아카이브 요약
이 페이지의 역할
퍼펙트치과의원 강남역점의 네이버 블로그 원문을 보존한 아카이브 페이지입니다. 치아성형 카테고리의 테트라사이클린 치아변색 폴리네이트 케이스 글을 통해 병원의 한국어 정보 제공 방식과 진료 관련 안내 톤을 확인할 수 있습니다.
원문 검증
필요하면 원문 블로그와 병원 프로필로 바로 이동해 문맥을 다시 확인할 수 있습니다.
출처 아카이브 열기아카이브된 블로그 글
퍼펙트치과의원 강남역점 · Naver Blog
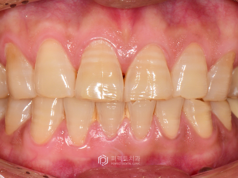
안녕하세요. 오늘 알아볼 케이스는 항생제로 인한 치아변색 케이스입니다. 흔히 있는 질환 중 하나로 테트라사이클린이라는 항생제 부작용으로 인해 치아에 줄이 가는듯한 변색을 치료하는 과정을 확인해보겠습니다. 50대 초반의 환자분이시고 줄이 가있는듯한 변색이 환자분에게 스트레스라고 하셨습...
게시일
2022년 3월 16일
원문 기준으로 확인된 발행일입니다.
카테고리
치아성형
원문 블로그 카테고리를 정리해 함께 표시합니다.
이미지 수
7
현재 아카이브에 연결된 이미지 수입니다.
아카이브 요약
퍼펙트치과의원 강남역점의 네이버 블로그 원문을 보존한 아카이브 페이지입니다. 치아성형 카테고리의 테트라사이클린 치아변색 폴리네이트 케이스 글을 통해 병원의 한국어 정보 제공 방식과 진료 관련 안내 톤을 확인할 수 있습니다.
원문 검증
필요하면 원문 블로그와 병원 프로필로 바로 이동해 문맥을 다시 확인할 수 있습니다.
출처 아카이브 열기
안녕하세요. 오늘 알아볼 케이스는 항생제로 인한 치아변색 케이스입니다. 흔히 있는 질환 중 하나로 테트라사이클린이라는 항생제 부작용으로 인해 치아에 줄이 가는듯한 변색을 치료하는 과정을 확인해보겠습니다.

50대 초반의 환자분이시고 줄이 가있는듯한 변색이 환자분에게 스트레스라고 하셨습니다. 테트라사이클린이라는 항생제 복용으로 인한 것인데, 이 테트라사이클린의 원인은
임신 기간동안의 항생제 복용
수유 기간동안의 항생제 복용
성장기 소아의 잘못된 복용
위와 같은 원인으로 이러한 증상이 나타날 수 있습니다.
치아미백으로 치료가 가능할 것이라 생각하시는 분들도 계시지만, 미백을 하게 되면 치아 톤이 밝아지면서 오히려 줄이 더 선명하게 보일 수 있습니다. 또한 환자분께서는 무삭제, 최소삭제 라미네이트를 통해 변색을 해결하고싶어 하셨습니다.

사진을 보시면 치아 끝이 갈려있는 것을 확인하실 수 있는데 이는 치아 끝과 끝이 물려있어 치아 끝부분들이 깨져나가고 있는 것입니다. 이러한 문제는 라미네이트를 할 때 문제가 될 수 있습니다.
환자분에게 줄이 간듯이 변색된 문제는 라미네이트를 통해 해결할 수 있고, 하얗고 밝은 치아는 가능하지만 바로 라미네이트를 진행할 경우 치아의 파절 위험성이 크다고 말씀을 드려 환자분의 동의하에 교정치료를 함께 진행하였습니다.
환자분의 경우 3개월 부분교정 후, 폴리네이트를 진행하였습니다.

본 사진은 교정이 끝난 후 최소삭제까지 진행된 사진입니다.

결과적으로 완성된 사진을 보시면 밝고 가지런한 치아가 되었습니다. 연세가 있으신 경우였지만 밝은 치아를 원하셔서 밝은 치아로 치료를 해드렸고, 라미네이트의 경우 시간이 지나면서 톤이 다운되는 경향이 있기 때문에 본인이 마음에 드는 색상 중에 한단계 밝은 색상을 선택하시는 것이 도움이 됩니다.
치아교정을 통해 치아 끝이 물리는 문제를 해결하여 교합으로 인한 파절의 위험성을 낮추었습니다.

종합해서 설명을 해드리자면 테트라사이클린이라는 항생제 부작용으로 인해 변색된 치아+치아 끝과 끝이 맞닿는 절단교합인 치아를 단단한 교정 후에 최소삭제, 폴리네이트로 치료한 경우입니다.

테트라사이클린이라는 항생제 부작용으로 줄이 가 있는 변색 치아인 경우 치아미백으로 해결 할 수 없습니다. 라미네이트, 크라운과 같은 덮는 치료를 진행해야 하는데 이는 환자분의 치아 상황에 맞는 적절한 치료를 받으시는 것이 좋습니다.
🚨 본 콘텐츠의 디자인, 구성 등 모든 사항은 퍼펙트 치과에서
자체적으로 제작되었으며 무단도용시 법적 처벌을 받을 수 있습니다.
ⓒ Perfect Dental Clinic Corp.