강남 치과 퍼펙트치과
남자 라미네이트, 얼마나 밝게 가능할까?
안녕하세요. 이번 알아볼 케이스는 남자 라미네이트 케이스입니다. 라미네이트는 20대 여성 분들이 많이 하시는 치료 중 하나입니다. 하지만 시대가 변하면서 10대부터 70대까지, 심지어 남자 분들이 많이 받는 치료가 되었습니다. 30대 초반의 남성 환자분이신데, 전반적으로 치아...
아카이브 요약
이 페이지의 역할
강남 치과 퍼펙트치과 | gangnam dentist clinic Perfect Dentistry | 江南 歯科 パーフェクト歯科의 네이버 블로그 원문을 보존한 아카이브 페이지입니다. 치아성형 카테고리의 남자 라미네이트, 얼마나 밝게 가능할까? 글을 통해 병원의 한국어 정보 제공 방식과 진료 관련 안내 톤을 확인할 수 있습니다.

안녕하세요. 이번 알아볼 케이스는 남자 라미네이트 케이스입니다.
라미네이트는 20대 여성 분들이 많이 하시는 치료 중 하나입니다. 하지만 시대가 변하면서 10대부터 70대까지, 심지어 남자 분들이 많이 받는 치료가 되었습니다.

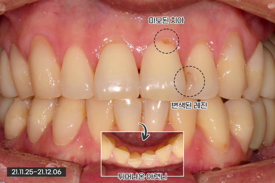
30대 초반의 남성 환자분이신데, 전반적으로 치아가 가지런한 상태이지만 앞니에 마모된 부분이 있고 레진이 변색된 부분도 있었습니다. 그리고 뒷 부분의 치아는 대부분 다 임플란트 치료를 받은 상태였습니다.
앞에서는 잘 안보이지만 아래 치아가 튀어나와 있어 앞니의 끝과 끝이 닿는 상태였습니다. 때문에 이 부분은 조금 삭제가 이루어져야 하는 상황이었습니다.
앞니 끝과 끝이 닿는 경우(절단교합) 왜 치아삭제가 필요할까?
하지만 대체적으로 양호한 편이여서 최소한으로 삭제하는 최소삭제 라미네이트를 진행하기로 했는데, 환자분께서는 밝은 치아를 원하셔서 임플란트를 받은 부분을 제외하고 전부 라미네이트를 하길 원하셨습니다.

저희가 보여드리는 색상 가이드 중 BL2라는 색상인데 요즘 여성분들이 많이 하시는 색상 중에서도 밝은 색상에 속하지만 환자분께서는 밝은 치아를 원하셨습니다.
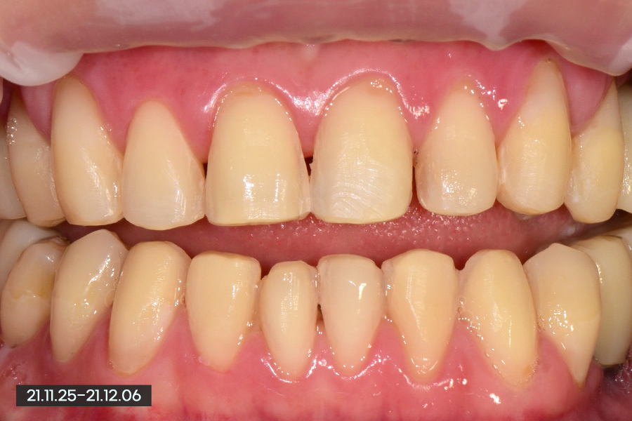
최소삭제이기 때문에 당연히 마취 없이 진행하였습니다.

치아를 다듬은 후의 사진을 보시면 아까 말씀드렸듯이 마모된 부분, 레진 변색된 부분을 제거한 후 깨끗하게 다듬었습니다. 이 상태로 스캔 또는 본을 떠서 라미네이트를 만든다고 생각하시면 됩니다.

뒷 부분에 있는 어금니 쪽의 임플란트를 제외하고 전체를 다 진행하였고, 환자분께서 이렇게 밝은 색상을 원하셔서 마무리를 하였습니다.
실제로 환자분들과 상담시 사진을 보시면 '왜 이렇게 밝게 했나요?'라고 물어보시는 경우가 있는데, 화면이 밝게 나와서 좀 더 밝아보기에 나오기도 했지만 실제로 얼굴과 함께 보면 어색하지 않아 환자분의 만족도가 높았습니다.


오늘은 남자 라미네이트 케이스를 확인해보았습니다. 최근에는 남성 환자분들도 라미네이트를 많이 진행하고 계시는데 이렇게 남성분들도 미용에 대한 욕구가 높고, 많은 남성분들도 라미네이트를 하고 있다는 것을 보여드리기 위해 남자 라미네이트 케이스를 소개해보았습니다.
라미네이트를 고민하시는 경우라면 치과를 내원하셔서 상담을 받아보시는 것도 좋을 것이라 생각이 듭니다 :)
남자 라미네이트 케이스 1편 확인하기 ↑
더 보기
이 병원의 공개 콘텐츠를 계속 살펴보세요
출처 아카이브로 돌아가 더 많은 글을 보거나, 병원 프로필로 이동해 다른 공개 채널도 함께 비교해보세요.