강남 치과 퍼펙트치과
라미네이트를 뜯어보니😨..충격주의 #앞니신경치료
라미네이트나 올세라믹 치료를 받아보았다면 현재 사용하고 있는 보철을 언젠가는 교체해야 한다는 사실을 알고계시겠죠? 얼마전 앞니 재치료를 받기 위해서 치과를 내원해주신 환자분이 있었습니다. 오늘은 이 환자분의 치아를 사진으로 보면서 설명을 드려볼게요. 초진당시 치료 전 파노...
아카이브 요약
이 페이지의 역할
강남 치과 퍼펙트치과 | gangnam dentist clinic Perfect Dentistry | 江南 歯科 パーフェクト歯科의 네이버 블로그 원문을 보존한 아카이브 페이지입니다. 치아성형 카테고리의 라미네이트를 뜯어보니😨..충격주의 #앞니신경치료 글을 통해 병원의 한국어 정보 제공 방식과 진료 관련 안내 톤을 확인할 수 있습니다.

라미네이트나 올세라믹 치료를 받아보았다면
현재 사용하고 있는 보철을 언젠가는 교체해야 한다는 사실을 알고계시겠죠?
얼마전 앞니 재치료를 받기 위해서 치과를 내원해주신 환자분이 있었습니다.
오늘은 이 환자분의 치아를 사진으로 보면서 설명을 드려볼게요.
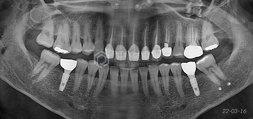
초진당시
치료 전 파노라마 사진을 통해 앞니에 신경치료가 되어있는 것을 알 수 있습니다.
신경치료한 치아를 포함해 앞니 7개에 보철치료가 진행되어있었는데 육안으로 보기에도 잇몸과 치아의 경계가 닳아 있고
잇몸에 염증도 있는 상태였습니다. 심지어 발치까지 필요한 상태...


라미네이트 상담
검사 후 상담을 해본 결과, 환자분께서는 재보철을 하면서 잇몸 경계부위를 더 깨끗하게 개선하고 싶다고 하셨습니다.
또 치아의 색은 기존보다는 더 밝은 색상을 선택하셨고 치아 형태는 환자분에게 디자인 과정을 보여드리며 결정되었습니다.
신경치료를 받았던 치아는 벗겨냈을 때 변색이 되어있는 경우가 많아서 이에 대해 놀라지 않도록 미리 설명도 드렸습니다.

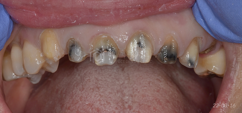
기존 보철물 제거 후
벗겨낸 상태 그대로의 사진입니다. 변색과 2차충치, 거의 남아있지 않아 발치가 필요한 치아까지 한 눈에 보입니다.
당연히 이런 상태에 보철을 그대로 씌워서는 안됩니다. 충치를 치료하지 않고 덮어버리게 된다면 이후 더 큰 문제가 되겠죠?
심지어 안에 충치가 보철에 비쳐보일 것이기 때문에 제대로 치료를 하고 이후에 보철물을 씌워줘야 합니다.
그래서 2차 충치를 전부 제거하고 떼우는 작업을 거치고 잇몸 성형도 해서 좀 더 깔끔하게, 좀 더 심미적일 수 있게 진행하기로 하였습니다.

코어작업
다시 재건하는 과정을 코어작업이라고 합니다. 충치를 제거하고 레진으로 재건을 했습니다.
확실히 전보다 깔끔해졌죠? 기존 시술 시 치아 삭제가 많이 진행된 상태였기에 남아있는 치질이 매우 적네요.

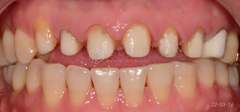
앞니 재치료 후
환자분이 원하시는 대로 아주 자연스럽게 잘 나왔습니다. 발치해야하는 치아가 있다고 말씀드렸었는데
사진 촬영일 기준 오른쪽 작은어금니는 발치 후 임플란트를 식립하는 중이었습니다.
전, 후 비교해봤을 때 보다 가지런하고 좀 더 밝은 치아가 만들어졌습니다.

치료를 끝낸 후..
이번에 이렇게 신경치료를 했던 치아의 안을 보여드린 이유가 있습니다.
신경치료를 하면 온도에 대한 감각, 통증에 대한 감각이 사라지다보니 더 편하지 않을까 생각하는 분들이 종종 계시는데
신경치료 후 생길 수 있는 문제점들로 2차충치, 변색, 감염이 있으므로 무리하게 진행하기 보다는
본래 가지고 있던 자연치아를 보존하는 방향으로 진료를 받아보시길 권장드리고 싶었어요.


물론 치아의 손상도가 심해서 신경치료를 받아야만 하는 분들도 계실 것이고 이미 신경치료를 받은 분들도 계시겠지만
앞으로 치아성형을 고려하는 분들은? 욕심만으로 신경치료를 동반한 보철치료를 받아보기 보다는
시간과 비용이 좀 더 들더라도 자연치아를 지키는 방향으로 진료를 받아보는게 좋다는 사실을 알려드리고 싶었어요.
또, 재치료를 진행할 때 제대로 치료를 받은 후 다시 보철을 씌워야 한다는 사실을 알려드렸습니다.
좀 더 자세한 과정은 아래 영상을 참고해보세요 :-)
예약문의 02)544-7728
더 보기
이 병원의 공개 콘텐츠를 계속 살펴보세요
출처 아카이브로 돌아가 더 많은 글을 보거나, 병원 프로필로 이동해 다른 공개 채널도 함께 비교해보세요.