강남 치과 퍼펙트치과
충치치료+교정 후 라미네이트, 세가지 복합적인 치료의 기간은?!
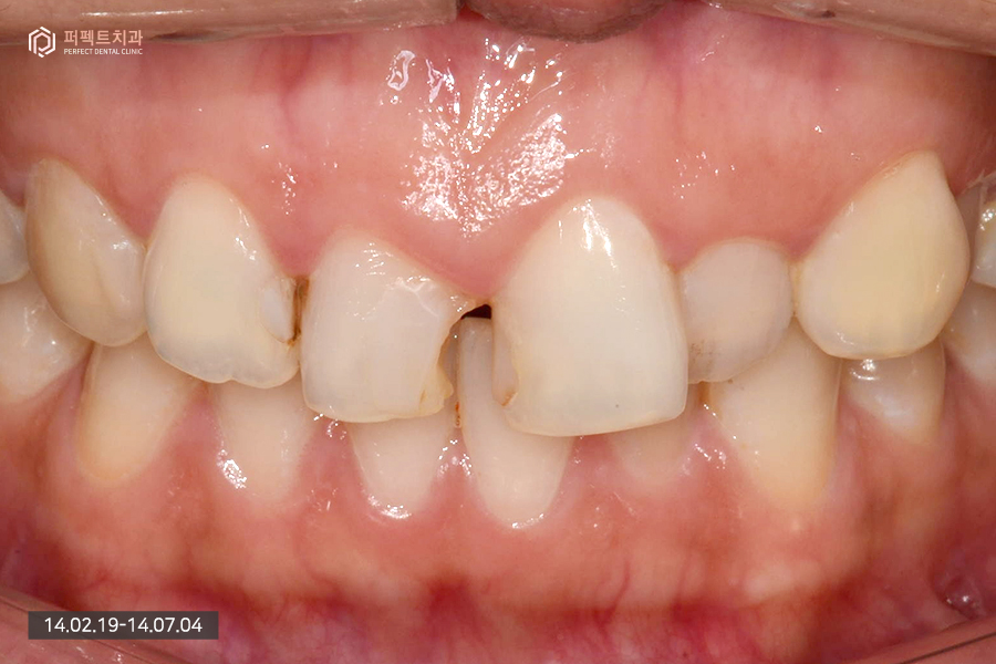
안녕하세요. 오늘은 세가지 경우가 합쳐진 케이스를 확인 해보도록 하겠습니다. 심한 앞니 충치 좋지 않은 치아배열을 부분교정 라미네이트로 마무리 세가지 케이스가 합쳐져 있는 경우입니다. 초진 사진을 보시면 앞니 사이 충치가 있는 것을 보실 수 있습니다. 예전에 앞니 충치치료를...
아카이브 요약
이 페이지의 역할
강남 치과 퍼펙트치과 | gangnam dentist clinic Perfect Dentistry | 江南 歯科 パーフェクト歯科의 네이버 블로그 원문을 보존한 아카이브 페이지입니다. 일반진료 카테고리의 충치치료+교정 후 라미네이트, 세가지 복합적인 치료의 기간은?! 글을 통해 병원의 한국어 정보 제공 방식과 진료 관련 안내 톤을 확인할 수 있습니다.

안녕하세요. 오늘은 세가지 경우가 합쳐진 케이스를 확인 해보도록 하겠습니다.
-
심한 앞니 충치
-
좋지 않은 치아배열을 부분교정
-
라미네이트로 마무리
세가지 케이스가 합쳐져 있는 경우입니다.


초진 사진을 보시면 앞니 사이 충치가 있는 것을 보실 수 있습니다. 예전에 앞니 충치치료를 하시면서 레진으로 때우신 상태였는데 떨어져나가고 변색, 2차 충치 등의 문제가 있던 상황이었습니다.
30대 중반의 여성분이셨는데 치열도 틀어져있고 잇몸 높이도 맞지 않는 상황이여서 치아 사이에 있는 충치는 레진치료를 하기로 하셨고 충치치료 후 3~4개월 정도 부분교정 후 치아 배열 문제를 해결하였고 그리고나서 마지막으로 라미네이트를 통해서 완성을 했습니다.
사진을 통해서 보시면 알 수 있듯이 충치가 심한 상태라 치아의 많은 부분이 없는 상태였는데 이런 경우 라미네이트를 통해서 치료를 할 수 있는지 물어보시는 분들도 계십니다.

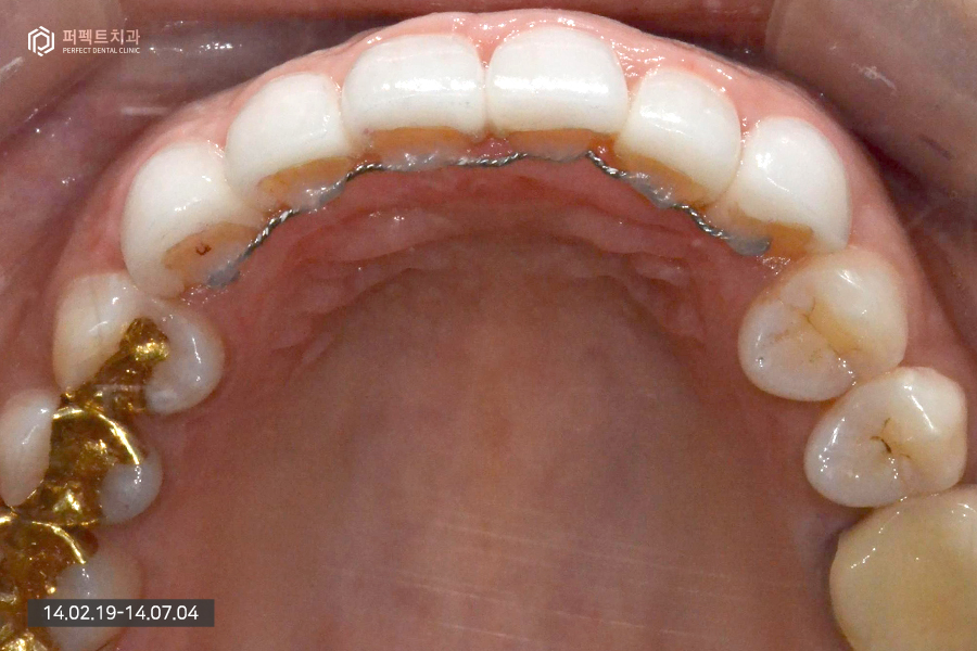
일반적으로 충치의 범위가 큰 경우에는 크라운이라는 치료를 하기도 하는데, 환자분께서는 라미네이트 치료를 원하셨고 부분교정을 같이 진행하신 케이스라 교정 후 치아가 틀어지지 않게 유지장치가 필수로 사용되어야 했습니다.
이 유지장치를 사용할 때 크라운이라는 치료를 하게 되면 크라운에 유지장치를 부착해야 해서 유지장치가 잘 떨어진다는 단점이 있습니다. 하지만 라미네이트 같은 경우 치아의 뒷면은 보철이 아닌 내 치아이기 때문에 유지장치가 잘 유지됩니다.
이런 여러가지를 고려해서 라미네이트로 치료를 결정한 경우입니다.


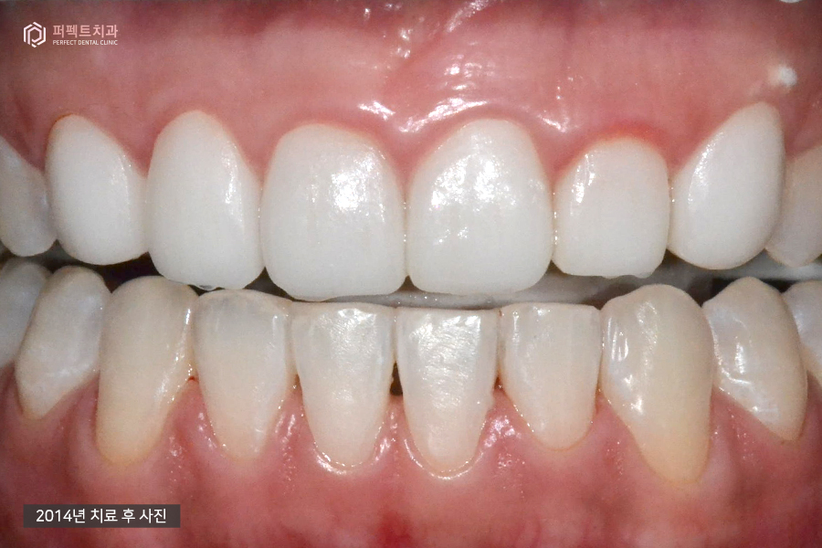
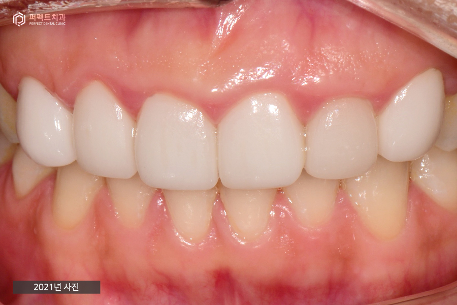
(왼)2014년 사진 / (오)2021 사진
교정 후 라미네이트로 마무리까지 한 사진입니다. 이 사진은 2014년도(왼)와 7년이 지난 2021년도(오) 사진인데 약간의 변색이 있는 치아 외에는 아주 잘 유지되고 있는 상태였습니다.

교정 후에는 이처럼 유지장치가 부착되어 있어야 합니다. 그렇지 않으면 시간이 지나면서 다시 치아가 틀어질 수 있습니다.
오늘은 충치치료부터 부분교정, 라미네이트 그리고 유지장치까지 쭉 치료가 이어진 경우인데요. 마무리가 잘 되었고 총 치료기간은 4개월 미만이었습니다.


2014년도부터 지금까지 오고 계시지만 특별한 문제 없이 지내고 계시고 라미네이트가 파절되거나 교체하는 문제도 없었습니다. 이처럼 앞니에 복합적인 문제가 있더라도 치료를 받아보실 수 있으니 앞니에 문제가 있으시다면 치과를 방문하시길 바랍니다 :)
▲ 앞니 충치+교정 후 라미네이트 케이스
🚨
본 콘텐츠의 디자인, 구성 등 모든 사항은 퍼펙트 치과에서 자체 제작되었으며 무단 도용 시 법적 처벌을 받을 수 있습니다.
ⓒ Perfect Dental Clinic Corp
더 보기
이 병원의 공개 콘텐츠를 계속 살펴보세요
출처 아카이브로 돌아가 더 많은 글을 보거나, 병원 프로필로 이동해 다른 공개 채널도 함께 비교해보세요.