아카이브 요약
이 페이지의 역할
퍼펙트치과의원 강남역점의 네이버 블로그 원문을 보존한 아카이브 페이지입니다. 치아성형 카테고리의 삐뚠 치아도 최소삭제가 가능하게👌🏻 교정 후 폴리네이트 글을 통해 병원의 한국어 정보 제공 방식과 진료 관련 안내 톤을 확인할 수 있습니다.
원문 검증
필요하면 원문 블로그와 병원 프로필로 바로 이동해 문맥을 다시 확인할 수 있습니다.
출처 아카이브 열기아카이브된 블로그 글
퍼펙트치과의원 강남역점 · Naver Blog
안녕하세요. 오늘 알아볼 케이스는 저희 치과의 무삭제, 최소삭제 라미네이트 즉 폴리네이트 케이스입니다. 치아를 많이 손대지 않고 전단계에 교정을 하시고 폴리네이트를 하신 케이스로, 교정 후 폴리네이트는 어떻게 진행이 되는지 확인해보도록 하겠습니다. 사진으로 보았을 때 큰 문제...
게시일
2022년 6월 20일
원문 기준으로 확인된 발행일입니다.
카테고리
치아성형
원문 블로그 카테고리를 정리해 함께 표시합니다.
이미지 수
10
현재 아카이브에 연결된 이미지 수입니다.
아카이브 요약
퍼펙트치과의원 강남역점의 네이버 블로그 원문을 보존한 아카이브 페이지입니다. 치아성형 카테고리의 삐뚠 치아도 최소삭제가 가능하게👌🏻 교정 후 폴리네이트 글을 통해 병원의 한국어 정보 제공 방식과 진료 관련 안내 톤을 확인할 수 있습니다.
원문 검증
필요하면 원문 블로그와 병원 프로필로 바로 이동해 문맥을 다시 확인할 수 있습니다.
출처 아카이브 열기
안녕하세요. 오늘 알아볼 케이스는 저희 치과의 무삭제, 최소삭제 라미네이트 즉 폴리네이트 케이스입니다.
치아를 많이 손대지 않고 전단계에 교정을 하시고 폴리네이트를 하신 케이스로, 교정 후 폴리네이트는 어떻게 진행이 되는지 확인해보도록 하겠습니다.



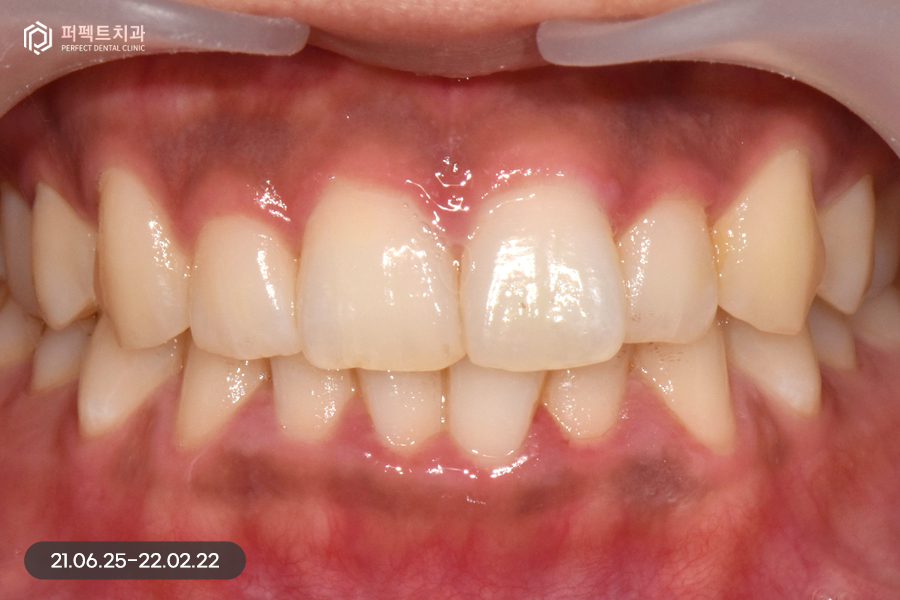
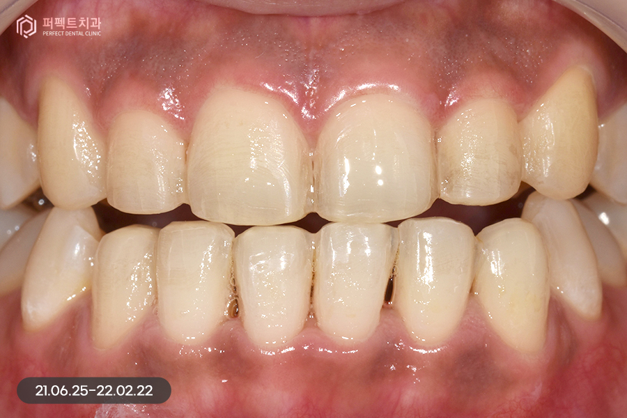
사진으로 보았을 때 큰 문제가 없어보이지만 실제로는 위 아래 치열이 삐뚤빼뚤하고 아래 치아의 경우 위 치아보다 더 틀어짐이 심했는데요. 그렇기 때문에 부분교정을 5개월 정도 진행하였습니다.


교정 후 치아가 가지런하게 펴졌는데, 교정을 하면 항상 생기는 문제점 중 하나가 바로 고르지 못한 치아들이 가지런하게 펴지면서 잇몸 사이 공간인 블랙트라이앵글입니다.
위 환자분도 마찬가지로 블랙트라이앵글이 발생했고, 이 공간을 해결함과 동시에 치아 색상도 하얗게 변화를 주길 원하셨습니다. 그렇기 때문에 위, 아래 6개 치아를 라미네이트 진행하였습니다.

많은 분들이 궁금해 하시는 부분 중 하나가 바로 치아삭제량입니다.
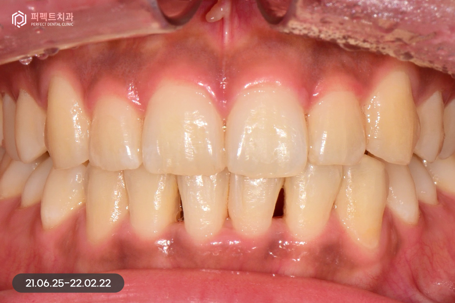
삭제 후 사진을 보시면 경계 부분만 0.1~0.2mm 정도 다듬어서 최소삭제로 진행을 하였습니다. 마취 없이 시술을 하였고 다듬은 후 임시치아를 하지 않아도 일상생활에 심미적으로 큰 불편감이 없었습니다.

색상은 환자분께서 직접 고르신 색상이고, 사진으로 보았을 때에는 많이 밝은 것처럼 보이지만 뒷 치아와 크게 어색하지 않으면서 환자분과 잘 어울리는 치아색상이었습니다.


최근에는 라미네이트 시 최소삭제를 하는게 추세이고 그렇게 하는 것이 맞습니다. 그 이유는 아까 말씀드린대로 신경치료를 하는 것이 가장 문제가 되는데, 문제가 되는 신경치료를 안하려면 치아삭제를 줄이는 방법 밖에 없고, 치아삭제를 최소화 하기 위해서는 치아가 가지런해야 합니다. 치아가 가지런하다는 전제조건이 없다면 무삭제, 최소삭제가 어렵습니다.
또 한가지 알아두어야 하실 부분은 치아삭제를 최소화 하면 라미네아트 후 볼륨감이 생길 수밖에 없는데 상담 시 이런 부분에 대해 이야기 를 해주는지 확인해보시는 것이 좋습니다.
손톱과 마찬가지로 손톱을 다듬지 않고 젤네일을 하면 손톱이 두꺼워지고, 두꺼워지는 느낌이 들게 되는 것처럼 치아를 삭제하지 않고 혹은 최소한으로 삭제를 하고 라미네이트를 부착하게 되면 볼륨감이 생기게 됩니다.
치아를 0.10.2mm 정도 다듬은 후 0.20.3mm의 라미네이트를 부착하게 된다면 0.1~0.2mm 정도의 볼륨감이 생길 수 있는데 치아가 가지런한 상태에서 이 정도의 느낌 차이는 괜찮다고 볼 수 있습니다.
그렇기 때문에 라미네이트를 고민 중이시라면 이처럼 자세한 설명을 듣고 결정하시는 것이 도움이 될 것이라 생각이 듭니다.
🚨
본 콘텐츠의 디자인, 구성 등 모든 사항은 퍼펙트 치과에서 자체 제작되었으며 무단 도용 시 법적 처벌을 받을 수 있습니다.
ⓒ Perfect Dental Clinic Corp