 수 있습니다.
원문 검증
필요하면 원문 블로그와 병원 프로필로 바로 이동해 문맥을 다시 확인할 수 있습니다.
출처 아카이브 열기
안녕하세요. 오늘은 남성 환자 두분의 폴리네이트 케이스를 확인해보도록 하겠습니다.
남자라미네이트, 케이스➊


첫번째 환자분부터 확인해보도록 하겠습니다. 위 사진은 edge bite, 절단교합으로 치아 끝과 끝이 물리는 교합을 가진 환자분의 사진입니다. 치아 끝과 끝이 물리다보니 앞니가 닿는 부분이 다른 교합에 비해 잘 깨질 수밖에 없습니다.
또 혀가 나와있는 부분을 보시면 이 부분은 교합이 아닌 open bite, 개방교합이라고 부르며 윗니와 아랫니가 서로 닿지 않아 벌어져 있는 경우를 말하고 있습니다. 전체적으로 봤을 때 앞니 쪽이 부정교합인 상태였는데요. 이처럼 치아 끝과 끝이 물리는 절단교합은 라미네이트에 부적합한 케이스입니다. 왜냐하면 치아끼리 닿을 수 있는 확률이 높아지기 때문에 파절될 가능성도 높기 때문입니다.
때문에 절단교합을 가진 분들의 경우 평상시 이에 대해 주의 해주시는 것이 필요합니다.

이러한 절단교합 케이스인 경우 라미네이트가 깨질 수 있는 확률을 줄이기 위해 치아 끝과 끝이 닿는 교합을 개선해주어야 합니다.
맞물리는 치아를 살짝 열기
윗니가 아랫니를 덮어 치아 끝이 안 닿게 하기
이 환자분의 경우 운동을 하시는 분이시기 때문에 특수성을 고려하여 윗니가 아랫니를 덮기 보다는 치아가 살짝 덜 닿도록 맞물리는 치아를 살짝 여는 방법을 선택하였습니다.

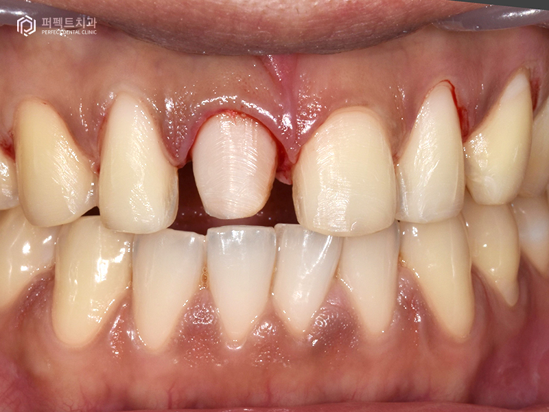
폴리네이트를 부착하기 전 접착과정을 통한 사진입니다. 표면처리를 하였고, 0.2mm정도 치아를 삭제한 후 폴리네이트를 부착하였습니다.


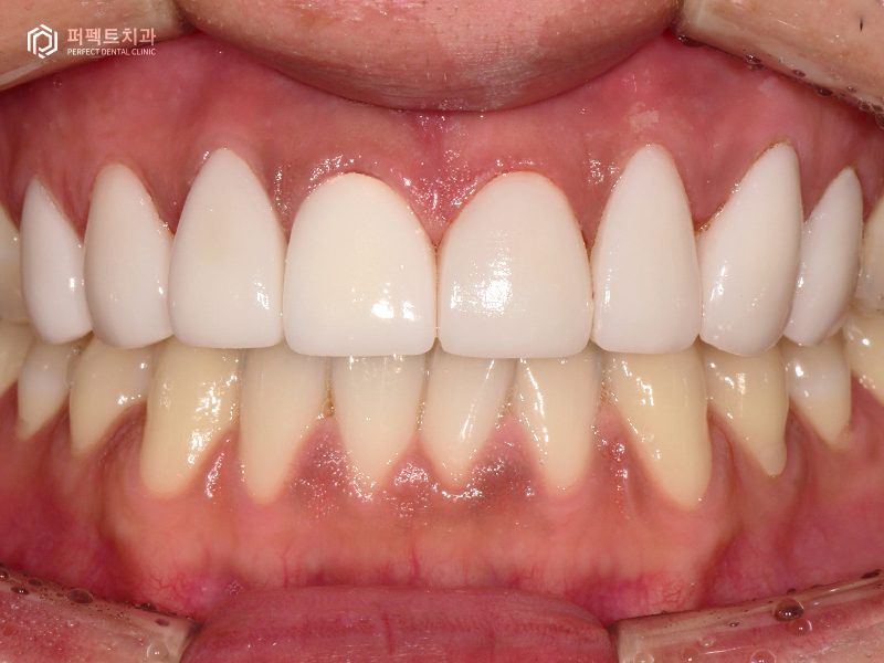
밝은 치아를 원하셔서 환자분께서 고르신 색상으로 진행을 하였고, 환자분이 만족하셨습니다. 그리고 치아 끝과 끝 부분이 살짝 열리게 만들었고, 오픈 바이트인 열려있는 부분도 조금 더 길게해서 일자 형태로 만들었습니다.
환자분이 운동선수이시다보니 깨질 수 있는 염려를 상쇄하기 위해 이런 교합 상태로 마무리를 하였습니다.
남자라미네이트, 케이스➋

전 환자분과 마찬가지로 끝과 끝이 물리는 문제가 있는 경우입니다. 또 다른 문제는 예전에 신경치료를 받아 크라운 치료를 받은 치아가 있습니다. 당연히 이 치아는 크라운으로 치료를 받아야 하고 라미네이트로 돌아갈 수 없습니다.
신경치료를 받은 치아는 보철치료시 약간 달라보이는 느낌이 있을 수 있습니다.

크라운을 걷어냈을 때의 상태를 보시면 아까 말씀드린대로 살아있는 치아들과는 매우 다른 느낌이 납니다. 신경치료를 받은 치아는 혈류공급이 되지 않아 점차 변해가다가 시간이 지나면 더 검게 변하게 됩니다.
살아있는 치아들은 최소삭제로 폴리네이트를 진행, 신경치료를 한 치아는 어쩔 수 없이 크라운 치료를 해야하는데 비쳐보이는 느낌을 상쇄시키기 위해 코어 작업을 통해 색상을 변경하여 하얀 느낌으로 개선되었습니다.

나머지 치아는 폴리네이트를 하기 위해 0.1~0.2mm정도 치아를 다듬어 놓은 사진입니다. 물론 코어작업으로 밝게 만들었지만 시간이 지나면서 점차 어두워지게 되고, 혈류공급이 되지 않아 다른 치아에 비해 더 빨리 어둡게 색상이 변화 될 수 있습니다.

치아 끝과 끝이 물리는 부분들이 있었는데 이 부분은 윗니가 아랫니를 살짝 덮을 수 있도록 하여 라미네이트가 걸리지 않도록 했습니다. 확대된 사진상으로 보기 때문에 부자연스럽고 하얗다고 하시는 분들도 계시는데 실제로 보았을 때에는 어색하지 않고 자연스럽게 치료가 되었습니다.
🚨 본 콘텐츠의 디자인, 구성 등 모든 사항은 퍼펙트 치과에서
자체적으로 제작되었으며 무단도용시 법적 처벌을 받을 수 있습니다.
ⓒ Perfect Dental Clinic Corp.