아카이브 요약
이 페이지의 역할
퍼펙트치과의원 강남역점의 네이버 블로그 원문을 보존한 아카이브 페이지입니다. 임플란트 카테고리의 치아가 하나도 없을 때 필요한 전악임플란트😬 글을 통해 병원의 한국어 정보 제공 방식과 진료 관련 안내 톤을 확인할 수 있습니다.
원문 검증
필요하면 원문 블로그와 병원 프로필로 바로 이동해 문맥을 다시 확인할 수 있습니다.
출처 아카이브 열기아카이브된 블로그 글
퍼펙트치과의원 강남역점 · Naver Blog
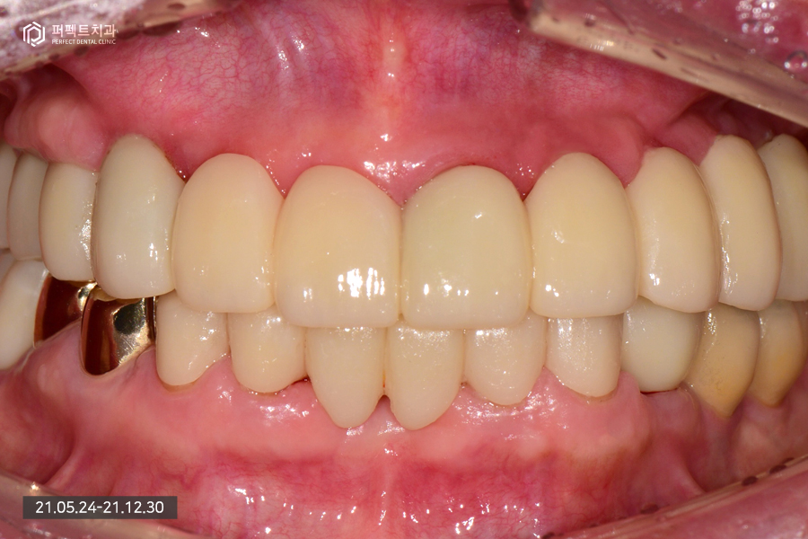
안녕하세요. 오늘은 임플란트에 관해서 살펴보겠습니다. 윗니는 전체 임플란트를 식립하는 전악 임플란트 케이스이고, 아랫니는 임플란트와 보철치료를 함께 한 케이스입니다. 내원 당시 초진 사진입니다. 80대 여성 환자분으로 연세가 많은 편이셔서 앞니는 몇 개 남지 않았고 어금니는 아예 없...
게시일
2022년 6월 8일
원문 기준으로 확인된 발행일입니다.
카테고리
임플란트
원문 블로그 카테고리를 정리해 함께 표시합니다.
이미지 수
9
현재 아카이브에 연결된 이미지 수입니다.
아카이브 요약
퍼펙트치과의원 강남역점의 네이버 블로그 원문을 보존한 아카이브 페이지입니다. 임플란트 카테고리의 치아가 하나도 없을 때 필요한 전악임플란트😬 글을 통해 병원의 한국어 정보 제공 방식과 진료 관련 안내 톤을 확인할 수 있습니다.
원문 검증
필요하면 원문 블로그와 병원 프로필로 바로 이동해 문맥을 다시 확인할 수 있습니다.
출처 아카이브 열기
안녕하세요. 오늘은 임플란트에 관해서 살펴보겠습니다. 윗니는 전체 임플란트를 식립하는 전악 임플란트 케이스이고, 아랫니는 임플란트와 보철치료를 함께 한 케이스입니다.



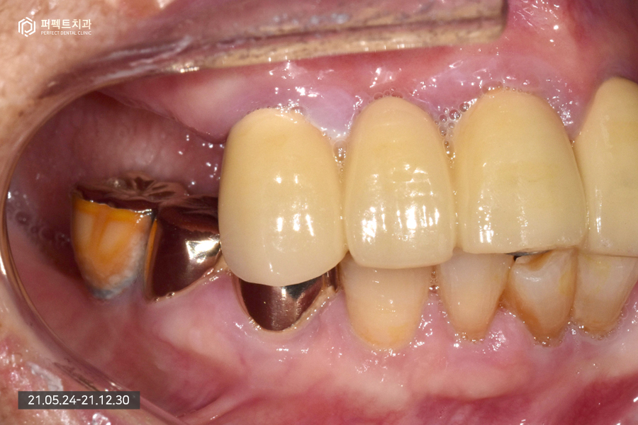
내원 당시 초진 사진입니다.
80대 여성 환자분으로 연세가 많은 편이셔서 앞니는 몇 개 남지 않았고 어금니는 아예 없는 상태였습니다.

남아있는 앞니의 경우 3개가 남아있고 하나는 걸어서 사용하고 있는 상황이었는데 앞니가 심하게 흔들리고 있는 상황이라 모두 발치 하기로 결정을 하였습니다. 이런 경우 윗니는 치아가 하나도 없는 상태가 되어 전체 임플란트로 수복하게 됩니다.
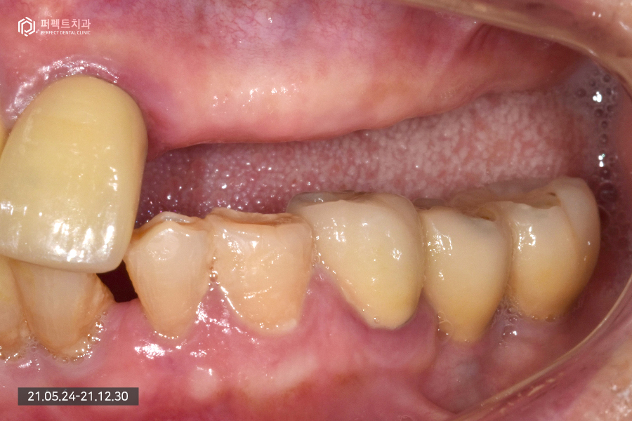
아래 치아의 경우 멀쩡한 것처럼 보이지만 실제로는 그렇지 않습니다. 발치를 해야하는 치아들도 있고 치아가 없는 부분은 임플란트로 수복하기로 하였습니다.

윗니의 경우 치아가 전혀 없기 때문에 9개의 임플란트를 식립하였는데 이처럼 많은 양의 임플란트를 식립하는 경우 상황에 맞게 진료를 하게 됩니다.
일반적으로 위, 아래 14개의 치아, 총 28개의 치아가 있는데 전체 치아를 완성하기 위해서 최소 6개의 임플란트를 식립해야 하며 많은 경우 10개 혹은 그 이상의 임플란트를 식립하기도 합니다.
위 환자분의 경우 뼈가 굉장히 약한 뼈이기도 하고 골다공증도 있으셔서 심을 수 있는 곳에 가능한 많은 임플란트를 식립하기로 하였습니다. 완성된 사진을 보면 더 명확히 아실 수 있는데요.

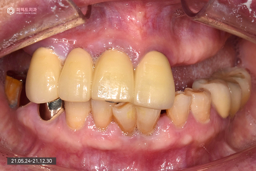
전악임플란트를 하신 부분을 확인해보시면 세덩어리로 완성을 했습니다. 오른쪽 파랗게 보이는 부분은 홀을 임시로 메워둔 상태입니다. 완성된 사진을 보시면 잘 치료된 것을 보실 수 있을 것입니다.


오늘은 80대 환자분의 임플란트 식립 과정을 살펴보았는데 굉장히 쉬워 보이지만 실제로는 어려운 케이스 였습니다.
그 이유는 첫번째, 임플란트 식립 환경이 좋지 않았기 때문입니다. 환자분은 골다공증도 있으셨고 뼈가 너무 물러서 임플란트를 식립할 수 없는 자리도 많이 있었기 때문입니다. 그러다보니 환자분께서는 임플란트를 식립할 수 있는 곳에는 임플란트를 식립하길 원하셨고 이로 인해 9개의 임플란트 식립, 5개의 치아를 걸어서 14개의 완성된 치아를 갖게 되었습니다.
그리고 두번째로 어려운 점은 위에 치아가 없기 때문인데, 이런 경우 위아래 높이의 기준이 사라지게 됩니다. '고합고경'이라는 말을 쓰는데 위아래 치아가 맞물리는 높이를 설정하는데 굉장히 어려움을 겪게 됩니다. 치아가 한두개만 있더라도 위아래가 물리는 기준점이 있는데 환자분의 경우 1) 치아가 하나도 없고, 2) 틀니 사용도 하지 않기 때문에 위아래 높이를 맞추는 일이 어렵습니다.
그렇지만 요즘에는 디지털화 되고 3d 스캐너와 3d CT를 사용해 환자분이 가지고 있는 처음 높이를 그대로 가지고 올 수 있습니다. 예전 방식 보다는 조금 더 쉽게 완성을 할 수 있었고 임시치아도 다 만들어서 한번 써보았기 때문에 높이가 완전히 맞은 다음 최종 보철을 완성하는 과정을 거치게 되었습니다. 총 치료기간은 7개월로 깔끔하게 마무리가 되었으며 지금도 만족하면서 잘 사용하고 계십니다 ^^
심한 치주염으로 발치 후 전체 임플란트 케이스 확인하기 ▲